«Китайский» коронавирус, с которым мы столкнулись впервые, оказался намного злее своих собратьев, виновных в части обычных сезонных простуд. Не только потому, что он вызвал неслыханную пандемию, но и по степени гyбитeльного воздействия на организм заразившегося человека.
Это доказывают новости от медиков, которые прямо сейчас спасают людей в больницах, а также результаты свежих исследований.
У тяжелых пациентов «легкие в труху»
Врач одного из московских коронавирусных стационаров поделилась тревожными деталями о состоянии тяжелых больных. Большинство из них – люди после 60-ти.
«Больные поступают тяжелые. В разы тяжелее тех, с которыми я работала раньше. Сейчас половина в моем отделении уже на искусственной вентиляции легких (ИВЛ), вторая – потенциальные кандидаты на нее», — рассказала «Правмиру» кардиолог больницы №15 им. Филатова Ирина Ильенко.
Одна из пациенток поступила без тяжелой сопутствующей патологии и без особых жалоб – ей было лишь «тяжеловато дышать». Рентген показал небольшую пневмонию, ничего критичного. Решили, что достаточно кислородной маски.
Но когда ее временно переложили на живот, чтобы «раздышалась спина», то пульсоксиметр – прибор на пальце, который показывает степень насыщения крови кислородом – стал выдавать ухудшение буквально на глазах.
«А пациентка вроде как так же, особо не жалуется. Везем ее на КТ (компьютерную томографию. – Anews). Смотрим результаты томографии – а там легких нет! В труху!» — поразилась доктор.
«Я теперь понимаю, почему COVIDные, у кого пневмония, умирают один за другим. Они с тобой разговаривают, а легких у них уже нет! И они все такие! И это так страшно!» — ужасается Ирина.
Ту пациентку сразу перевели на ИВЛ, и врачи не берутся давать прогнозы.
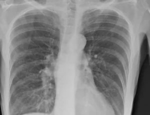
РИА Новости / Кирилл Шипицын
Как выглядят легкие коронавирусных больных на КТ
Еще во время январской вспышки эпидемии в Китае врачи быстро выяснили, что COVID-19 поражает легкие. Это проявилось на рентгенограммах и КТ.
При рентгеновском излучении наиболее плотные ткани, такие как кости, поглощают лучи и поэтому выглядят белыми. Наименее плотные, как легкие, состоящие в основном из воздуха, – черными. Серыми выглядят ткани, которые частично задерживают излучение.
Рентген легких пациента с COVID-19 в Париже, апрель 2020 г. Reuters
- Синдром «матового стекла»
Вот один из вариантов того, как зоны легочной патологии выглядят на КТ коронавирусной пациентки: бледные помутнения, которые в радиологии называют «синдромом матового стекла».
«Матовое стекло» показывает, что легочная ткань, которая должна быть воздушной и не задерживать лучи, в этих зонах незначительно уплотнилась. Значит, альвеолы – воздушные пузырьки, насыщающие кровь кислородом, частично заполнились патологическим жидкостным содержимым: это может быть воспалительная, отечная жидкость, кровь, гной, отмершие клетки и т.д.
Wikimedia
- «Консолидация» легочной ткани
Если легочная ткань полностью потеряла воздушность, то она становится еще более плотной и непроглядной, чем «матовое стекло». Такой рисунок называют «консолидацией».
- Синдром «булыжной мостовой» / «Лоскутное одеяло»
Наконец, когда помутнения по типу «матового стекла» сочетаются с уплотнением перегородок из соединительной ткани вокруг легочных долек, то внешне это напоминает разнообразные куски брусчатки в мостовой или лоскутное одеяло – отсюда и название патологической картины в легких.
Ниже показаны части томограммы у февральских пациентов с коронавирусом:
a – «матовое стекло»
b – «булыжная мостовая»
c – «консолидация»
Легочные патологии есть даже у пациентов без симптомов
Обычно, если легкие поражены, это проявляется затрудненным дыханием, поскольку жидкость в альвеолах мешает поступлению кислорода в кровь. Но японские врачи установили в новом исследовании, что даже у бессимптомных пациентов была патология в легких.
Они пересмотрели результаты КТ переболевших коронавирусом пассажиров лайнера Diamond Princess. Оказалось, что 54% бессимптомных пациентов имели помутнения, в основном по типу «матового стекла».
У пассажиров с выраженными симптомами патология была видна на КТ в 79% случаев, в основном в виде «консолидации» (т.е. более серьезных уплотнений легочной ткани).
Получается, что коронавирус может вызывать изменения в легких не только в тяжелых случаях, но даже тогда, когда человек и не подозревает, что болен.
COVID-19 не проходит бесследно
Есть еще пара веских доводов за то, чтобы терпеть самоизоляцию и не заражаться.
Даже после выздоровления у некоторых пациентов функция легких ухудшалась на 20-30%, они начинали «хватать воздух ртом» при быстрой ходьбе, сообщило в марте управление больницами Гонконга. Пересмотр снимков легких 9 пациентов, сделанных во время болезни, показал синдром «матового стекла».
Ученые пока не знают, долго ли могут проявляться эти последствия. Пока не исключено, что может даже развиться легочный фиброз – хроническое заболевание, вызывающее рубцевание легких.
В обычных условиях легочный фиброз – нечастое явление. Как правило, он возникает у людей старше 50-ти, чаще после 60-70 лет. Человек главным образом жалуется на одышку, причем она может быть такой сильной, что мешает произнести фразу целиком.
При тяжелых формах коронавирусной инфекции также снижается функция сердца.
Это может быть из-за системной воспалительной реакции на вирус, высокого легочного давления при патологии в легких, а также, в отдельных случаях, из-за прямого влияния COVID-19 на сердце, объясняет глава кардиологического отделения в клинике Мэйо Лесли Купер.
Снижение сердечной функции при коронавирусе проявляется главным образом сердечной недостаточностью – когда сердечная мышца не качает кровь так, как должна – и аритмией. Клиника Мэйо уже изучает вероятность того, что это даст последствия даже после выздоровления.
Пока же людям с уже имеющимися сердечно-сосудистыми проблемами стоит тщательно заботиться о себе и не игнорировать то, что им назначают врачи, советует кардиолог.
Больше материалов о коронавирусе читайте в нашем специальном разделе.
Источник: https://www.anews.com/p/127488042-legkie-v-truhu-chto-vrachi-rasskazyvayut-o-posledstviyah-koronavirusa/
Кт и мрт диагностика эмфиземы легких

Это стойкое увеличение воздушных пространств легких дистальнее терминальных бронхиол с деструкцией альвеол.
Признаки эмфиземы легких легкой формы обнаруживают на аутопсии в 2/3 случаев.
Основные причины и признаки эмфиземы легких:
- Гипоплазия, обусловленная бронхолегочным заболеванием
- Атрофия, т.е. потеря паренхимы. Данная форма наблюдается, например, у курильщиков (курение — наиболее важный этиологический фактор) и у пожилых людей (старческая эмфизема)
- Повышенная воздушность легких или деструкция периферических дыхательных путей (клапанный механизм, терминальная стадия воспалительных заболеваний, недостаточность a1-антитрипсина).
- Формы:
- Центролобулярная эмфизема (у курильщиков, часто связана с хроническим бронхитом, сопутствующими воспалительными изменениями и фиброзом)
- Панлобулярная эмфизема (недостаточность a1-антитрипсина, синдром Маклеода/Суайра-Джеймса, семейная форма)
- Парасептальная эмфизема.
Для чего проводят рентген грудной клетки при эмфиземе
- Чувствительность метода низкая и составляет примерно 50% (легкие формы заболевания могут остаться незамеченными)
- Специфичность высокая (>90%)
- Деформация грудной клетки (бочкообразная грудная клетка вследствие увеличения сагиттального размера, широких межреберных промежутков; уплощение реберно-диафрагмальных синусов)
- Низкое стояние и уплощение диафрагмы
- Обеднение периферического легочного сосудистого рисунка
- Расширение сосудов корня легкого
- Повышенная прозрачность легочных полей
- «Эмфизематозное (легочное) сердце».
Что покажет МСКТ грудной клетки при эмфиземе
- Парасептальная эмфиземе легких — буллезная
- Поражаются преимущественно базальные сегменты легкого
- При панлобулярной эмфиземе легких нарушается архитектоника всей дольки
- При центролобулярной эмфиземе легких отмечается деструкция стенки альвеол в центре вторичных легочных долек, периферические отделы долек и сосуды интактны
- Участки повышенной рентгенопрозрачности (эмфиземный порог составляет менее -950 HU; нормальная плотность легочной ткани находится в пределах от -750 до -900 HU).
- Поражаются преимущественно краниальные сегменты легкого.
- Сосудов становится меньше
- Особая форма панлобулярной эмфиземы развивается при недостаточности a1-антитрипсина.
- Преимущественно затрагивает субплевральные и бронховаскулярные участки легкого.
Эмфизема легких у мужчины 50 лет. На обзорной рентгенограмме грудная клетка имеет колоколообразную форму, диафрагма уплощена, уровень стояния ее низкий, сосудистый рисунок легких обеднен. Незначительная изогнутость отдельных сосудов. Тень сердца уменьшена, легочный ствол выбухает.
Специфичные симптомы
- Рентгенография грудной клетки: типичная картина регионарного или глобального повышения прозрачности легочных полей и обеднение периферического сосудистого рисунка
- КТ: деструкция стенки альвеол.
Клинические проявления
Типичные симптомы эмфиземы легких:
- Нарушение дыхания зависит в основном от морфологических изменений и в меньшей степени от типа эмфиземы легких
- Старческая эмфизема легких и повышенная воздушность легких часто протекают бессимптомно
- Симптомы эмфиземы легких у «Розовых пыхтелыциков» — больные, жалующиеся на затрудненное дыхание при физической нагрузке, непродуктивный кашель при относительно нормальном содержании газов в артериальной крови
- У «синих одутловатиков» дыхание нормальное, но поражены бронхи, что проявляется цианозом и хроническим рецидивирующим бронхитом
- Признаки легочной гипертензии
- Увеличены общая емкость легких и остаточный объем; OФB1 и перфузионная способность легких снижены.
Тактика лечения эмфиземы легких
- Отказ от курения
- Профилактика легочных инфекций
- Медикаментозная терапия (бронхолитики, заместительная терапия a1-антитрипсином)
- Дыхательная терапия
- Хирургическое вмешательство (уменьшение объема легкого, буллэктомия, трансплантация легкого).
Течение и прогноз
- Осложнения включают спонтанный пневмоторакс и рецидивирующие бронхолегочные инфекции
- Ограничение функции легких коррелирует со степенью изменений легочной паренхимы
- При далекозашедшей форме заболевания прогноз неблагоприятный.
Для количественной оценки и классификации эмфиземы легких необходима КТ. Центролобулярная эмфизема (а) характеризуется мелкоузелковыми просветлениями, соответствующими раздутым альвеолам в центре ацинусов.
Для панлобулярной эмфиземы (с) характерны генерализованная воздушность и деструкция легочной паренхимы. Часто встречаются переходные формы (b) между центролобулярной и панлобулярной эмфиземой.
Парасептальная эмфизема наблюдается часто и обычно не имеет клинического значения (d). На представленных томограммах она сочетается с центролобулярной эмфиземой.
Что хотел бы знать лечащий врач
- Насколько выражена деструкция легочной паренхимы
- Характер эмфиземы (локальная или генерализованная?).
Какие заболевания имеют симптомы, схожие с эмфиземой легких
Легочная киста и другие кистозные поражения
— Структура стенки различима
Бронхиальная астма
— Деструкция паренхимы отсутствует
— Повышенная воздушность может пройти после назначения бронхолитиков
Облитерирующий бронхиолит
— Деструкция паренхимы отсутствует
— Перфузия легочной ткани мозаична
Лимфангиолейомиоматоз
— Встречается почти исключительно у женщин в репродуктивном периоде
— Тонкостенные кисты
— Хилезная плевральная жидкость
Гистиоцитоз X
— Узелковые изменения
Полезные советы и предостережения
- Большое число ложноотрицательных результатов исследования (легкую форму эмфиземы можно не заметить на рентгенограммах и даже на КТ с широким окном исследования)
- При рентгенологическом исследовании внелегочные факторы могут скрыть повышенную прозрачность легких.
Источник: https://mritest.ru/article/Grudnaja_kletka-osno/Bolezni_dyhatelnyh_p/JEmfizema_legkih
Признаки эмфиземы легких на рентгене
Увидеть эмфизему лёгких на рентгене можно при затяжном течении патологий дыхательной системы: обструктивная болезнь лёгких у курильщиков, бронхиальная астма, силикозы и антракозы шахтёров, пневмокониозы и другие хронические заболевания.
Изменения являются результатом патологического расширения альвеол, альвеолярных ходов, бронхиол и бронхов. При этом нарушается структурное строение паренхимы органа, изменения часто становятся необратимыми.
Что можно увидеть на рентгенограмме при эмфизематозных изменениях
Эмфизема легких
Для диагностики лёгочной патологии необходим анализ снимков в двух проекциях: обзорная рентгенограмма органов грудной клетки и боковая проекция, обычно правого отдела.
При эмфиземе лёгких рентгенолог обнаруживает следующие изменения лёгких на рентгене:
- горизонтальное стояние рёбер;
- бочкообразную форму грудной клетки;
- расширение межреберий;
- грудина отклоняется вперёд;
- кифотическое искривление грудного отдела позвоночника;
- повышение прозрачности лёгочной ткани;
- смещение органов средостения (сердца, пищевода, магистральных сосудов);
- расширение и деструктуризация корней лёгких;
- опущение диафрагмы;
- усиление лёгочного рисунка преимущественно в прикорневой зоне — расширение сосудов лёгких;
- пролабирование (провисание) диафрагмы в сторону брюшной полости, преимущественно слева;
- увеличение диафрагмального угла (из острого приближается к прямому).
При длительном течении заболевания эмфизема осложняется формированием булл — воздушных полостей в лёгком. При повышении напряжения при кашле, чихании возможен разрыв ткани с формированием закрытого пневмоторакса.
Диагностика функциональных нарушений
Проведение функциональных проб при рентгенографии необходимо для дифференциальной диагностики необратимых изменений лёгочной ткани.
При эмфиземе в лёгких, несмотря на увеличившийся объем, функционального обмена использованного воздуха нет. В расширившихся альвеолах находится один и тот же воздух. Это приводит к снижению оксигенации крови и клиническим признакам гипоксии.
Для определения рентгенологических симптомов необратимых функциональных изменений используют следующие пробы:
- Метод Соколова: на рентген плёнке 13х18 см проводят ряд последовательных снимков в разных фазах дыхательного цикла, а затем при помощи линейки сравнивают экскурсию диафрагмы;
- Метод прицельных снимков — направленная диагностика на область локальной эмфиземы: выполняется несколько снимков на глубоком вдохе, затем выдохе, при задержке дыхания, потом сравнивают результаты;
- Метод при помощи щитка: закрывают правое лёгкое так, что купол диафрагмы находится под нижним краем заслона. Затем проводится ряд снимков, по расстоянию от заслона до диафрагмы на фазах вдоха, выдоха, задержки дыхания определяют экскурсию лёгкого.
Повышение прозрачности на рентгене: что это такое
Признаки эмфизематозных изменений на рентгене чаще диффузные и затрагивают левое и правое лёгкое.
Но иногда, при локальной бронхообструкции возможно выявление компенсаторной эмфиземы в виде повышенной пневматизации вокруг пневмосклероза и фиброза лёгочной ткани, участков ателектаза и других нефункциональных образований. В таком случае на рентгенограмме вокруг локального затемнения формируются участки повышенной воздушности.
При помощи рентгенограмм определяют следующие виды эмфизем:
- Первичную — сформированную в результате сужения просвета бронхов. Это ранняя форма, при которой изменения подвергаются регрессии.
- Вторичная — хроническая эмфизема, при которой происходит обструкция бронхов патологическим содержимым.
- Третичная — локальная эмфизема, при которой повышается воздушность в некоторых участках лёгочного поля.
Если на рентген-снимке обнаруживается завоздушивание половины грудной клетки, такое состояние называется пневмоторакс.
Патология часто осложняет течение буллёзной эмфиземы. Лёгкое поджимается к корню, за счёт чего нарушается его структурность. Органы средостения (сердце, магистральные сосуды, пищевод) смещаются в здоровую часть грудной клетки.
Клинически у человека проявляются симптомы острой дыхательной недостаточности, и он нуждается в хирургическом лечении: пункции плевральной полости.
Коррекция образа жизни больным с эмфиземой
При обнаружении на рентгенограмме стойкой эмфиземы следует скорректировать образ жизни для облегчения общего самочувствия и улучшения качества жизни. Рекомендуются следующие мероприятия:
- Бросить курить, так как табакокурение — главная причина формирования ХОБЛ.
- Сменить трудовую деятельность (если она связана с химической, угольной, мукомольной и другими отраслями, увеличивающими риск развития обструкции и других заболеваний органов дыхания).
- Переехать в экологически чистый регион или хотя бы пролечиваться в санаторных условиях раз в год, климат нужно выбирать сухой и тёплый.
- Соблюдать гипоаллергенную диету, так как иногда продукты питания могут быть причиной бронхиальной астмы и приводят к бронхообструкции.
- При любых заболеваниях верхних дыхательных путей следовать рекомендациям врача, строго соблюдать назначенную терапию.
Эмфизема лёгких — логическое завершение хронического обструктивного процесса. Патология сопровождается значительными изменениями функционального состояния лёгочной ткани, клинически проявляется признаками дыхательной недостаточности.
При прогрессировании и декомпенсации процесса формируются сердечно-сосудистые нарушения. Важно обнаружить первые признаки эмфизематозных изменений для своевременной коррекции образа жизни и профилактики серьёзных осложнений. Альтернативными методиками выступают КТ и МРТ.
Источник: https://osnimke.ru/organy-grudnoj-kletki/emfizema-legkih.html
Флюорография – что показывает: как выглядит на флюорограмме фиброз корней и легкие курильщика

Проходя медосмотр в очередной раз, каждый человек получает назначение и на прохождение флюорографии. Многие могут бояться такого обследования, ссылаясь на его бесполезность и вред. Итак, рассмотрим флюорография что показывает?
Общее понятие
Флюорография – диагностическая процедура, которая возникла в конце XX столетия.
Важно! ФГ — это рентгенологическое исследование грудины с использованием рентгеновских лучей.Такое обследование имеет свои преимущества и недостатки. Среди положительных сторон стоит выделить:
- дешевизна обследования из-за использования недорогой пленки крупного формата;
- компактность современного флюорографа позволяет проводить исследование по месту работы, используя при этом специальные передвижные установки;
- за короткий промежуток времени возможно провести несколько исследований.
В последнее время все чаще стала использоваться цифровая флюорография, что показывает она? Цифровая ФГ позволяет получить моментальный снимок и выявить патологии легких. Это упрощает процедуру и делает ее еще более экономичной.
Самым значительным минусом является маленькое разрешение получаемого изображения. При обнаружении признаков болезней специалистам приходится отправлять пациента на рентгенографию.
Что может выявить процедура
Данный вид исследования проводится не только для определения заболевания легких. Что же на самом деле выявляет флюорография? Обследования направлено на то, чтобы обнаружить такие недуги, как:
- сердечная патология;
- бронхит;
- спаечные процессы в ткани плевры;
- рак;
- некоторые следствия травмы ребер или же позвонков, а также такие заболевания, как спондилез и сколиоз.
При необходимости специалистами могут быть назначены дополнительные лабораторные и рентгенологические исследования, а также ряд диагностических процедур, которые помогут определить точный диагноз или опровергнуть подозрения.
Некоторых пациентов может заинтересовать вопрос, какой врач делает флюорографию. В любой поликлинике имеется специальный кабинет или даже целое отделение.
Проведение обследования проводится только по направлению участкового доктора. В сельские районы могут выезжать специалисты с мобильными установками, при помощи которых осуществляется процедура.
Саму процедуру проводит медсестра-рентген-лаборант, которая имеет специальную подготовку. Существует также и специалист, который занимается расшифровкой флюорограмм. Такого врача называют рентгенологом или же специалистом по рентгенотерапии и рентгенологической диагностике.
Противопоказания
Вне зависимости от того, что может выявлять флюорография, и насколько важна она для пациента, имеется ряд противопоказаний для данного обследования:
- беременность на любом сроке;
- сильная продолжительная одышка;
- отсутствие возможности занимать вертикальное положение;
- клаустрофобия;
- детский возраст до 15 лет.
При необходимости таким пациентам проводят исследования, которые заменяют проведение процедуры.
Обследование курильщиков
Что еще может показать исследование легких? Любой курильщик хоть раз задумывался над вопросом, видно ли на флюорографии, что человек курит?
Здесь стоит сказать, что здоровые органы на снимке должны выглядеть как светло-серые и четко очерченные.
Потому если курение стало результатом патологических изменений, то флюорография курильщика ничего не покажет.
А вот длительное, интенсивное курение станет причиной того, что на снимке будут видны некоторые изменения.
ФГ курильщика с хорошим стажем имеет свои особенности, и будет свидетельствовать о наличии некоторых недугов.
- Органы курильщика имеют более плотный рисунок, в сравнении со здоровыми органами. Они могут иметь сетчатую структуру, альвеолы выглядят очерченными черными.
- Усиление рисунка сосуда можно наблюдать в периферических отделах органов. Темные плотные структуры на снимке чередуются, что показывает не функционирующую соединительную ткань.
- Меняется плотность легочной ткани, что непременно отразится на результате исследования. Появляются более светлые участки.
- Изменяются и корни органа, которые на снимке будут не такими четкими. Проявляются дополнительные тени, изменяется форма корней. У курильщиков практически невозможно различить составляющие части корня легкого.
Флюорография легких человека, имеющего такую вредную привычку, с данными изменениями может говорить об определенных проблемах:
- Плохая четкость говорит о том, что в органе превалирует фиброзная ткань, увеличивается просвет сосудов.
- Деформация корней свидетельствует о течении некоторых воспалительных процессов.
- Повышенная плотность, легко заметная на снимке, свидетельствует о том, что в органе нарушена функция самоочистки, увеличиваются лимфоузлы, застаивается лимфатическая жидкость.
- Кроме изменения структуры легких и неправильной работы органа могут возникать заболевания, появление которых провоцируется никотином.
Выявление туберкулеза
Туберкулез – заболевание, которое встречается довольно часто. Первые симптомы, которые должны стать показателем к обследованию, следующие:
- постоянный кашель, который проявляется на протяжении всего дня, в любое время суток;
- одышка, формирующаяся даже без физических нагрузок;
- хрипы в легких.
Туберкулез на флюорографии выглядит как очаговые тени, которые расположены в верхней части органа. При необходимости стоит воспользоваться и другими способами диагностики, такими как КТ или МРТ.
Стоит отметить, что рано выявленное заболевание легко поддается лечению. Потому очень важно при первых тревожных симптомах обратиться за помощью к специалисту.
Выявление фиброза легких
Фиброз корней легких – заболевание, которое проще всего диагностировать именно при помощи флюорографии. Это недуг, при котором в легких образуется фиброзная ткань, нарушающая дыхательную функцию органа.
У данного недуга имеется своя симптоматика, проявление которой должно быть строгим показанием для визита к врачу:
- учащенное сердцебиение;
- боли в груди;
- отеки нижних конечностей;
- слабость и быстрая утомляемость;
- вздутие вен в области шеи.
Может ли флюорография показать наличие или отсутствие данного недуга?
Безусловно, да. При фиброзе корней легких, видной на флюорограмме, пациенту назначается медикаментозное лечение специальными препаратами.
Рекомендовано также правильно питаться и выполнять дыхательную гимнастику, избегать долгого контакта с пылью и полностью отказаться от курения, соблюдать правила безопасности при контакте с опасными веществами.
Стоит запомнить, что если не лечить фиброзные изменения, показанные на флюорограмме, то это грозит летальным исходом.
Диагностирование рака легких
Безусловно, многих пациентов интересует вопрос, может ли такая процедура, как флюорография, показать рак легких?
Доказано, что флюорография легких может показать онкологические образования в них. Однако такие болезни иногда маскируются и под другие болезни, что осложняет их диагностирование на ранних стадиях.
Отличительной чертой рака дыхательной системы является то, что опухоль в мелких бронхах практически никак себя не выдает. У больного может появиться незначительная одышка и слабая боль, на которые чаще всего просто не обращается внимания.
А вот опухоль на крупном бронхе вызывает постоянный сухой кашель, который сменяется влажным. Больной может наблюдать гнойные отхаркивания с некоторой примесью кровяных прожилок.
Нередко появляется достаточно интенсивная боль в грудине и сильная одышка.
Обращаться к специалистам при таких симптомах стоит обязательно, так как если исследование может показать рак легких, то его лечение можно будет начать раньше, что даст более высокие шансы на положительный исход.
Другие формы проверки легких
Задаваясь вопросом, как проверить легкие кроме флюорографии, следует обратить внимание на такие способы, как:
- Первичный осмотр грудной клетки, при котором определяется не только размер, но и форма грудины, симметричность ее половин.
- Оценка внешних показателей дыхания, к которым можно отнести глубину и ритм.
- При помощи пальпации можно определить форму и размер органа.
- Благодаря перкуссии можно проанализировать звуки, которые слышны непосредственно во время простукивания. Они могут быть довольно показательными при некоторых заболеваниях.
- Возможна аускультация, то есть оценка звуков, которые образуются при деятельности органа.
- В лабораторных условиях можно исследовать мокроту.
- Проведение линейной или компьютерной томографии.
- МРТ.
Важно! При появлении хотя бы одного из симптомов стоит провести флюорографическое исследование. : что можно определить с помощью флюорографии
Источник: https://doktora.guru/diagnostika/flyuorografiya-chto-ona-pokazyvaet.html
Что покажет рентгенограмма при эмфиземе легких?
Изменения, происходящие внутри легочной ткани, может продемонстрировать рентгенограмма: эмфизема легких выглядит настолько специфично, что врачи легко устанавливают диагноз. О тяжести и степени запущенности процесса судят по характеру картины на рентгеновском снимке.
Кратко о сути заболевания
Эмфизема возникает чаще всего в пожилом возрасте и поражает мужчин в 2 раза чаще, чем женщин. Основными причинами заболевания медики называют:
- частое вдыхание табачного дыма и других токсичных веществ, присутствующих в загрязненном воздухе;
- хронические заболевания легких (бронхиты, астма и пр.);
- работа в условиях, связанных с высоким давлением воздуха в ткани легкого и бронхах;
- нарушение микроциркуляции крови в альвеолярной ткани, застойные явления;
- врожденная недостаточность фермента антитрипсина.
Течение заболевания заключается в постепенной утрате стенками альвеол своей эластичности. Легочная ткань в результате теряет способность спадаться при выдохе, а ее пузырьки остаются расширенными и заполненными воздушной смесью.
Участки повышенной воздушности сдавливают мелкие веточки бронхов и препятствуют вентиляции здоровых участков.
В результате возникает состояние обструкции легких, когда постепенно теряется их функция, и больной начинает испытывать постоянное чувство недостатка воздуха.
Классификация и симптомы
Основное деление производят на первичную и вторичную эмфизему. Первичная возникает как самостоятельное заболевание из-за влияния неблагоприятных факторов. При вторичной патологии процесс развивается как осложнение других заболеваний.
Выделяют 2 формы распространенности изменений:
- локализованную, поражающую отдельные, небольшие и достаточно четко очерченные очаги;
- диффузную, при которой ткань равномерно изменена на обширных участках органа.
Эмфизема может поражать и разные участки ацинуса – функциональной единицы легкого, состоящей из нескольких альвеол и веточки бронха. Врачи выделяют:
- панацинарную форму, которая охватывает весь ацинус;
- центриацинарную – расширены только центральные альвеолы;
- периацинарную – поражены крайние пузырьки;
- неравномерную;
- буллезную (имеются устойчивые вздутия в ткани легкого).
Эмфизема может также поражать отдельные доли органа или сосредотачиваться только в одном легком.
Первые проявления заболевания выглядят как сильная одышка. Сначала она возникает при физической нагрузке и не вызывает опасений.
По мере развития дыхательной недостаточности затрудненное дыхание наблюдается и в состоянии покоя или при минимальном движении. Особенность одышки при эмфиземе легких – затрудненный выдох.
Внешне это часто проявляется в раздувании щек и усиленном выдохе через сомкнутые губы. Уже на ранних стадиях появляется кашель.
В процессе развития болезни возникают следующие симптомы:
- слизистая мокрота при кашле (выделяется в небольшом количестве);
- потеря веса без причины;
- одутловатое, отечное лицо;
- цианоз губ, бледность кожи;
- видимое набухание вен на шее.
При отсутствии лечения от дыхательной недостаточности начинает страдать и сердечно-сосудистая система.
Как проходит исследование, и что видит врач на рентгенограмме при эмфиземе легких?
Перед процедурой не проводят никакой подготовки. Чтобы рентгенограмма получилась отчетливой, пациента попросят раздеться до пояса и снять украшения, которые свисают на грудь.
Исследование чаще всего проводят в положении стоя, на специальном оборудовании для рентгенодиагностики. Пациент должен встать так, как требует врач, чтобы снимок в нужной ему проекции получился хорошо читаемым.
На четкость рентгенограммы влияет и неподвижность грудной клетки в момент облучения.
Требование специалиста вдохнуть и задержать дыхание на несколько секунд основано на максимальном расширении грудной клетки и легких для лучшего обзора органов и их неподвижности.
Для точного диагностирования специалист может попросить выполнить тестовые снимки:
- облучают при задержке, вдохе и выдохе – у больного человека просветление остается одинаковым;
- прицельные снимки проводят для рассматривания областей с высокой пневматизацией;
- закрывают экраном часть диафрагмы, чтобы обнаружить ее сниженную подвижность.
Получение рентгеновских снимков связано с облучением организма. Если из-за невнимательности пациента к требованию врача снимок будет нечетким, процедуру придется повторить, лишний раз подвергаясь воздействию жестких лучей.
Расшифровка
Участки легкого, пораженного эмфиземой, на снимке выглядят самыми прозрачными. Это свидетельствует о повышенной пневматизации этих областей. Кроме просветлений на снимке, врач оценивает:
- Изменение формы грудной клетки. Бочкообразность легочного отдела и увеличение передне-заднего размера удается видеть только в боковой проекции. При эмфиземе становятся расширенными и межреберные промежутки, а ребра располагаются горизонтально.
- Изменения в рисунке легкого и его избыточность. Размер самого органа (легочное поле) увеличивается по отношению к физиологически нормальному. Из-за этого меняются очертания купола диафрагмы, а при высокой степени развития процесса он становится похожим на палатку: с острой приподнятой серединой и круто опускающимися боковыми сторонами.
- Прозрачные (просветленные) легкие. На рентгенограмме вся ткань легкого заполнена воздухом и пропускает лучи, создавая более или менее выраженную «дымку». Пораженные участки выглядят еще более прозрачными.
Если исследование с помощью рентгена не даст однозначного результата, пациенту рекомендуют компьютерную томографию для подтверждения диагноза.
Лечение заболевания
Медикаменты при эмфиземе назначают только для уменьшения симптомов. Для улучшения состояния бронхов назначают бронхолитики (Сальбутамол, Теофиллин и пр.) в виде таблеток и ингаляций. Показано применение и глюкокортикоидов (например, Преднизолона). Снизить отечность тканей помогают диуретики. Больным показана и дыхательная гимнастика или специальные комплексы ЛФК.
Основное лечебное мероприятие – операция, связанная с уменьшением объема органа. При этом производят иссечение его крайних участков. Оставшаяся часть органа может расправиться в освободившемся пространстве и начинает выполнять свою физиологическую функцию. При сильной степени поражения может помочь только пересадка (трансплантация) легкого.
Чтобы не возникало рецидивов, больному рекомендуют отказаться от курения, сменить место работы, если причина связана с профессиональной деятельностью. При наличии хронических воспалительных процессов в легких проводят их лечение. При соблюдении рекомендаций врача качество жизни пациентов удается повысить, хотя и будут оставаться ограничения на занятия профессиональной деятельностью.
Самолечение и применение народных средств при эмфиземе недопустимо. Заболевание легче всего лечится на ранней стадии развития. Время, упущенное в поисках нетрадиционных методик, лучше потратить на посещение врача при появлении первых признаков болезни.
Источник: https://iDiagnost.ru/issledovaniya/rentgen/chto-pokazhet-rentgenogramma-pri-emfizeme-legkih
Фиброзные изменения в легких. Что это, причины, фото диффузные, локальные, после пневмонии, послеоперационные. Как лечить

Не всегда возникающий внезапно кашель является признаком простудного заболевания. Так, кистозный фиброз легких всегда сопровождается нарушением дыхательной функции, кашлем. Появление слизистой или гнойной мокроты является поводом для обращения к врачу.
Виды патологии
В зависимости от месторасположения фиброзных изменений, различаются диффузный и локальный фиброз в легких.
- Очаговый (локальный) фиброз это разрастание рубцовой ткани в определенном небольшом участке органа. Симптомы в таком случае проявляются медленно, в течение нескольких лет.
- При диффузном (тотальном) типе заболевания изменения затрагивают большие площади легких, состояние больных тяжелее и требует немедленного начала лечения. Такой фиброз прогрессирует быстрее.
- Встречаются случаи, когда участки с локальным и тотальным фиброзом могут чередоваться, тогда присутствуют сразу оба типа заболевания. Болезнью могут быть затронуты как оба легких, так и одно из них, по этому признаку разделяют двухсторонний и односторонний фиброз.
На рисунке показано, как выглядят фиброзные изменения в легких.
Различается болезнь и по расположению патологии в легких. Рубцовые ткани, растущие в нижнем участке, называются корневым фиброзом, в центральной части — базальным, в верхних областях — апикальным.
Виды
По объемам поражения органа различают локальный и диффузный пневмофиброз.
При локальном пневмофиброзе поражаются отдельные участки легкого. Качество жизни больного не сильно ухудшается, поскольку потеря эластичности и уплотнение ткани наблюдаются только на пораженном участке, дыхательная функция ухудшается незначительно.
Гораздо опаснее диффузный пневмофиброз. Тогда сразу в обоих легких уплотняется ткань и уменьшается объем органа, меняется структура. Процесс протекает быстро, дыхательная функция ослабевает.
Для обеих форм характерна прогрессирующая и непрогрессирующая стадия. В прогрессирующей стадии возникают серьезные осложнения, вплоть до абсцессов. Обострения могут беспокоить в течение всей жизни больного. Более благоприятна непрогрессирующая стадия, которая протекает практически без клинических проявлений. Больше шансов на легкое течение у лиц, соблюдающих здоровый образ жизни.
Симптоматика фиброза в легких
На начальных этапах заболевания симптомы могут никак не проявляться или быть слабыми. Именно поэтому фиброзные изменения в легких это то, что часто диагностируют уже на поздних, запущенных стадиях.
Чтобы не дать развиться болезни и усложнить тем самым лечение, следует серьезнее относиться к следующим признакам:
- одышка, после нагрузок или в состоянии покоя;
- часто возникающий кашель, сухой или с мокротой;
- боли в грудной клетке с ощущением давления изнутри;
- увеличение частоты дыхания и сердцебиения;
- озноб и небольшое повышение температуры;
- дыхание становится поверхностным, неглубоким;
- кожа рук и слизистой оболочки рта имеет синеватый оттенок из-за недостатка снабжения кислородом;
- повышенная усталость, слабость, снижение выносливости;
- слишком быстрая потеря веса;
- отеки, особенно нижних конечностей;
Симптомы фиброза лёгких
Лёгочный фиброз имеет тенденцию проявляться следующими симптомами:
- одышка, хрипение (одышка возникает в начале из-за физических нагрузок, затем все больше и больше начинает появляться, когда человек одевается, ходит по дому или разговаривает) ;
- хронический “сухой” кашель, не вызывающий мокроту;
- слабость, астения;
- дискомфорт в груди;
- потеря аппетита и веса.
Реже могут также присутствовать следующие признаки:
- лихорадка;
- боли в мышцах и суставах;
- кровохарканье (выделение крови из дыхательных путей, обычно посредством кашля).
Причины патологии
Точные причины, по которым начинается фиброз не всегда можно установить, и до сих пор неизвестны ученым. Факторов, которые могут спровоцировать начало заболевания достаточно много, однако их наличие не всегда приводит к болезни у каждого конкретного человека, так что, скорее всего, это зависит от совокупности обстоятельств и генетической предрасположенности.
Причины, которые могут способствовать развитию фиброза следующие:
- Длительное вдыхание загрязненного воздуха, содержащего химикаты, токсины, пыль, мелкую стружку, в том числе на вредном производстве.
- Курение.
- Последствия химиотерапии и лучевой терапии при лечении онкологических заболеваний.
- Длительная аллергическая реакция.
- Долго протекающие инфекции, воспаления, такие как пневмония, туберкулез.
- Другие заболевания, связанные с соединительной тканью, такие как артрит, ревматизм, васкулит.
- Сахарный диабет.
- Возраст старше 40 лет.
Причины возникновения
Известно много факторов, которые повышают риск развития пневмофиброза:
- Перенесенные или имеющиеся заболевания — воспаление легких, сифилис, туберкулез, хронические обструктивные болезни органов дыхательной системы;
- деятельность или условия проживания, связанные с постоянным вдыханием вредоносных газов, пыли;
- наследственность;
- травмы грудной клетки, связанные с повреждением органа дыхания;
- застойные процессы;
- ионизирующее облучение, воздействующее на область груди;
- прием лекарств с токсическим действием;
- гипоксия (кислородное голодание) тканей.
Болезнь развивается приблизительно по такому сценарию.
В бронхах нарушается отток секрета и происходит его накопление. Это благотворные условия для увеличения количества болезнетворных микроорганизмов. Также из-за воспаления и застойных явлений нарушается крово-, лимфоток. В месте, где нарушен ток биологически жидкостей, разрастается соединительная ткань. Она замещает альвеолы вблизи себя.
Ткань здорового легкого эластична. Эластичность обеспечивает высокое внутрилегочное давление, благодаря которому на вдохе раскрывается внутренняя стенка альвеолы. Если ткань легкого поражена фиброзом, то давление снижается, часть альвеол не раскрывается, и поступает меньше кислорода.
Когда заболевание прогрессирует, то легочная ткань постепенно перестает выполнять свою функцию, из-за чего развивается дыхательная недостаточность и нарушается газообмен.
Диагностика фиброзных изменений в легких
Фиброзные изменения в легких это состояние, при котором больной сначала обычно идет к терапевту.
После прослушивания дыхания фонендоскопом, во время тщательных расспросов врач устанавливает:
- характер жалоб;
- когда началось проявление симптомов;
- наличие вредной работы;
- наличие подобных заболеваний в семье;
- наличие неблагоприятной экологической обстановки;
- наличие сопутствующих заболеваний;
Первичные признаки можно также установить визуально, например синюшность кожи и увеличенный вид легких. После этого терапевт направляет пациента к пульмонологу и на специальные исследования, как лабораторные так и инструментальные.
Основные методы диагностики:
- Анализ крови — позволяет установить наличие инфекции в организме и уровни основных показателей здоровья человека.
- Рентгенография —врач по снимкам изучает уплотнения и очаги фиброза.
- Тест функции дыхания — врач, пользуясь специальным прибором, оценивает объем легкого.
- Компьютерная томография — дополняет рентгенографию, позволяет сделать более детальные и понятные снимки для изучения.
- Бронхоскопия — в бронхи вводится бронхоскоп, с его помощью врач оценивает характер и расположение воспаления, внутреннее состояние бронхов и степень выраженности мокроты.
- Биопсия тканей легкого — во время бронхоскопии или хирургическим путем получают небольшой участок ткани, который исследуется в лаборатории.
Диагностика заболевания
Исследование пациентов комплексное. Оно включает сбор данных, лабораторные и инструментальные методики.
Для того чтобы определить пошаговое направление в обследовании больного, собирают анамнез. У пациента выясняют место работы, всю симптоматику, продолжительность течения болезни, предположительное время появления первых признаков.
По лабораторным данным общего анализа крови, явных изменений не наблюдается. Незначительно повышенно СОЭ, увеличено количество лейкоцитов и свертываемость.
При аускультации – сухие рассеянные или мелкопузырчатые хрипы, дыхание жесткое. При перкуссии – звуки короткие, подвижность легочного края ограничена.
Инструментальные методы обследования
Ключевым диагностическим методов является рентген легких. Он с точностью позволяет определить наличие, локализацию и степень очагов поражения. Легкое справа всегда немного ниже левого. Рисунок перестроен, имеет вид сот или ячеек.
Трактовка результатов рентгеновских снимков:
- Базальный пневмофиброз легких – это фиброзное поражение сегментов нижней доли легкого, следствие перенесенных воспалительных процессов. Его еще называют постпневмоническим фиброзом. В области поражения на рентгене видна усиленная яркость и четкий рисунок.
- Прикорневой пневмофиброз легких – разрастание соединительной ткани в области корня легкого, где происходит соединение с органами средостения (сердце, аорта). На рентгене видны четкие уплотненные участки.
- Линейный пневмофиброз легких – поражение одного или нескольких сегментов легкого, на снимке видны линейные тени.
- Постлучевой пневмофиброз – осложнение после облучения (во время лечения или в результате несчастного случая). На рентгене нет четких границ пораженной ткани, очертания размыты.
Для диагностики структурных изменений пневмофиброза прикорневых и базальных отделов назначают компьютерную томографию, так как эти участки недостаточно просматриваются и заместительный дистрофический процесс может распространяться на близлежащие органы. ТК легких позволяет послойно и детально оценить степень поражения тканей, выявить их характер и динамику развития.
Для оценки функций внешнего дыхания пациентам назначают спирометрию – тест, определяющий отклонения дыхательной функции легких. Во время исследования оценивают такие показатели:
Источник: https://gb4miass74.ru/bolezni/fibroz-legkih.html