Причины эндометрия неоднородной структуры

Неоднородный эндометрий – это тревожный сигнал о присутствии различных отклонений в организме женщины.
Итак, что это значит? Эндометрий представляет собой ткань, которая покрывает внутренний слой матки, а ее неоднородность подтверждает наличие воспалительного процесса или гормонального нарушения.
Для врачей такая неоднородность матки сигнализирует об отклонении не только в женских половых органах, а и в организме в целом.
Особенности эндометрия
Эндометрий — это слизистая оболочка матки, которая обогащена кровеносными сосудами. Размер внутреннего слоя матки помогает в определении заболевания, которое может угрожать даже жизни женщины. Толщина эндометрия видоизменяется в зависимости от различных факторов, но в некоторых случаях это может являться нормой.
Нормальные показатели
Для женщин детородного возраста нормальный эндометрий на различных фазах цикла имеет свои особенности:
- 1 фаза – Начало цикла. Толщина эндометрия варьируется от 5 до 9 мм. Звук проходит отлично, а также разделений на слои не имеется.
- 2 фаза – Середина цикла. Происходит уплотнение эндометрия. Эхогенность снижается, однако проходимость звука остается достаточно высокой.
- 3 фаза – Конец цикла. Происходит разделение эндометрия на слои с гиперэхогенными включениями, которые достигают 9-10 мм. Также стоит отметить, что эта самая благоприятная фаза для зачатия.
А для женщин в стадии постменопаузы нормой считается толщина внутренней оболочки матки не менее 6 мм с ровной структурой.
В целом эндометрий в норме имеет в какой-то степени однородную структуру, то есть он одинаково уплотненный и также примерно утолщен в зависимости от фазы цикла. Однако стоит отметить, что в редких случаях неоднородный внутренний слой матки может являться физиологической нормой, но в основном это свидетельствует об опасных нарушениях в организме.
Причины отклонений
В основном, когда эндометрий неоднородной структуры — это считается физиологической нормой. Она зависит, в какой сейчас фазе менструального цикла находится женщина.
А о проблемах с неравномерной толщиной эндометрия говорят следующие отклонения:
- Когда неоднородный внутренний слой матки, вне зависимости от периода менструального цикла, проявляется изменением гормонального фона женского организма.
- Когда женщина находится в периоде пред- или постменопаузе, такое состояние может гласить о наличии онкологического заболевания или же об иных серьезных патологических процессах.
Существенным фактором неоднородности эндометрия является нарушение кровоснабжения внутренней слизистой оболочки матки.
Перед гинекологом стоит главная задача — определение точной причины отклонения. Для этого пациентке предстоит пройти обширное обследование, а иногда даже проконсультироваться со специалистами иного профиля.
На узи специалист видит структуру, размер эндометрия и дает заключение, присутствуют ли патологические изменения или нет.
Типы
В данное время принято разделять данное состояние на два типа, а именно:
- Нормальный неоднородный эндометрий – это когда развитие происходит во время менструального цикла или же во время вынашивания ребенка. Такое состояние является нормой, то есть естественным, оно не причиняет дискомфорта и не требует приема медикаментов.
- Патологический – это когда развитие происходит вне вынашивания ребенка и вне соответствующего дня менструации. Данную патологию необходимо подвергнуть медикаментозному лечению, но сначала нужно определить причину ее возникновения. Факторов может быть много: дисбаланс гормонов, травма слизистой оболочки матки, нарушение кровоснабжения, а также микроциркуляции внутреннего слоя и органов малого таза в целом.
Стоит отменить, что бывают случаи врожденной неоднородности эндометрия из-за недоразвитости или особенности развития репродуктивной системы.
Симптомы
Симптоматические проявления у данного заболевания недостаточно определимы, но как врача, так и саму пациентку должно насторожить, во-первых, нарушения в менструальном цикле и наличие болевых ощущений при менструации. Такими признаками неоднородный эндометрий проявляется на начальных стадиях.
Неоднородная структура эндометрия диагностируется гинекологом по результатам ультразвукового исследования, а после дополнительного обследования возможно определение ряда иных заболеваний. При своевременном обращении к врачу, женщина может предупредить развитие бесплодия, онкологического заболевания, обильных кровотечений, скопления крови в полости матки, а также разрыва эндометрия.
Если уже поставлен диагноз неоднородный эндометрий, это означает, что в организме запущен воспалительный процесс. Его нельзя игнорировать, а тем более, заниматься самолечением, это только усугубит ситуацию.
Возможно, гинеколог назначит выскабливание – это довольно простая процедура. Она предусматривает удаление верхнего слоя матки, который потом имеет свойство восстанавливаться. Как правило, данную процедуру проводят за некоторое время до наступления месячных.
Лечение после операции назначается с помощью антибиотиков. На протяжении небольшого количества времени могут наблюдаться кровянистые выделения или же небольшое кровотечение.
Неоднородная структура внутреннего слоя матки бывает после проведения медикаментозного аборта. В данном случае из-за тонкого слоя эндометрия выскабливание не назначается.
Процесс восстановления длится на протяжении месяца, однако медики пытаются ускорить данный процесс.
Всем женщинам рекомендуется соблюдать профилактические мероприятия, которые помогают предупредить формирование гинекологических заболеваний.
Лечение
В зависимости от рода патологического процесса и состояния слизистой оболочки назначается определенная лекарственная терапия. В случаях воспалительного процесса лечение проходит при помощи антибиотиков, которые имеют обширный спектр действия, а именно:
- Цефтриаксон;
- Амоксициллин.
Также назначают препараты для повышения иммунной системы. В некоторых случаях, в дополнение назначают нестероидные противовоспалительные медикаменты:
В случаях дисбаланса гормонального фона лечение происходит с помощью гормонов:
- Довольно часто с применением комбинированных, оральных контрацептивов, таких как Регулон, Ярина;
- Эстрогена, например, Эстрожель;
- Прогестерона, например, Утрожестан, Ноколут.
Профилактика
В целях предотвращения данного заболевания следует взять на вооружение последующие рекомендации.
Во-первых, подобает начать с прохождения узи и профилактического осмотра у гинеколога с интервалами один раз в полгода. Следует также сдать необходимые анализы и мазки, особенно для женщин репродуктивного возраста, так как нужно регулярно следить за уровнем гормонов.
Во время полового акта стоит со вниманием отнестись к применению барьерных методов контрацепции, которые смогут предотвратить наступление нежелательного зачатия. А также это является одним из методов профилактики заражения венерическими заболеваниями.
Обязательным требованием является прохождение профилактического осмотра и узи один раз в год женщин, которые находятся в состоянии менопаузы, так как данные женщины находятся в зоне риска.
При возникновении первых тревожных симптомов или болезненности в области органов малого таза надо срочно обратиться к своему лечащему гинекологу.
Данное состояние может означать наличие инфекции или развитие патологических отклонений.
Если внимательно относиться к своему здоровью и беречь его, можно предотвратить возникновение различного рода заболеваний или же быстро вылечить их на ранней стадии.
Источник: https://MatkaMed.ru/endometrij/neodnorodnyj-endometrij
Гиперэхогенный эндометрий: причины, лечение, диагностика — ГИНЕКОЛОГИЧЕСКАЯ БОЛЬНИЦА ОМСКОЙ ОБЛАСТИ

Чаще всего в гинекологической практике для обследования пациенток назначается ультразвуковое исследование. С помощью него оценивается женская репродуктивная система, а также внутренний маточный слой – эндометрий. Его эхогенность оценивается с помощью ультразвука. Это позволяет выявить многие заболевания на ранних стадиях.
Если разбираться, эндометрий гиперэхогенный что это значит, то это – слой повышенной плотности и низкой проницаемостью. Чем она выше, тем будет выше сопротивление ультразвуковым волнам, что в данном случае указывает на патологические процессы.
Что представляет из себя эндометрий
Эндометрием называется внутренний маточный слой (слизистый). Он состоит из желез, соединительной ткани с кровеносными сосудами. Также в состав эндометрия входит однослойный призматический эпителий.
Он состоит из тонкой мембраны с функциональным и базальным слоями. Последний находится на мышечном слое и необходим для формирования новых клеток, которые необходимы для восстановления после менструации.
Толщина базального слоя – не более 1,5 см. Он необходим для восстановления структуры эндометрия, в котором происходят периодические изменения из-за воздействия гормонов. Основная функция слоя – создание благоприятных условий, чтобы плод смог прикрепиться и нормально расти. Сосуды внутри эндометрия – часто плаценты и помогают в доставке кислорода.
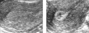
При отсутствии беременности маточные стенки соприкасаются друг с другом. Эндометрий предупреждает их слипание (показано на фото). Нарушение этого слоя может спровоцировать развитие серьезных заболеваний или бесплодие.
Эндометрий гиперэхогенный
Чтобы определить гиперэхогенный эндометрий что это, нужно сравнить его со слоем в норме. Слизистая меняется в зависимости от дней цикла. В его начале толщина эндометрия примерно 0,4-0,9 см. Потом начинает постепенно утолщаться. Эндометрий становится более плотным, что повышает его эхогенность.
В стадии «гипер» он может находиться в конце цикла либо это свидетельствует о различных патологиях. Максимальная толщина слоя эндометрия перед менструацией должна быть не более 2 см.
Причины гиперэхогенного эндометрия
Гиперэхогенная структура эндометрия может появиться вследствие множества причин. Например, она формируется во 2-й части цикла, когда меняется толщина слоя. Другие причины:
- Эндометрит, вызванный грибками, бактериями либо вирусами. Он может быть двух видов. К эхопризнакам эндометрита хронической формы относятся признаки гиперплазии, очаги которой 2-7 мм. Причем патологические участки располагаются по всей слизистой.
- Внутриматочные спирали, изготовленные из синтетических материалов. Они каждый день выбрасывают в полость матки небольшое количество гормонов, работающих как контрацептивы и защищающие орган от сперматозоидов. Спирали обладают высокой плотностью и низкой эхогенностью.
- Эндоцервицит (воспалительный процесс). Он развивается в слизистой маточной шейки.
- Полипы на УЗИ выглядят как светлые пятна. Состав новообразований – соединительная и железистая ткань с низкой плотностью. Полипы появляются из-за эстрогена и чаще всего имеют доброкачественную природу. Хорошо диагностируются, с минимальной вероятностью ошибок.
- Эндометриоз, когда разрастаются клетки эндометрия и выходят за пределы слоя.
Также гиперэхогенность эндометрия могут вызвать некоторые патологические процессы. Они могут быть очаговыми, локальными, тотальными. Например:
- Скопление пузырьков воздуха в полости матки. Это может указывать на сделанное выскабливание, хронический эндометрит.
- Гематометра – это скопление сгустков крови. Они могут появиться после хирургической операции, при маточных кровотечениях по непонятной причине. Сгустки имеют меньшую плотность, чем соседние ткани и показаны на УЗИ как светлые участки с неровными контурами и неправильной формы. Они могут быть как единичные, так и массовые включения. Если меняется их структура, то и эхогенность.
- Остатки плода или его яйца, которые остаются после выкидыша или абортов. Появляются, если после этих процессов в матке осталась часть макропрепарата.
- Воспаление швов после операции. В этом случае вокруг них увеличиваются участки инфильтрации. Они обладают высокой эхогенностью.
- Маточная перфорация, когда нарушается ее целостность. Это может быть следствием чистки либо другой хирургической операции, которые были выполнены неправильно или некорректно. В этом случае в матке могут дополнительно находиться пузырьки воздуха и кровяные сгустки.
Также стать причиной гиперэхогенности эндометрия могут раковые опухоли. Миома и липома сопровождаются образованием фибрина, который покрывает слизистую. Обычно эти нити линейного характера. К иным причинам повышенной плотности эндометрия относится беременность, плохое кровообращение, недоразвитая матка или ее механические травмы.
Зачем нужно проводить УЗИ эндометрия
Ультразвуковое обследование обязательно, если имеется подозрение на определенное заболевание.
Например, эндометрит видно ли на УЗИ? Обследование может помочь обнаружить явные симптомы болезни примерно в 40 процентах случаев, чаще визуализируются косвенные.
Однако они также могут указывать и на другие патологии поэтому только по УЗИ диагноз «эндометрит» не ставится, требуются дополнительные исследования.
Источник:
Гипоэхогенное образование в матке: причины и обследование с помощью УЗИ
Для незнающего человека слова «гипоэхогенное образование» звучат как диагноз, однако это не так. Под этим понятием могут скрываться различные диагнозы, от кисты до рака эндометрия.
Что подразумевается под гипоэхогенным образованием?
Гипоэхогенное образование в матке
Всем знакома процедура УЗИ, которая заключается в направлении звуковых волн высокой частоты на определенный орган. Звук отражается от тканей, и на мониторе у специалиста появляется картинка. Эту процедуру называют еще эхографией, так как аппарат работает на принципе эхо.
Каждый орган в теле человека обладает своей эхогенностью и однородностью (или разнородностью) структуры, опытный врач знает эти различия и понимает, есть ли патология.
Гипоэхогенное образование в матке («гипо» – пониженный, нижний) – это участок ткани с меньшей эхогенностью, чем остальные ткани матки.
В этом месте ультразвук движется медленнее, врач видит это на экране как затемнение. Чаще всего такой структурой обладают сосудистые образования, наполненные жидкостями, то есть таким образованием может быть киста или опухоль. Однако специалист УЗИ не напишет в бланке «киста», так как для более точной постановки диагноза необходимо дальнейшее обследование, такое как биопсия.
Если врач заметил на экране темное образование, которое он определяет, как гипоэхогенное образование, он должен подробно описать этот участок: его размеры, контуры. Все это поможет гинекологу определиться с диагнозом и назначить лечение. Стоит помнить, что гипоэхогенное образование – это не всегда приговор и страшный диагноз. УЗИ имеет свои погрешности и недостатки.
Качество изображения зависит от многих факторов, которые влияют на результат:
- Опыт специалиста. Человеческий фактор играет свою роль, врач тоже может ошибиться.
- Подготовка к обследованию. Перед процедурой вас предупредят о том, как нужно готовиться. Вероятнее всего медсестра попросит сходить в туалет и опорожнить мочевой пузырь, а также поинтересуется фазой цикла.
- Аппарат УЗИ. Бывают устаревшие аппараты, однако такое встретишь нечасто. Чем выше скорость звуковых волн, чем четче картинка.
- Особенности пациента. Должно учитываться все: наличие заболеваний, анатомические особенности, патологии, фаза цикла, наличие или отсутствие беременности и т.д.
Возможные причины возникновения образования
После того, как специалист УЗИ опишет образование, а гинеколог проведет все необходимые анализы, может быть поставлен диагноз и назначено лечение:
- Карцинома матки. Другое название этого заболевания – рак тела матки или рак эндометрия. Обычно женщина приходит к врачу с кровотечением, которое не проходит даже после окончания месячных, врач отправляет пациентку на УЗИ, где обнаруживается неоднородное образование с различными кистозными включениями и прочие патологии. Основной метод лечения – хирургический, если нет противопоказаний к оперативному вмешательству. Применяется также лучевая терапия. Прогноз зависит от того, на какой стадии обнаружилась болезнь.
- Карцинома шейки матки. Это злокачественная опухоль в области шейки матки, которая ближе всех расположена к влагалищу. Причиной развития рака является вирус папилломы человека, однако наличие ВПЧ в организме не означает, что женщина обязательно заболеет онкологией, есть и другие факторы риска, такие как беспорядочные половые связи, частые роды, курение, слабый иммунитет. Довольно часто подобные опухоли встречаются у беременных, поэтому каждая беременная женщина должна пройти тщательное обследование на ранних сроках.
- Кисты. Кистой называют доброкачественное образование, которое не приводит к возникновению рака и не влияет на репродуктивную функцию. С этим понятием сталкивается почти каждая женщина. Кисты могут развиться по самым разным причинам: гормональные нарушения, травмы при абортах и родах, заболевания половых органов. Удалению подлежат только крупные кисты. Для этого применяют пункцию, прижигание, лазерное удаление, радиоволны.
- Внутренний эндометриоз. Слизистая оболочка разрастается в мышечную ткань, что и вызывает патологию. Эта болезнь чаще встречается у женщин старше 35 лет. Она сопровождается кровянистыми выделениями, болями в животе и пояснице, бесплодием. Есть несколько стадий болезни, от одного или нескольких очагов поражения до полного срастания органов, прямой кишки, влагалища. Лечение может быть как медикаментозным, так и оперативным. При небольшом количестве очагов врач прописывает гормональные таблетки, которые также повышают шансы на беременность.
Гипоэхогенное образование во время беременности и после родов
Образование патологии при беременности
https://www.youtube.com/watch?v=XvLvr1N-2NA
Беременных женщин особенно беспокоят различные патологии, обнаруженные во время УЗИ. Это легко объяснить тем, что женщина беспокоится не только за себя, но и за ребенка.
Во время беременности может быть обнаружено гипоэхогенное образование в полости матки. Это может быть функциональная киста, которая не нанесет вреда, или же сгусток крови, который является угрозой для беременности.
Источником сгустка могут быть небольшие сосуды, поврежденные во время имплантации плодного яйца. Если гематома будет расти, она может спровоцировать выкидыш, поэтому рекомендуется регулярный УЗИ контроль.
В процессе обследования и наблюдения станет видно, насколько давно образовался сгусток, прогрессирует ли он, насколько он опасен по размерам и местоположению для плода.
Только врач-гинеколог может оценить опасность ситуации, какой вид кисты обнаружился и какое лечение будет наиболее продуктивным.
В случае опасности женщине предложат лечь на сохранение в больницу, где за ней будет постоянно наблюдать медперсонал и проводиться сохраняющая терапия. В некоторых случаях бывает необходимо прервать беременность.
Больше информации о ВПЧ и раке шейки матки можно узнать из видео.
Читайте: Опухоль средостения: симптомы и лечение патологии
Гипоэхогенные образования после родов (особенно, если женщина родила недавно) могут быть связаны с недостаточным сокращением матки. В этом случае матка имеет увеличенные размеры и плохо опорожняется.
Часто это сопряжено с воспалением. Врач может посоветовать кормить грудью, так как в процессе лактации вырабатывается окситоцин, вызывающий сокращения матки. При сильном воспалении могут быть назначены антибиотики и спазмолитики, чтобы избежать спазма шейки матки.
Источник: https://gb8-omsk.ru/diagnostika/giperehogennyj-endometrij-prichiny-lechenie-diagnostika.html
Эндометрий гиперэхогенный на УЗИ: причины формирования такой структуры

Чаще всего в гинекологической практике для обследования пациенток назначается ультразвуковое исследование. С помощью него оценивается женская репродуктивная система, а также внутренний маточный слой – эндометрий. Его эхогенность оценивается с помощью ультразвука. Это позволяет выявить многие заболевания на ранних стадиях.
Если разбираться, эндометрий гиперэхогенный что это значит, то это – слой повышенной плотности и низкой проницаемостью. Чем она выше, тем будет выше сопротивление ультразвуковым волнам, что в данном случае указывает на патологические процессы.
Признаки хронического эндометрита на УЗИ
Хронический эндометрит протекает вяло и на УЗИ выявляется только по совокупности признаков. Болезнь сопровождается изменением матки и эндометрия, которые и обследуются. Признаками хронического эндометрита на УЗИ становятся:
- уменьшение толщины слизистого слоя (сильное истончение), нормальные участки замещаются соединительными тканями;
- в эндометрии образуются полости вследствие жизнедеятельности микроорганизмов или кист;
- изменение положения матки, что становится причиной бесплодия или хронических болей;
- увеличиваются размеры матки (причиной может стать накопление в полости жидкости);
- увеличивается толщина эндометрия, если появляется гиперплазия;
- появление в матке спаек, которые на УЗИ видны как множественные включения с высокой эхогенностью.
Это основные признаки, как выглядит на УЗИ эндометрит. Причем диагностируется обычно только хроническая форма, так как визуализировать острую очень сложно – можно спутать со спаечным процессом и другими заболеваниями.
Источник: https://uzi.guru/mal-taz/womns/metr/f/endm/endometrij-giperehogennyj-chto-eto-znachit.html
Патология эндометрия: причины, диагностика, лечение :: SYL.ru

Неоднородный эндометрий – является первым сигналом того, что существуют какие-либо отклонения. Эндометрий – это ткань, которая выстилает поверхность матки женщины изнутри. Она хорошо оснащена кровеносными сосудами и занимает главное место в менструальном цикле.
Эндометрий в процессе месячных отслаивается и выходит вместе с кровью.
Неоднородность ткани может сигнализировать о том, что в организме женщины существуют воспалительные процессы или произошли гормональные изменения, также причиной неоднородности является долгое употребление антибиотиков.
Характеристика
В женской половой сфере эндометрий играет особую роль. Для успешной имплантации эмбриона и нормального развития зародыша внутренний слой детородного органа должен обладать достаточной зрелостью и соответствующей структурой.
Благодаря маточным изменениям, женский организм готовится к возможному оплодотворению. Неоднородная структура эндометрия и разная толщина внутреннего слоя в определенных фазах цикла создают комфортные условия для зачатия.
Слизистая оболочка очень чувствительна к гормональному фону. Именно эта особенность отражается на размерах эндометрия. Сразу после месячных ткань утолщается, что способствует успешному прикреплению яйцеклетки к ворсинкам внутреннего слоя матки.
Эмбрион получает необходимое для роста количество молекул кислорода и питательных элементов. Если беременность не наступает, функциональный слой ткани отторгается и выходит с кровью.
У женщины начинаются месячные, а оставшийся базальный слой восстанавливается к наступлению следующего менструального цикла.
Для физиологически нормального процесса характерно изменение толщины внутреннего слоя матки только в определенные фазы цикла. Если происходит сбой, а врач диагностирует несвоевременные структурные нарушения, возможны диффузные изменения слизистой.
Патологическое разрастание эпителиальных клеток и желез по всей маточной поверхности приводит к врастанию эндометрия в соседний мышечный слой (миометрий). Подобные состояния необходимо корректировать на начальной стадии, иначе у женщины могут возникнуть проблемы с зачатием.
Диффузные изменения миометрия — одна из наиболее частых гинекологических проблем, но это далеко не единственная причина нарушения структуры эндометрия. Прежде чем разобраться с аномальными состояниями, обозначим ситуации, когда можно не опасаться за свое здоровье.
Анатомические особенности эндометрия
Эндометрием называется слизистая оболочка матки. Ее основные функции – создание условий для прикрепления оплодотворенной яйцеклетки (бластоцисты), а также препятствование слипанию стенок матки и образованию внутриматочных спаек.
Структура эндометрия в норме однородная и состоит из нескольких слоев:
- Базальный слой. Расположен непосредственно на мышечной стенке матки. Толщина составляет примерно 1 см. Его структуры мало изменяются в различных фазах месячного цикла. Особенность строения – очень хорошо развитая сосудистая сеть. Функция базального эндометрия заключается в восстановлении поверхностного маточного эпителия после менструации.
- Функциональный слой. Представлен цилиндрическим мерцательным эпителием. Пролиферация его клеток гормонозависима и меняется в зависимости от фазы цикла. В ходе менструации функциональный слой полностью отторгается, а затем восстанавливается за счет деления клеток базальной пластинки.
Нормативные показатели
Атипичная структура слизистой матки может быть врожденной, но такие случаи выявляются редко. Нормальная неоднородность структуры эндометрия диагностируется:
- Эндометрий во время беременности. При вынашивании ребенка в организме женщины доминирует прогестерон, провоцирующий разрастание эндометрия. Уровень гормона повышается постепенно и к моменту родов достигает максимума.
- В климактерическом периоде. С возрастом и приближением менопаузы строение эндометрия меняется. Функциональный слой постепенно истончается, при наступлении климакса остается только базальный. Ткань имеет однородную структуру и в норме составляет 5–6 мм.
- Конкретные фазы менструального цикла. У здоровой женщины в первые дни месячных толщина слизистой составляет 5–8 мм. Примерно на 3-й день эндометрий преобразуется и приобретает хорошую эхогенность. В этот период размер поверхностной ткани варьируется от 3 до 5 мм. К концу менструации внутренний слой матки увеличивается, уплотняется и достигает толщины 7–9 мм. На 8-е сутки размеры слизистой составляют 8–10 мм.
Развитие эндометрия на протяжении цикла позволяет выявить наличие тяжелых нарушений в работе организма. Толщина должна меняться в пределах от 5 до 17 мм. Если изменения при УЗИ не выявляются, назначают лечение. В терапии нуждаются и женщины, у которых состояние слизистой матки не соответствует нормам конкретной фазы.
Преобразования, связанные с потерей однородности эндометрия при климаксе и беременности, не доставляют дискомфорта и не лечатся. Это нормальные состояния, но не стоит исключать врачебное наблюдения и профилактические мероприятия. В любой момент ситуация может измениться, а выявить нарушение кровоснабжения и другие отклонения возможно только при регулярных УЗИ.
Объяснение термина «гиперэхогенное образование в матке»
Слово «гиперэхогенный» означает, что в обследуемом органе или его полости есть участок с высокой плотностью. Место его расположения на картинке УЗИ окрашено светло-серыми/или белым цветом.
О причине появления гиперэхогенного включения судят с учетом его локализации, формы, границ, однородности, количества измененных участков. Единичные либо множественные образования могут находиться в полости органа, на шейке, цервикальном канале, в одном или 2―3 слоях маточной стенки, фаллопиевой трубе, яичнике.
Возможные причины появления гиперэхогенного включения в полости матки:
- внутриматочная спираль;
- эмбрион, плод;
- полип(ы);
- внутриполостные опухоли;
- гематометра (сгусток крови);
- карцинома матки или шейки;
- разрыв стенки.
В мышечном слое или эндометрии эхопозитивные образования указывают на миому, хронический очаг воспаления, рак, постоперационный рубец. Круглые серые ободки в толще маточной стенки относятся к признакам кисты.
Внешний вид гиперэхогенных образований отличается на изображениях УЗИ. Это связано с характером изменений в матке, присущим определенным болезням или непатологическим состояниям.
| Вид эхоплотности | Особенность проявления на УЗИ | Отличия изображения при проведении | |
| УЗИ с эластографией | УЗИ с доплером/ЦДК | ||
| Гиперэхогенное | Светло-серый/белый участок в маточной стенке либо полости. Позади плотной области может проявляться темная дорожка (акустическая тень). | Ткань средней жесткости выделяется желтым, зеленым, голубым цветом. Признаком злокачественного новообразования считается наличие синих, фиолетовых вкраплений. | Чаще всего измененные участки с этой эхоплотностью не пронизаны сосудами. |
| Гипоэхогенное | Участок с низкой плотностью. На УЗИ отображается темно-серым цветом. Редко отмечается затухание ультразвука. | Очаг выделен тусклым оттенком. | |
| Изоэхогенное | Орган с такой эхоплотностью означает здоровую ткань матки. На УЗИ отображается серым однородным цветом. | На УЗИ с эластографией маточные стенки и шейка выделены красным и/или оранжевым. | Кровоснабжение матки не нарушено. В мышечном слое нет признаков сосудов эндометрия. |
| Анэхогенное (синоним эхонегативное) | Ткань не проявляется под ультразвуком. На мониторе отображается черным. | Выделено темным. | Кровь внутри сосуда при доплерографии выделяется цветом. |
Гиперэхогенные образования отображаются с четкими и смазанными границами, ровными либо неправильными контурами. На внешний вид они проявляются в форме пятен, колец, линий. На черно-белом УЗИ определяется величина изменений от 2 мм до 5 см и больше.
Внутри гиперэхогенных пятен структура ткани бывает:
- гомогенной (участки с одним цветом без других оттенков);
- гетерогенной (очаги с множественными черно-белыми вкраплениями);
- анэхогенной (черное пятно, окольцованное серым или белым цветом).
Такие вкрапления могут проявиться в полости или стенке матки, внутри фаллопиевой трубы или яичника.
Правильное расположение матки в протоколе прописывается словами «без отклонений», «anteflexio» либо «anteversio». Размеры органа сравниваются с физиологической нормой для женщин беременных, нерожавших, после родов, в периоды менопаузы и климакса. Нормальная плотность матки на УЗИ – изоэхогенная. Ее полость отображается темным цветом.
На черно-белом изображении не видно мест пролегания сосудов и не просматриваются фаллопиевы трубы. После овуляции эндометрий становится гиперэхогенным, с ровной контурной линией.
Расположение ВМС в полости матки проявляется гиперэхогенным образованием в виде светло-серой ровной линии.
К осложнениям контрацептива относят ее смещение, нарушение менструального цикла. Внутриматочной спиралью возможно ранение стенки органа, воспаление эндометрия. В этих случаях поврежденная ткань становится гиперэхогенной, неоднородной.
У женщин репродуктивного возраста может воспаляться эндометрий. Очаги бывают единичными или множественными. Эти места имеют неоднородную плотность и окрашены в темные и светлые оттенки серого цвета. Вкрапления размером 2―6 мм, точечные, неправильной формы.
Полипы вырастают от стенки матки или цервикального канала внутрь просвета. По плотности они гиперэхогенные, поскольку их ткань содержит фибриновые волокна. Контуры отростков ровные, форма округлая либо продолговатая. На УЗИ с доплером видно в ножке полипа сосуд.
Скопление кровяных сгустков в полости органа выявляют после месячных, травмы матки, аборта. Гематометра бывает осложнением родов, лечебно-диагностических процедур либо операции. На УЗИ отражается светло-серым цветом. При изменении положения тела вкрапления смещаются.
У женщин с диабетом кровяные тромбы обнаруживают в сосудах миометрия. Они, и область вокруг них, имеют гиперэхогенную неоднородную структуру.
Гиперэхогенностью обладают доброкачественные новообразования. К ним относится липома и миома. Включения обнаруживают в мышечном слое или эндометрии. Их отличительные черты: четкие границы опухоли, ровный контур. В зоне расположения крупной миомы на маточной стенке появляется бугор.
Субмукозные миоматичные узлы имеют сниженную либо нормальную плотность. В этих образованиях часто образуются кальцинаты. На сером и темном фоне они видны белыми вкраплениями разной формы.
Кисты – это полости внутри ткани, заполненные жидкостью. Они имеют капсулу, по форме округлые, овальные, контурная линия ровная. На УЗИ киста отображена пятном черного цвета с серым, светлым или белым ободком.
Источник: https://PlastikaPlus.ru/zabolevaniya/neodnorodnyj-endometrij-chto-eto-znachit.html
Эхогенность органов и причины ее повышения

Ультразвуковой метод обследования широко используется в диагностике большинства соматических заболеваний.
Постоянный прогресс этой области медицины позволяет расширять диагностические возможности и повышать их значимость и достоверность. В протоколе УЗИ нередко можно встретить такую фразу, как повышенная эхогенность того или иного органа.
Причины этого заключения могут носить как функциональный, то есть обратимый, характер, так и свидетельствовать о серьезной патологии.
Эхогенность органа в УЗИ
Под эхогенностью понимают способность исследуемого органа отражать, испускаемые датчиком, ультразвуковые высокочастотные волны. В первую очередь она зависит от таких акустических свойств обследуемого объекта:
- звукопроводимость;
- поглотительная способность;
- отражение;
- преломление.
Обозначена прямая зависимость между морфологическим и ультразвуковым строением органа: чем больше в нем содержится жидкости, тем ниже будет эхогенность и, наоборот, чем меньше жидкости – тем выше эхогенность.
Различают такие виды эхогенности образования:
- изоэхогенная (характеризует однородную структуру, которая имеет одинаковую плотность с окружающими ее тканями и органами);
- гипоэхогенная (термин описывает объект, который обладает слабой отражающей способностью и имеет меньшую плотность, чем рядом расположенные структуры);
- анэхогенная или звукопрозрачная (в этом случае эхо-сигналы отсутствуют полностью; как правило, такое явление характерно для ультразвука, проходящего через жидкостную среду (желчный или мочевой пузырь));
- гиперэхогенная (термин описывает объект, имеющий высокую плотность, которая превышает таковую у рядом расположенных образований);
- дистальная «тень» (визуализируется в том случае, когда за гиперэхогенной структурой отсутствуют эхо-сигналы (например, при конкременте в желчном пузыре)).
Не всегда повышенную эхогенность стоит считать патологией, так как это скорее условный термин. Связано это с тем, что каждый орган имеет свою плотность и, следовательно, эхогенность. Грамотный специалист знает характеристики каждой структуры, что позволяет ему отдифференцировать норму от отклонений.
Эхогенность отдельных органов на УЗИ
Выполняя процедуру, врач ультразвуковой диагностики оценивает размеры органа, его контуры, однородность и обязательно степень эхогенности, которая может указать на наличие различных патологических процессов в исследуемом объекте.
Изменения структуры поджелудочной железы
В норме поджелудочная железа располагается в проекции эпигастральной области и имеет следующие эхо-признаки.
- Эхогенность паренхимы поджелудочной железы сопоставима с таковой у печени и обозначается как средняя. С возрастом железа претерпевает изменения, и паренхима становится более плотной.
- Обычно орган представлен «гантелевидной» или «колбасовидной» формой (ввиду того, что железа состоит из головки, тела и хвоста).
- Контуры четкие и ровные, хорошо отграничены от окружающих тканей и структур.
- Эхоструктура однородная и мелкозернистая (возможны и другие ее варианты: гомогенная или крупнозернистая).
- Вирсунгов проток имеет вид продолговатого анэхогенного тяжа, диаметр которого в норме колеблется от 1,6 до 2,6 мм.
Говорить о том, что эхогенность поджелудочной железы повышена можно в том случае, когда ее цвет на экране аппарата имеет более белый оттенок и находится в более ярких диапазонах, чем цвет ткани печени.
Распространенные причины гиперэхогенности перечислены ниже.
- Интерстициальный отек железистой ткани в результате острого реактивного панкреатита. Кроме изменения плотности наблюдается и увеличение органа в размерах.
- Повышенная эхогенность поджелудочной будет при панкреонекрозе. В этом случае на фоне неоднородных гиперэхогенных изменений визуализируются гипо- и анэхогенные участки, свидетельствующие о некрозе.
- Диффузный фиброз в результате хронического (аутоиммунного, алкогольного, инфекционного, лекарственного) панкреатита. В основе изменений лежит замещение нормальной ткани органа соединительной тканью.
- Значительно повышена эхогенность поджелудочной будет при липоматозе (жировая инфильтрация органа). Железа имеет размытые контуры и достаточно светлый или даже белый оттенок по сравнению с другими образованиями.
- Сахарный диабет, при котором более, чем 90 % ткани органа разрушено.
Диагноз врач гастроэнтеролог ставит не только на данных УЗИ, но и при субъективном обследовании, также показано УЗИ желудка.
Эхоструктура матки и ее изменения
В норме в матке происходят ежемесячные циклические изменения под влиянием гормонов гипофиза и яичников. В результате этого она имеет разные показатели на УЗИ, коррелирующие с фазой менструального цикла.
Орган представлен грушевидной формой, а у рожавших женщин имеет тенденцию к округлости. Нормальный миометрий характеризуется средней эхогенностью, которая сопоставима с таковой у здоровой печени и поджелудочной железы.
Эндометрий же претерпевает выраженные функциональные изменения.
- На 5-7-й день цикла он имеет более низкую эхогенность и гомогенную структуру. В центре матки визуализируется тонкая линия с гиперэхогенным сигналом, которая представляет собой стык заднего и переднего листков внутренней оболочки.
- К 8-10-му дню эхоструктура эндометрия практически не изменяется, отмечается лишь некоторое его утолщение.
- На 11-14-й день усиливается его плотность, что соответствует средней эхогенности.
- До 15-18-го дня плотность оболочки растет медленно.
- На 19-23-й день эндометрий можно охарактеризовать как гиперэхогенный, что делает центральную линию практически незаметной.
- К концу периода внутренняя выстилка матки имеет гиперэхогенную и неоднородную структуру.
Причинами повышенной эхогенности матки чаще всего выступают: воспаление, фибромиома, полипы, эндометриоз и злокачественный неопластический процесс. Эндометрий же становится гиперэхогенным в определенные дни цикла, а также в результате воспаления, появления в нем злокачественного новообразования или аденомиоза или при беременности (происходит гипертрофия функционального слоя и желез).
Изменения в яичниках
Этот парный орган располагается в полости малого таза и посредством фаллопиевых труб сообщается с маткой. Аналогично эндометрию в яичниках также происходит большое количество изменений, связанных с менструальным циклом.
В норме они имеют овоидную форму, бугристый контур за счет растущих фолликулов, гипоэхогенную структуру с анэхогенными округлыми включениями по периферии.
Эхогенность яичников зачастую повышается при диффузном склерозе (как при синдроме Штейна-Левенталя), длительном и вялотекущем воспалении, а также при их злокачественном перерождении.
Изменения строения молочных желез
Молочные железы женщины – это важный орган репродуктивной системы, которому необходимо уделять особое внимание. Ввиду роста злокачественных новообразований маммологи рекомендуют ежегодно выполнять скрининговое обследование молочных желез с помощью маммографии или УЗИ.
Такие железы также склонны к циклическим изменениям, а их нормальная эхоструктура зависит от возраста женщины.
- В репродуктивном периоде (с 18 до 35 лет) железистая ткань представлена гомогенным мелкозернистым образованием повышенной или средней эхогенности, в толще которой виднеются трубчатые анэхогенные структуры (млечные протоки).
- В позднем репродуктивном возрасте визуализируется достаточно толстый гипоэхогенный слой, представленный подкожно жировой клетчаткой. Вокруг нее располагается соединительная ткань, виднеющаяся на УЗИ в виде гиперэхогенного ободка.
- У женщин старше 55 лет вещество молочной железы заменяются преимущественно жировой тканью, что также находит свое отображение на экране УЗ-аппарата. Железе соответствует гипоэхогенный участок с редкими гиперэхогенными округлыми включениями.
Причины патологического повышения эхогенности молочных желез перечислены ниже.
- Мастопатии, возникающие в результате гормонального дисбаланса. В этом случае повышение эхогенности связано с разрастанием фиброзной ткани (как диффузно, так и в виде узелков).
- Фиброаденома – наиболее частая доброкачественная опухоль молочных желез, встречающаяся преимущественно у женщин репродуктивного возраста. Чаще всего это солитарное образование с большим содержанием соединительнотканных волокон, что делает его гиперэхогенным на эхографии. Хотя в литературе указано, что это новообразование может иметь различную эхогенность.
- Запущенные формы мастита – неспецифического воспаления ткани железистого органа. На поздних стадиях заболевания молочная железа имеет большое количество гиперэхогенных включений с аналогичной плотной капсулой.
Повышенная эхогенность почек
Эхоструктура здоровых почек неоднородная за счет наличия мозгового и коркового слоя. Контуры ровные и четко отграниченные от окружающих образований. В норме лоханки и чашечки практически не визуализируются. «Содержимое» мочеточников имеет пониженную эхогенность, а их стенки представлены светлым эхосигналом.
Причины усиления отражающей способности почек представлены ниже.
- Новообразования. Причем, неровность контуров указывает на злокачественный характер опухоли.
- Умеренно повышенная эхогенность почек свидетельствует о дисметаболической нефропатии (то есть о песке в почках).
- Конкременты определяются как гиперэхогенные участки разных размеров и форм.
- Треугольные гиперэхогенные зоны в паренхиме почки – признак кровоизлияния.
- Увеличение плотности органа (из-за отека) наблюдается при остром пиелонефрите.
Повышенная эхогенность печени
На нормальных эхограммах паренхима печени представляется однородной структурой средней эхогенности и считается эталоном для сравнения эхогенности поджелудочной железы и почек. Контур ее ровный и являет собою четкий линейный гиперэхогенный сигнал на всех срезах.
Эхогенность печени повышена при:
- хроническом гепатите различного генеза;
- наследственной болезни Гоше (в основе лежит дефицит лизосомного фермента);
- болезни Вильсона-Коновалова (происходит накопление меди в печени);
- врожденном и приобретенном фиброзе печени;
- циррозе;
- эхогенность печени также повышена при дефиците антитрипсина;
Структура желчного пузыря
Форма желчного пузыря достаточно вариабельна: от грушевидной до цилиндрической или эллипсоидной. Он имеет однородную анэхогенную структуру. Стенка здорового пузыря находится в пределах 1-3 мм.
Причины повешенной эхогенности:
- острый и хронический холецистит;
- застой желчи (особенно при гипомоторном типе дискинезии желчевыводящих путей);
- калькулезный холецистит (плотность эхокартинки обусловлена скоплением гиперэхогенных камней);
Изменения структуры селезенки
Располагаясь в верхнем левом квадранте живота, селезенка на эхограмме представлена серповидным образованием с четкими ровными контурами.
Паренхима ее имеет однородную структуру и эхогенность, которая незначительно выше таковой у печени и у коркового слоя почки.
Несмотря на то, что патология селезенки встречается достаточно редко, выделяют следующие причины усиления ее эхосигнала:
- «старый» инфаркт (кровоизлияние);
- кальцификаты (чаще всего они появляются при длительном приеме лекарственных средств по типу антиконвульсантов и т.д.).
Здесь также можно делать УЗИ на дому, если у вас есть такая возможность, и дополнительно сделать УЗИ селезенки.
Эхогенность паренхимы щитовидной железы
Во время ультразвукового обследования оценивают размеры, объем железы, а также ее структуру и локализацию. В норме контуры железы ровные, с деформацией в некоторых местах (в области расположения трахеи). Доли имеют мелкозернистую гипоэхогенную структуру. Перешеек характеризуется несколько большей плотностью. В режиме ЦДК можно увидеть срезы сосудов и отличить их от фолликулов.
Повышенная эхогенность щитовидной железы встречается при:
- хроническом аутоиммунном и подостром тиреоидите;
- узловом и диффузном зобе;
- ее злокачественном перерождении.
Изменение эхогенности при беременности
Во время выполнения скринингового УЗИ при беременности, врач также может обнаружить некоторые отклонения в плотности важных органов и структур.
Гиперэхогенность стенок кишечника плода нередко указывает на его ишемию в результате некротического энтероколита или муковисцидоза.
Повышение эхосигнала в плаценте может сигнализировать о таких серьезных проблемах, как отслойка или инфаркт оболочки, отложение в ней кальцификатов, что требует изменение тактики ведения беременности и предстоящих родов.
Также возможно увеличение УЗ-плотности амниотической жидкости, например, при попадании в нее мекония.
Усиление эхо-сигнала органа нередко указывает на наличие в нем патологии. Однако удостоверится в диагнозе можно лишь только после полного и тщательного обследования. Не стоит забывать, что УЗИ – это дополнительный метод диагностики соматических заболеваний.
(1 5,00 из 5) Загрузка…
Источник: https://UziKab.ru/pro-uzi/povyshennaya-ekhogennost.html