Пупочная киста: виды, диагностика, лечение и профилактика

Киста пуповины – это весьма редкое образование во время беременности. Подобный диагноз зачастую ставится исключительно после родоразрешения. Такие новообразования появляются зачастую именно в вартоновом студне.
При этом, эхографически подобные аномалии являются анэхогенными образованиями, которые находятся в структуре пуповины, при этом, не нанося вреда ходу кровеносных сосудов.
Такие патологии бывают как единичные, так и множественные и относятся к типу ЭГМ хромосомных дефектов.
Сразу стоит отметить, что такая киста на пуповине при беременности может быть нескольких видов: истинная и ложная.
Говоря о первых — это образования, которые выстланы эпителиальными клетками, в то время как вторые являются отеком желеобразного вещества.
Самые большие опасения у специалистов вызывают только патологии, имеющие крупный размер. Это обусловлено тем, что с ростом аномалий, они начинают сдавливать сосуды, чем нарушают кровообращение.
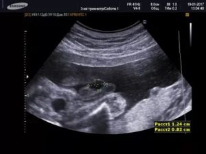
Стоит знать! Легче всего на УЗИ обнаружить образования, имеющие более крупные размеры.
В опасной форме киста пуповины встречается достаточно редко. Подтвердить окончательно ее наличие можно будет только после самих родов. При наличии образований крупных размеров, они могут стать причиной необходимости проведения досрочных родов, которые проводятся за счет операции кесарево сечения. Патологии, имеющие небольшие размеры, зачастую исчезают к концу второго триместра.
Виды
Всего же бывает несколько типов пупочных кист:
- Истинные кисты пуповины. Они появляются из оставшихся частей аллантоисного протока (в некоторых случаях из остатков желточного). Во время проведения ультразвукового исследования, они имеют анэхогенное содержимое. При этом истинные образования могут иметь размер от полсантиметра и в некоторых случаях достигают размеров в 10 см. Зачастую они развиваются в непосредственной близости от самого тела плода. Однако проведение дифференцированного УЗИ является возможным не всегда.
- Пупочно-брыжеечная киста. Такое кистозное образование представляет собой единичное образование в виде полости, которая является не только кистой пуповины развивающегося плода, но одновременно его мочевого пузыря. Зачастую, наличие сообщения аллантоиса и урахуса обрывается еще в период начала 2 триместра беременности. Однако при наличии нарушений физиологического процесса образуется единая полость, которая создает сообщение мочевого пузыря с урахусом и остатками аллантоиса. Это и будет являться кистой, внутри которой будет находиться моча плода.
Образования такого рода являются весьма редкими, за счет этого частота их появления составляет не более 2.5 случаев на 100 тысяч родов.
На сегодня было выявлено только порядка нескольких десятков случаев проведения перинатальной УЗИ пупочно-брыжеечной кисты.
Здесь также важно сказать, что зачастую при этом первоначально ставился ложный диагноз наличия омфалоцеле, за счет того, что они имеют очень похожие эхографические картины.
3. Ложные кисты пуповины образуются за счет локального разжижения вартонового студня, в то время как истинные появляются из остатков аллантоиса.
При этом в обоих случаях кист, их появление характерно именно в первом триместре беременности. Обнаруживаются они чаще всего за счет проведения трансвагинального сканирования.
К тому же, большинство из них имеет небольшие размеры и к концу триместра они исчезают.
Увеличить.
Причины
Развитие кисты пупочной во время беременности, происходит, также как и множество иных подобных заболеваний, пока по неизученным причинам.
Но самые распространение факторы, негативно влияющие на процесс развития пуповины – это наличие различных пороков в развитии плода, а также присутствие хромосомных аномалий. Их часто обнаруживают на первом скрининге.
Наличие данной патологии пуповины, при отсутствии отклонений у самого плода требует очень тщательной диагностики здоровья матери (кордоцентез), а также получение консультации генетика ([mask_link]https://lab-dnk.ru/tests-and-prices/ustanovlenie-o[/mask_link]).
Важно! Развивается киста пуповины также за счет наличия вредных привычек у взрослых, таких как алкоголь или курение.
Диагностика
Прежде всего, для поставки правильного диагноза необходимо проведение целого комплекса диагностики:
- Анализ акушерско-гинекологического анамнеза;
- Проведение УЗИ плаценты, а также плода, для определения локализации, аномалии и её параметров;
- Кардиотокография, во время которой будет проведена синхронная запись сердечных сокращений растущего плода, а также его активности и маточных сокращений. В том случае, когда более редкие сердечные сокращения плода не происходит синхронно с маточными сокращениями, то в этом случае возможно наличие сдавливания сосудов пуповины кистой. Данная ситуация очень опасно для жизни малыша;
- Допплерометрия, которая заключается в проведении исследования кровотока пуповины;
- Проведение исследования плаценты, а также самой пуповины уже после родов.
Лечение
Хорошего медикаментозного лечения, которым бы устранялась киста пуповины, нет. Госпитализация с последующим постоянным наблюдением врачей необходима в случае, если образование имеет средний размер, а также тенденцию к росту.
В определенных случаях, когда развития кистозного образования приводит к тому, что у плода наблюдается гипоксия, а также недостаточное кровоснабжение проводится немедленное оперативное родоразрешение.
Для этого применяется операция кесарево сечения.
Осложнения и последствия
В случае развития такого образования и его роста, это может привести к следующим осложнениям:
- Развитие острой гипоксии плода, а также перерастание её в хроническую форму (нехватка организмом ребенка кислорода);
- Фетальное кровотечение;
- Отставание внутриутробного развития плода, когда его размеры на конкретном сроке задерживаются в росте от положенного;
- Гибель плода внутри утробы.
Сохранение частей пуповины у ребенка, в виде:
- Дивертикула Меккеля. Он является слепым выростом кишки, который имеет одно входное отверстие, однако при этом не имеет выходного. При этом является остатком желточного протока;
- Кишечно-пупочного свища;
- Кисты желточного протока;
- Пузырно-пупочного свища;
- Кисты урахуса.
Профилактика
Прежде всего, профилактика появления кисты пуповины заключается в максимально полном исключении влияния различных вредных факторов на организм матери, не только с ранних сроков беременности, но и периода до этого:
- Планирование, а также подготовка к самой беременности;
- Рациональное, а также очень сбалансированное питание, с употреблением продуктов, насыщенных клетчаткой и отказом от жареной, острой и различной консервированной пищи;
- Своевременное посещение акушера-гинеколога;
- Необходимо вовремя начать посещение женской консультации, то есть не позднее 12 недели;
- Иметь полноценный сон;
- Полностью отказаться от курения, алкоголя и любых накротиков;
- Нужно исключить чрезмерные физические нагрузки, а также нервные ситуации;
- Принимать витамины и различные успокаивающие средства, в небольших дозах по назначению врача.
Источник: https://kistaplus.ru/beremennost/pupochnaya-kista.html
Кисты пуповины. Опухоли пуповины и пупочные грыжи

Формирование органа начинается со второй недели вынашивания, по мере увеличения плода увеличивается и пуповина.
Длина этого органа может достигать 60 сантиметров, диаметр 2 сантиметров. Поверхность покрыта особыми плодными оболочками. Трубка эта достаточно плотна, на ощупь походит на плотный шланг.
Так как основной функцией органа является снабжение плода питательными веществами и отведение продуктов обмена веществ, основа его – это кровеносные сосуды: 2 артерии и вена. Изначально формируется 2 вены, но в процессе развития плода одна из них закрывается.
Сосуды очень хорошо защищены от пережатия и разрыва. Они окутаны оболочкой из густого желеобразного вещества, именуемого вартоновым студнем. Это же вещество несет функцию передачи некоторых веществ из крови плода в околоплодную жидкость.
По вене к плоду поступает артериальная кровь, богатая питательными веществами и кислородом, по артериям уже отработанная венозная кровь отводится из организма плода в плаценту, которая осуществляет функцию очистки (печень плода пока еще не в состоянии справиться с этой работой).
Кроме вышеперечисленных элементов, в пуповине присутствуют:
- Желточный проток – по нему к эмбриону поступают питательные вещества из желточного мешка,
- Урахус – соединительный канал между плацентой и мочевым пузырем.
Киста
Это достаточно редко встречающаяся патология, причем определить кисту с точностью, обычно, возможно, только после появления ребенка на свет.
Образование это может быть в единичном экземпляре или их может быть несколько. Чаще всего образуются они в вартоновом студне.
При ультразвуковом обследовании кисты заметны. Они никак не влияют на кровообращение между плодом и плацентой.
В большинстве случаев кисты комбинируются с пороками формирования плода, поэтому при наличии кист рекомендуется пройти генетический анализ.
Кисты разделяются на ложные и истинные.
Ложные – без капсулы, находятся в ткани вартонова студня. Они достаточно малы и обнаруживаются во всех сегментах пуповины. Причины появления таких кист часто остаются неизвестными. Иногда же они появляются на месте гематомы или отёка.
Истинные кисты формируются из частичек желточного протока. Такие кисты имеют капсулу, могут быть достаточно крупными – до одного сантиметра в диаметре. Они формируются всегда возле тельца плода. Не всегда можно отличить ложную кисту от истинной.
Самой редкой разновидностью кист пуповины являются пупочно-брыжеечные кисты. Такие образования появляются, если нарушается формирование плода на ранних стадиях беременности. В таком случае между мочевым пузырем и урахусом (составляющая пуповины) образуется полость, в которой скапливается моча плода. В медицине описано всего десять подобных случаев.
Принято считать, что кисты сосудистых сплетений могут возникать под влиянием таких факторов, как:
- инфекционные заболевания матери на ранних сроках беременности;
- нарушение кровоснабжения плода.
Проблемы с кровоснабжением могут появляться из-за неправильного положения ребенка в утробе, патологий пуповины (отсутствие одной артерии, узлы, гематомы, обвитие) и плаценты (гипо- или гиперплазия, частичная отслойка, предлежание).
Предлагаем ознакомиться: Как правильно спринцеваться содой
Предполагается, что недостаточное кровоснабжение органов плода и, в частности, структур головного мозга может приводить к излишней выработке спинномозговой жидкости и, как следствие, ее скоплению – образованию кисты.
Однако есть и другое мнение, сторонники которого считают формирование кист сосудистых сплетений нормальным явлением, характерным для развития мозга. Иными словами, для их образования нет никаких причин, они не являются патологией.
Анализ крови из пуповины (кордоцентез)
Процедура проводится под контролем ультразвука. С помощью толстой иглы прокалывается пуповина в том месте, где она прикрепляется к плаценте и берется проба крови.
Чаще всего данный анализ назначают в тех случаях, когда ультразвуковое обследование на поздних сроках вынашивания выявляет нарушения развития. В таких случаях необходимо провести анализ кариотипа (
) плода. Результат с помощью особых методов анализа можно получить уже через двое – трое суток после забора крови.
Еще несколько лет назад кордоцентез (исследование пуповинной крови плода) использовали для определения гемофилии, талассемии, гемоглобинопатии, синдрома Дауна. Сегодня для этих целей используют анализ околоплодных вод, а также биопсию ворсинок хориона (БВХ).
Одним из первых этапов родов является отхождение околоплодных вод. Иногда течение воды захватывает пуповину, которая проникает в шейку матки или даже во влагалище. Именно такую ситуацию именуют выпадением.
Явление это опасно тем, что плод продвигается по шейке матки и может пережать пуповину, то есть перекрывается движение крови и кислорода в его организм.
Выпадение более характерно при ранних родах, при предлежании.
Обнаруживается выпадение, после того как выйдут воды. Роженица может почувствовать во влагалище «что-то постороннее». Если в этот момент женщина находится не в роддоме, ей следует стать на четвереньки, опереться на локти и срочно вызвать скорую помощь.
В некоторых случаях пуповину вводят на место. Иногда же назначают оперативное родоразрешение.
Диагностика и лечение
Зачем же вообще обращать внимание на кисты сосудистых сплетений и отмечать их в ходе УЗИ? Дело в том, что сами по себе такие кисты не опасны, но они являются так называемыми маркерами хромосомных аномалий (ХА) – признаками возможного наличия у плода генетических отклонений. К другим маркерам относятся:
- гиперэхогенный кишечник;
- увеличение желудочков головного мозга;
- неправильная форма головы;
- кистозная гигрома шеи;
- неиммунная водянка;
- расширение почечной лоханки;
- увеличение толщины воротникового пространства;
- аплазия или гипоплазия носовой кости;
- гиперэхогенный фокус в сердце;
- симметричная задержка развития.
Если выявляется один из перечисленных маркеров ХА, вероятность наличия у плода пороков развития составляет не более 8%. Сочетание нескольких признаков повышает ее до 53%. Когда обнаруживаются 8 маркеров, в 92% случаев рождается ребенок с тяжелыми генетическими отклонениями.
Кисты сосудистых сплетений выявляются чаще всего у детей с синдромом Эдвардса (30–80%), реже они сигнализируют о синдроме Дауна (8%) или Патау (2%). Однако обнаружение только лишь кисты сосудистого сплетения не позволяет поставить какой-либо определенный диагноз.
При выявлении кисты на сроке 18–20 недель медики занимают выжидательную позицию. Как правило к 24–28 неделе этот маркер исчезает сам по себе – на этот срок женщине назначают дополнительное УЗИ. Если имеются основания предполагать, что киста возникла из-за инфекции, которой переболела мать, женщине назначают анализы для проверки ее состояния.
Сочетание кисты с другими маркерами ХА является показанием к проведению дополнительных исследований. Беременную могут направить на экспертное УЗИ, аминоцентез, кордоцентез, порекомендовать ей пройти ДОТ-тест.
Возможные последствия
Для того чтобы по сосудам пуповины нормально проходила кровь, необходимо поддерживать определенный уровень
в вартоновом студне. Во время
в организме резко увеличивается количество
– гормона, провоцирующего родовую деятельность. Сосуды сжимаются и кровоток прекращается – начинается атрофия органа, протекающая на протяжении нескольких часов после появления ребенка на свет.
Уже через 15 минут после рождения малыша, кровообращение в пуповине останавливается (
). В этом процессе определенную роль играет и температура среды – при охлаждении сосуды также сжимаются.
В девяти случаях из десяти подобная киста самостоятельно рассасывается задолго до рождения ребенка. Обычно на третьем плановом УЗИ на 30–34 неделе ее не обнаруживают. Никакого влияния на физическое или умственное развитие новорожденного она не оказывает.
Если киста сохраняется и после рождения, младенец осматривается, в том числе с помощью ультразвука, в 3, 6 и 12 месяцев. Иногда, если КСС сочетается с другими неврологическими нарушениями, специалист назначает ребенку препараты для активизации мозгового кровообращения и нормализации выработки ликвора. Это поможет кисте рассосаться без последствий для малыша.
Меры профилактики
Поскольку доподлинно не известны причины образования КСС, а сама по себе такая киста не считается патологией, специфических мер профилактики не существует.
Женщине рекомендуется вести здоровый образ жизни, правильно и полноценно питаться, гулять на свежем воздухе, заниматься гимнастикой для беременных и делать дыхательные упражнения, принимать комплексные витаминные препараты по назначению врача.
Особое внимание стоит обратить на защиту от всевозможных инфекций. Не стоит посещать людные места, особенно в период сезонного подъема заболеваемости ОРВИ и гриппом. В интимной жизни есть смысл использовать презерватив.
У новорожденных
Остаток перерезанной пуповины довольно быстро засыхает и уже через несколько дней отпадает самостоятельно.
В месте его прикрепления остается маленькая ранка. За ней нужно ухаживать специально и тогда ранка заживет без проблем.
Обычно достаточно ежедневной обработки области пупка зеленкой,
, не мочить до тех пор, пока не отпадет остаток пуповины. Следует также давать «подышать» пупку во время смены
по минутке.
Но иногда заживление ранки осложняется. Требуется помощь врача:
- Если тельце вокруг ранки припухло и покраснело,
- Если из ранки вытекает зловонная, напоминающая гной жидкость.
Нормой является, если до полного заживления из ранки выделяется немного сукровицы.
Обвитие
- Периодические стрессы,
- Нехватка кислорода.
При первом случае в организм плода попадает повышенное количество
, заставляющего его активно двигаться.
Во втором же случае недостаток кислорода причиняет дискомфорт плоду, что также заставляет его больше двигаться, усиливая кровообращение и тем самым получать больше кислорода.
Ребенок может сам «запутаться» в пуповине, а через некоторое время распутаться. Поэтому данное состояние не всегда является опасным.
Обвитие можно обнаружить с помощью
с пятнадцатой недели вынашивания. Для того чтобы определить насколько сильно тельце малыша сдавливается, делается допплерометрия. В том случае, если существует вероятность кислородного голодания, обследование проводится не один раз.
Как предотвратить обвитие?
- Больше бывать на свежем воздухе, гулять, делать легкую гимнастику,
- Избегать стрессов,
- Делать специальную дыхательную гимнастику,
- Вовремя посещать консультации гинеколога и проходить все необходимые обследования.
Длинная или короткая
Нарушение длины пуповины – это наиболее часто встречающаяся аномалия органа. Норма – это 50 сантиметров, то есть приблизительно длина тела новорожденного малыша.
Чаще пуповина бывает слишком длинной – 70 и даже 80 сантиметров. При такой длине существует вероятность выпадения части пуповины во время излития вод (
). Также слишком длинная пуповина может способствовать обвитию вокруг шеи. Но нет доказательств того, что именно длина влияет на степень вероятности обвития. Если петли обвиваются не туго, то роды могут пройти нормально, и никакой опасности для жизни малыша нет.
Если длина пуповины меньше 40 сантиметров, а иногда даже до 10 сантиметров, говорят об укорочении. При такой короткой пуповине существует высокая вероятность неправильного положения плода. Короткая пуповина может создавать тугие петли на шейке малыша.
Ложный и истинный узлы
формируется на первых неделях вынашивания. В этот период плод еще совсем мал и его активное движение вызывает «запутывание» пуповины.
Опасность такой узел представляет во время родов, так как при прохождении плода по родовым путям узел может затянуться, плод начнет задыхаться. Если ребенок не появится на свет очень быстро, он может умереть. Такое случается в десяти процентах случаев.
Ложный узел – это увеличение диаметра пупочного каната.
Это неопасное состояние, которое никак не мешает нормальному развитию плода и родам.
Грыжа
Это достаточно редкое нарушение развития плода. При
какие-либо внутренние органы плода развиваются под оболочкой пуповины. Чаще такое случается с
. Обычно при ультразвуковом обследовании это нарушение обнаруживается. Однако иногда оно бывает очень незначительным. В таких случаях существует опасность травматизации органов во время перерезания пуповины. Поэтому перед перерезанием
должен очень тщательно изучить область пупка и часть пуповины, находящуюся в непосредственной близости к тельцу ребенка.
Очень часто подобное нарушение комбинируется с другими пороками развития. Лечится грыжа только хирургическим методом.
Источник: https://one-zdorov.ru/kista-pupoviny-ploda-prichiny/
Киста урахуса у детей и взрослых: причины, симптомы, диагностика, лечение

статьи: Киста урахуса — врожденная патология, при которой эмбриологический остаток — производное аллантоиса — не полностью преобразуется в срединную пупочную связку, облитерация происходит только в конечных его отделах с образованием ограниченной полости с жидкостью.
Заболеваемость по данным аутопсий составляет 1:5000, у мужчин патологию регистрируют в два раза чаще. Длительное время киста урахуса небольших размеров может не давать выраженных симптомов. Клинические проявления типичны при развитии осложнений: прогрессирующей инфекции, образовании свищевого хода, внутрибрюшинном разрыве, малигнизации.
Из-за высокой частоты рецидивов и риска перерождения в рак простое дренирование нагноившейся кисты не рекомендуется.
Аномалии развития урахуса
Типы аномалий урахуса: а — открытый урахус, b — синус, с — дивертикул мочевого пузыря, d — киста урахуса Урахус — эмбриологический остаток аллантоиса. На долю кист приходится треть от всех пороков мочевого протока.
Предназначение урахуса — отведение мочи плода в околоплодные воды в процессе внутриутробного развития. На 20-22 неделе беременности канал начинает облитерироваться и к моменту появления ребенка на свет в норме должен быть полностью закрыт. Почему этого не происходит, неизвестно.
В зависимости от локализации незаращения выделяют аномалии урахуса: • неполный пупочный свищ или синус, отсутствует облитерация части, близкой к пупку — 18%; • полностью открытый урахус или полный пузырно-пупочный свищ — 48%; • дивертикул мочевого пузыря — незаращение части протока, граничащей с мочевым пузырем — 3%; • киста урахуса — отсутствие облитерации в срединной части канала — 31%.
Симптомы кисты урахуса
Выделения из пупка, мокнутие, вторичный дерматит могут присутствовать при образовании свищевого хода при кисте урахуса Клиническая картина зависит от размеров образования, осложнений.
Инструментальная диагностика
Ультразвуковые изображения мочевого пузыря демонстрируют кистозную структуру вдоль его передней части.
Отсутствие обильного кровоснабжения при допплерографии позволяет предположить доброкачественный характер кисты Первоначально пациенту выполняют абдоминальное ультразвуковое исследование, включая осмотр мочевого пузыря, при котором можно заподозрить аномалию развития урахуса с образованием кисты.
У детей рецидивирующий или длительно протекающий омфалит — показание к ультразвуковому сканированию.
Компьютерные томограммы в осевой (а) и сагиттальной проекции (б) таза демонстрируют толстостенную, септированную кистозную полость с прикреплением к пупку вдоль передней стенки мочевого пузыря с окружающим воспалением Компьютерная томография может быть полезна для подтверждения или дальнейшего выяснения при получении неоднозначных результатов.
Лабораторная диагностика
Послеоперационная реабилитация
Доказано, что витамины и микроэлементы, полученные из пищи, усваиваются лучше В послеоперационном периоде для предупреждения инфицирования назначают антибиотики широкого спектра действия. Если данные посева отделяемого воспалившейся кисты требуют смены препарата, лечение корректируют.
После вмешательства рубец обрабатывают антисептическими растворами, ежедневно меняют повязку. В первые недели после операции не рекомендуется поднимать тяжести, усиленно заниматься спортом, посещать сауны, бассейны, купаться в открытых водоемах. Избегайте касаний области пупка немытыми руками.
При гигиенических процедурах лучше использовать антибактериальные моющие средства. Каких-либо ограничений по питанию после планового вмешательства нет, обогащение рациона витаминами и микроэлементами поможет ускорить выздоровление. Если нагноившаяся киста спровоцировала воспаление мочевого пузыря, дополнением к антибактериальной терапии важно соблюдать диету.
Важен усиленный питьевой режим: за сутки нужно употреблять не менее 1,5 литров жидкости. Мочегонными свойствами обладают отвары трав: брусничного листа, толокнянки, хвоща полевого, семян укропа и пр.
Готовые растительные препараты можно купить в аптеке, например, Канефрон, Уролесан — таблетированные формы и растворы; Фитонефрол, Бруснивер, Урологический сбор — готовые чаи в фильтр-пакетиках. Принимают их по согласованию с урологом натощак — за 30 минут до еды или через 1,5 часа после, 3 раза в день. Длительность курса фитотерапии индивидуальна.
Может ли киста урахуса переродиться в рак?
В литературе нет данных об озлокачествлении урахальных кист у детей. У 25% взрослых с аналогичной патологией диагностируют рак урахуса.
Около 30% злокачественных новообразований мочевого пузыря начинают развитие из остатков урахального эмбрионального протока. Специалисты считают, что чем дольше существует киста урахуса, тем выше риск малигнизации.
Поэтому, даже если отсутствуют клинические проявления, нужна операция.
По каким признакам можно заподозрить, что киста урахуса перерождается в рак?
Кальцификация (отложение солей кальция) новообразования, появление перегородок, неоднородность содержимого, ускорение роста, видимые на УЗИ, подозрительны на малигнизацию. Периодическая тотальная безболевая гематурия может свидетельствовать в пользу рака мочевого пузыря.
Нужно ли оперировать кисту урахуса у ребенка?
Экстренной необходимости в операции нет. Если закрытия мочевого протока не произойдет в течение первых лет жизни с любой патологией урахуса, обосновано плановое вмешательство.
Являются ли аномалии урахуса генетическими или наследственными?
Убедительных доказательств что данная аномалия развития является унаследованной, нет. Если существуют случаи повторов проблемы в пределах одной семьи, то это, скорее, совпадение.
После операции нужно ли наблюдаться у уролога?
Мужчинам старше 45 лет рекомендовано посещать уролога 1 раз в год с профилактической целью. После полного удаления остатков мочевого протока рецидива невозможен.
Прогноз и профилактика
Прогноз при своевременном решении проблемы благоприятный. При осложненной кисте урахуса определяется в каждом случае индивидуально.
Специфической профилактики нет, но женщина в период беременности должна ограничить себя от воздействия вредных факторов, отказаться от вредных привычек, избегать контактов с людьми, страдающими вирусными инфекциями.
При появлении выделений из пупка, даже серозного характера, следует незамедлительно обратиться к специалисту — урологу или хирургу.
Коронавирус: вероятность заражения во время секса, бесплодие и опасность инфицирования во время беременности — где правда?
Первоначально при контакте с патогеном происходит поражение бронхолегочного тракта, а при осложненном течении присоединяется пневмония, респираторный дистресс-синдром и другие нарушения
Подробно Киста урахуса у детей и взрослых: причины, симптомы, диагностика, лечение
Киста урахуса — врожденная патология, при которой эмбриологический остаток — производное аллантоиса — не полностью преобразуется в срединную пупочную связку, облитерация происходит
Подробно Андрофлор и Фемофлор тесты: что это, показания к прохождению
Некоторые венерические инфекции протекают с минимальными симптомами или вовсе не имеют клинических проявлений, что в дальнейшем может привести к бесплодию и сексуальной дисфункции,
Подробно Гепаторенальный синдром
Гепаторенальный синдром — представляющее угрозу для жизни осложнение у пациентов с терминальной стадией цирроза печени или печеночно-клеточной недостаточностью. В основе патологического
Подробно
Справочник
Клиники и врачи
- Клиники вашего города
- Врачи вашего города
Источник: https://genitalhealth.ru/529/Kista-urakhusa-u-detey-i-vzroslykh-prichiny--simptomy--diagnostika--lechenie/
Аномалии пуповины как осложнение беременности
Пуповина – это узкая трубка, которая соединяет развивающегося ребенка с плацентой. Она несет кровь от плаценты к ребенку и обратно, от ребенка – к плаценте. Она поставляет к ребенку питательные вещества и кислород, и удаляет отходы его жизнедеятельности.
Пуповина начинает формироваться с 5-ой недели после зачатия. Оно продолжает расти вплоть до 28-ой недели беременности, достигая средней длины от 56 до 71 см. Пуповина содержит три кровеносных сосуда – две артерии и одну вену.
Вена несет кислород и питательные вещества из плаценты (которая присоединена к кровоснабжению матери) к ребенку. Две транспортные артерий служат для выведения отходов жизнедеятельности ребенка к плаценте (откуда отходы попадают в кровь матери и утилизируются ее почками).
Вокруг артерий и вены располагается желатиновая ткань (желе Уортона), которая защищает эти кровеносные сосуды от повреждений.
Но, к сожалению, иногда беременность принимает неожиданный поворот, и аномалии пуповины могут привести к осложнению ее течения. Пуповина может быть слишком длинной, или слишком короткой. Она может неправильно присоединяться к плаценте, затянуться узлом или пережаться.
Любые проблемы с пуповиной могут привести не только к осложнениям беременности, но еще и могут стать причиной серьезных проблем во время родов.
В большинстве случаев такие аномалии диагностируются еще до родов, во время проведения очередного УЗИ, но иногда проблемы становятся видны уже после родов, когда врач осматривает послед (пуповину и плаценту).
Ниже приведены наиболее частые проблемы с пуповиной и их возможное влияние на мать и ребенка.
Недостаточное количество кровеносных сосудов
Около 1% одноплодных беременностей и около 5% многоплодных осложнены тем, что пуповина имеет только два кровеносных сосуда, вместо положенных трех. В этих случаях отсутствует одна пупочная артерия. Причина этой аномалии неизвестна.
Исследования показывают, что дети, соединенные с плацентой пуповиной с одной пупочной артерией, имеют повышенный риск врожденных дефектов, в том числе пороков сердца, дефектов центральной нервной системы и мочевыводящих путей, а также могут страдать от хромосомных нарушений.
Женщине, у которой во время УЗИ диагностирована одна пупочная артерия, могут быть предложены определенные тесты пренатальной диагностики для исключения врожденных дефектов. Эти тесты могут включать подробное УЗИ, амниоцентез (для проверки хромосомных аномалий), эхокардиографию (специальный вид УЗИ для оценки работы сердца плода).
Выпадение (пролапс) пуповины
Выпадение пуповины происходит, когда пуповина выскальзывает во влагалище после разрыва околоплодных оболочек (плодного пузыря) и излития амниотических вод, до того, как ребенок спускается в родовые пути. Это осложнение родов затрагивает приблизительно 1 из 300 новорожденных.
Ребенок может оказать давление на пуповину, когда будет проходить через родовые пути (шейку матки и влагалище).
Давление на пуповину уменьшает или полностью прекращает приток крови из плаценты к ребенку, уменьшая поступление к нему кислорода.
Пролапс пуповины может привести к мертворождению, если ребенок не будет быстро извлечен из материнской утробы. Как правило, в таких случаях врач решает провести экстренное кесарево сечение.
Если у женщины отошли воды, и она чувствует, как будто что-то находится в ее влагалище, она должна немедленно отправляться в больницу или вызвать неотложку. Врач может подтвердить или исключить выпадение пуповины, проведя женщине гинекологический осмотр.
Выпадения пуповины – это чрезвычайная ситуация. Давление на пуповину должно быть немедленно устранено, для чего ребенок должен быть приподнят над пуповиной, пока женщину будут готовить к экстренному кесареву сечению!
Риск пролапса пуповины увеличивается, если:
- ребенок находится в тазовом предлежании (особенно в ягодично-ножном);
- у женщины начались преждевременные роды;
- пуповина слишком длинная;
- у женщины слишком много амниотической жидкости (многоводие);
- врач проводит амниотомию (вскрывает околоплодный пузырь, для того чтобы начать роды или ускорить их);
- женщина решила естественным путем рожать близнецов (чаще всего страдает второй близнец).
Vasa Previa (предлежание сосудов пуповины или плаценты)
Vasa Previa – предлежание сосудов – происходит, когда один или несколько сосудов пуповины или плаценты располагаются в шейке матки под ребенком.
Кровеносные сосуды, незащищенные желе Уортона, иногда разрываются, чаще всего, когда раскрывается шейка матки или разрывается плодный пузырь. Это может привести к опасным для жизни ребенка кровотечениям.
Даже если кровеносные сосуды не разорвутся, ребенок может страдать от недостатка кислорода (гипоксии) из-за давления на кровеносные сосуды. Vasa Previa встречается в 1 случае на 2500 родов.
Когда Vasa Previa неожиданно диагностируется при родах, более половины пострадавших детей рождаются мертвыми. Однако, когда Vasa Previa диагностируется с помощью УЗИ на ранних сроках беременности, гибель плода может быть предотвращена путем кесарева сечения примерно на 35-ой неделе беременности.
Беременные женщины с Vasa Previa иногда страдают от безболезненных вагинальных кровотечений во втором или третьем триместре беременности. Беременная женщина, у которой появляются вагинальные кровотечения, всегда должна сообщать об этом своему врачу, чтобы он мог определить причину этих кровотечений и предпринять все необходимые шаги для защиты ребенка.
Беременные женщины могут подвергаться повышенному риску Vasa Previa, если у них:
- пуповина крепится не к плаценте, а к плодным оболочкам;
- предлежание плаценты (особенно, если перекрыта часть или вся шейка матки) или некоторые другие плацентарные аномалии;
- многоплодная беременность.
Обвитие пуповиной шеи плода
Около 25% детей рождаются с обвитием пуповиной (когда пуповина оборачивается вокруг шеи ребенка). Это состояние редко вызывает серьезные проблемы и такие дети, как правило, здоровы.
Иногда мониторинг плода во время родов показывает нарушение частоты сердечных сокращений у детей с обвитием шеи пуповиной. Это говорит о том, что на мозг ребенка оказывается определенное давление. Однако, такое давление редко бывает достаточно серьезным, чтобы привести к смерти или серьезным проблемам, хотя иногда может понадобиться кесарево сечение.
Реже пуповина оборачивается вокруг других частей тела ребенка, таких как руки или ноги. Как правило, это никаким образом не вредит ребенку.
Узлы в пуповине
Около 1% детей рождаются с одним или несколькими узлами в пуповине. Некоторые узлы образуются во время родов, когда ребенок, у которого обвита пуповиной шея, высвобождается из петли, продвигаясь по родовым путям.
Другие образуются во время беременности, когда ребенок двигается в материнской утробе. Узлы чаще всего возникают, когда пуповина слишком длинная, и при беременности с однояйцевыми близнецами.
Такие близнецы используют один амниотический мешок, поэтому их пуповины могут запутаться.
Пока узел остается свободным, он вообще не вредит ребенку. Однако, иногда узел может затянуться, перекрыв поступление к ребенку кислорода.
Затягивание узлов пуповины в 5% случаев приводят к выкидышу или мертворождению.
Если затягивание произойдет во время родов, это может привести к нарушениям сердечного ритма у ребенка, которое обнаруживается при мониторинге ЧСС плода. В некоторых случаях может быть необходимо кесарево сечение.
Киста пуповины
Кисты пуповины встречаются примерно в 3% беременностей. Существуют истинные и ложные кисты. Истинные кисты выстланы клетками и обычно содержат остатки ранних эмбриональных структур. Ложные кисты являются заполненными жидкостью мешочками, которые могут быть связаны с отеком желе Уортона.
Исследования показывают, что оба типа кист пуповины иногда связаны с врожденными дефектами, в том числе и с аномалиями почек и дефектами органов брюшной полости.
Если кисты, также как и любые другие аномалии пуповины, будут выявлены во время обычного УЗИ, врач может порекомендовать женщине пройти дополнительные исследования, такие как амниоцентез и подробное УЗИ, чтобы исключить у ребенка врожденные дефекты.
ПРОЙДИТЕ ТЕСТ (5 вопросов):
НАСКОЛЬКО ЗДОРОВЫ ТВОИ ВОЛОСЫ?
Источник: http://mamusiki.ru/anomalii-pupoviny/