Диагностика шизофрении

Диагностика – это ключевой этап лечения шизофрении. цель обследования больного – постановка диагноза и выявление причины заболевания.
Диагностика особенно важна при шизофрении, так как нарушения когнитивных процессов, бред и галлюцинации характерны не только для обострения шизофрении (психоза), но и для других расстройств – инфекционных, метаболических и других заболеваний.
Именно диагностика определяет правильность назначения лечения и, в конечном итоге, его эффективность.
На первоначальном этапе диагностики психиатр анализирует жалобы самого пациента или его близких. В ходе непосредственной беседы врач расспрашивает о симптомах заболевания. Это могут быть бред, галлюцинации, расстройства мышления, кататонические симптомы, эмоциональные нарушения и др.
Выясняются обстоятельства, при которых заболевание заявило о себе, предшествующие события: травмы головы, алкогольное или наркотическое опьянение, стресс. При сборе первичных данных очень большую помощь в диагностике могут оказать близкие пациента.
Они могут рассказать о изменениях в поведении человека, зачастую незаметных для самого заболевшего.
Врач-психиатр обязательно задаст вопрос о том, были ли в семье психические расстройства. Эта информация очень важна для прогнозирования течения заболевания. Для определения генетической предрасположенности к шизофрении в нашей частной психиатрической клинике проводят генетический тест.
Инфекционные заболевания центральной нервной системы
Психотическое состояние может быть следствием нейроинфекции – заболеваний, возбудители которых (бактерии, вирусы, грибки, простейшие) локализируются в центральной нервной системе человека и вызывают нарушения тех или иных её структур. Инфекции, которые чаще всего вызывают поражения отделов мозга:
- бактериальные: стрептококк, болезнь Лайма;
- вирусные: нейросифилис, цитомегаловирус, герпес, вирус Эпштейн-Барра;
- паразитарные: токсоплазмоз, некоторые виды амеб;
Нейроинфекции можно обнаружить методом анализа крови, в отдельных случаях назначается анализ спинномозговой жидкости.
Гормональные нарушения
Психоз могут вызывать гормональные нарушения: гипер- и гипотиреоз, нарушения функции надпочечников. С ним связывают и развитие постродового психоза, который иногда проявляется спутанностью сознания, бредом и галлюцинациями. Определить, что причина психоза состоит в гормональных нарушениях, можно по анализу уровня гормонов щитовидной железы и надпочечников.
Объемные внутричерепные образования
Возникновения объемных внутричерепных образований (опухолей, кист) может быть прямой причиной психоза, напоминающего обострение шизофрении. Для их исключения при диагностировании шизофрении проводятся компьютерная томография и МРТ.
Метаболические расстройства
Существуют случаи, когда состояния, напоминающие шизофрению, на самом деле были вызваны нарушениями обмена веществ.
Например, галлюцинации, бред, когнитивные расстройства и даже эйфория и кататония могут быть симптомами болезни Вильсона, при которой происходит аномальное накопление меди в тканях печени и головного мозга. В случае с этой болезнью распространенность психоза составляет от 2 до 11%.
Болезнь Вильсона – не единственное метаболическое расстройство, вызывающее психоз — сюда же можно отнести порфирии, развитие которых связанно с нарушением метаболизма гема.
Метаболические болезни диагностируются путем анализа уровня катехоламинов в моче; уровня арилсульфатазы А, церулоплазмина, меди.
Аутоиммунные заболевания
В этих случаях психоз наблюдается достаточно редко. Тем не менее, в тех или иных ситуациях он обусловлен именно аутоиммунными заболеваниями: рассеянным склерозом, системной красной волчанкой и анти-NMDA рецепторным энцефалитом. Их симптомы действительно очень схожи с шизофренией: волчаночные психозы часто могут вызывать бред преследования, а также слуховые и зрительные галлюцинациями.
Функции иммунной системы могут нарушаться при онкологии, в результате чего возникают паранеопластические аутоиммунные синдромы с бредом и галлюцинациями.
Для диагностирования аутоиммунных заболеваний проводится анализ крови на антитела.
Височная эпилепсия
Шизофрения имеет некоторые общие симптомы с височной эпилепсией: слуховые галлюцинации и нарушения мышления могут проявляться при обоих заболеваниях. Чтобы не принять одну болезнь за другую, проводится электроэнцефалография (ЭЭГ), которая позволяет выявить у больного наличие или отсутствие височной эпилепсии.
Генетические заболевания
Велокардиофациальный синдром (синдром Ди Джорджи) и хорея Гентингтона — это те генетические болезни, которые вызывают психозы, схожие с шизофреническими.
Однако они, как правило, сопровождаются и определенными аномалиями: например, при велокардиофациальном синдроме это специфичные черты лица (отведение нижней челюсти назад, малый размер носа и рта), а при хорее Гентингтона наблюдаются расстройства сердечно-сосудистой системы, нарушения координации и непроизвольные движения.
Распространенно заблуждение, что все наследственные заболевания дают о себе знать еще в раннем детстве и быстро распознаются.
Однако это не так: первые проявления хореи Гентингтона приходятся на возрастной период от 30 до 40 лет.
Именно поэтому генетический тест, применяемый для диагностики шизофрении, важен еще и потому, что позволяет выявить возможное наличие этих генетических заболеваний.
Деменции
Бред, встречаемый у пожилых людей, зачастую является признаком не шизофрении, а деменций (деменция с тельцами Леви, болезнь Паркинсона) или сосудистых нарушений. Для диагностирования этих заболеваний применяются различные методы: МРТ, ЭЭГ, компьютерная томография, вызванные потенциалы.
Другие причины психоза
Психоз, симптомы которого напоминают шизофрению, может быть результатом злоупотребления психоактивными веществами (например, фенциклидином, МДМА, ЛСД, каннабиноидами, алкоголем) или отравлением ртутью, свинцом или мышьяком.
Для того чтобы выявить это, делается подробный сбор анамнеза, проводятся тесты на содержание наркотических веществ в моче, определение концентрации в крови тяжелых металлов.
Помимо интоксикации, шизофреноподобные состояния могут возникнуть по причине черепно-мозговой травмы и сосудистых нарушений.
Биофизические методы диагностики
Помогают выявить физические повреждения мозга или сосудов, нарушения его функционирования, влияющие на поведение и восприятие пациента.
К этой группе методов относятся:
Электроэнцефалография (ЭЭГ)
Этот метод позволяет выявить эпилепсию и другие нарушения в функциональной активности головного мозга. Данный метод заключается в регистрации биоритмов мозга в различных его отделах.
ЭЭГ может показать присутствие опухоли, но не всегда, для этого лучше подходит МРТ.
Аналогично, ЭЭГ отражает сосудистые нарушения, но недостаточно специфично по сравнению со специализированными методами исследования – УЗДГ и допплеровским сканированием.
Метод вызванных потенциалов (ВП)
Позволяет регистрировать реакцию головного мозга на внешние раздражители и скорость обработки информации. Вызванные потенциалы делятся на зрительные, аудиторные, соматосенсорные и когнитивные. В диагностике шизофрении используются когнитивные вызванные потенциалы.
Важным является показатель P300, — это показатель, связанный с распознаванием заданного стимула определенными структурами мозга. Он представляет временной промежуток времени, через который мозг реагирует на стимул. Обычно он составляет около 300 мс.
Если этот показатель сильно отклоняется от нормы в сторону увеличения, можно говорить о замедленном реагировании, свойственном также для шизофрении.
Также при регистрации когнитивных вызванных потенциалов п у пациентов с психотическим состоянием, зачастую проявлются аномальные ответы на стимулы, игнорируемые здоровыми людьми.
Магнитно-резонансная томография (МРТ)
Путем анализа структур головного мозга, который проводится с помощью магнитно-резонансной томографии, можно обнаружить структурные аномалии, а также исключить из возможных причин психоза гематомы, опухоли, кисты, аномалии сосудов мозга, инсульт.
Кроме того, МРТ головного мозга демонстрирует уменьшение объема мозга и отдельных его структур, что характерно при шизофрении.
Ультразвуковая допплерография (УЗДГ)
Так называется исследование состояния сосудов мозга и шейного отдела с помощью ультразвука. Этот метод позволяет выявить сосудистые нарушения, препятствующие циркуляции крови в головном мозге и, соответственно, нарушающие его функционирование.
Все биофизические методы исследования, применяемые в нашей частной психиатрической клинике, являются абсолютно безопасными и безболезненными. Они не требуют специальной подготовки. При этом биофизические методы исследования предоставляют точные и достоверные данные о состоянии пациента.
Лабораторные методы
В эту группу входит проведение различных анализов. Они позволяют выявить наличие воспалительного процесса, гормональных нарушений, наркотической интоксикации, интоксикации тяжелыми металлами. Проводимые анализы также позволяют назначить подходящий пациенту препарат и правильно подобрать его дозировку.
В нашей клинике для диагностики шизофрении проводят:
- общий и биохимический анализ крови, общий анализ мочи;
- гормональные анализы;
- оценка иммунного статуса;
- вирусологическое и бактериологическое исследование;
- нейротест.
В отдельных случаях лечащий врач может порекомендовать и другие, более редкие обследования: анализ спинномозговой жидкости, анализ антител в крови и др.
Психологические методы
Пациентам, страдающим шизофренией, свойственны некоторые мыслительные и психологические особенности. К таким особенностям можно отнести, например, акцент на незначительных признаках предметов в ущерб значимым, двойственное отношение к одному и тому же событию. Обычно при шизофрении происходит снижение мыслительных способностей, внимания, функции запоминания информации.
Выявить эти изменения помогает патопсихологическое исследование, традиционно применяемое в России. Это своеобразный «экспресс-метод» для выявления нарушений памяти, мышлении, внимания и прочих психических функций.
Установить участки мозга, связанные с нарушениями психических функций, позволяет нейропсихологическое исследование.
Оно изучает такие процессы, как речь, движения, эмоциональные реакции, слуховое, зрительное и пространственное восприятие, письмо, счет, чтение, особенности восприятия собственного тела.
Тестирование длится 2–4 часа и, как и в случае с патопсихологическим исследованием, проводится клиническим психологом.
Генетические исследования
В случае подозрения на генетическое заболевание назначается анализ отдельных генов (например, проверяется наличие мутации в белке хантингтина, которая связана с болезнью Гентингтона) и полного набора хромосом (для обнаружения более крупных мутаций).
Существуют и другие, более полные исследования с «прочтением» ДНК – полноэкзомное и полногеномное секвенирование. Такое исследование проводится довольно редко и отличается относительной дороговизной.
Подводя итог, трудно не согласиться, что постановка диагноза шизофрении – сложный и комплексный процесс, для которого необходимо полное и качественное обследование.
Клиника «Психическое здоровье» может предоставить Вам и Вашим близким все условия для его комфортного проведения. Наши специалисты успешно занимаются диагностикой и лечением шизофрении уже более 10 лет.
Помните — чем раньше произойдет диагностика болезни, тем быстрее начнется её лечение.
| | Узнайте подробнее: Как лечат шизофрению в нашей клинике? |
Есть подозрения, что у близкого человека шизофрения? Позвоните нам
Источник: https://psyclinic-center.ru/articles/diagnostika-shizofrenii
Мрт головного мозга противопоказания, шизофрения, сотрясение

Самым важным органом человека является мозг. Благодаря его эффективной работе человек может разговаривать, двигаться, выполнять различные задачи и т. д.
Так как медицина и сопутствующие ей технологии не стоят на месте, появляются все новые методы обследования человека. К их числу относят МРТ, КТ и другие.
Их возможности настолько велики, что удается выявить патологии еще на ранних стадиях, и в итоге представляется возможность обезопасить человека от развития различных заболеваний.
Несмотря на множество положительных качеств такой диагностики, существуют и противопоказания, МРТ головного мозга при которых запрещено. Врач в обязательном порядке должен осмотреть пациента, получить результаты его анализов, а потом уже принимать решение — направлять ли больного на дальнейшее обследование.
Что такое МРТ
Когда человека отправляют на МРТ головы, ему предстоит прохождение магнитно-резонансной томографии, основная цель которой заключается в помощи при постановке диагноза, а также определении эффективности лечения путем неинвазивного исследования.
МРТ обладает рядом достоинств по сравнению с другими способами диагностики, например, рентгеном, УЗИ, КТ. Благодаря такому обследованию удается получить снимки, на которых можно детально рассмотреть части мозга.
При данном виде диагностики используются магнитные поля, высокочастотные импульсы, а также компьютерная система. Результатом такого исследования выступают изображения органов человека.
Это могут быть мягкие ткани, кости, а также другие внутренние части тела.
Такие снимки можно и распечатывать, и копировать, и передавать на электронном носителе, то есть результат такого обследования без проблем удастся восстановить в случае утери.
Современный метод МРТ является самым эффективным способом предотвращения развития заболеваний и назначения своевременного правильного лечения.
Основные показания к проведению данного метода диагностики — это наличие постоянных головных болей, шумов в ушах, обмороков, судорог, нарушение двигательных функций и чувствительности, а также затруднение речи.
Результаты такого обследования могут показать сосудистые патологии и другие отклонения от норм.
Магнитно-резонансная томография — это способ создания полноценного трехмерного изображения, которое удается получить во время обследования человека. Чтобы сделать такой снимок, смена места положения пациента не нужна. Человек просто будет ровно лежать.
Области применения МРТ головы
МРТ может проводиться в следующих случаях:
- обнаружены опухоли головного мозга;
- головной мозг имеет нарушения работы;
- имеются сосудистые аномалии головного мозга;
- обнаружено заболевание глаз или внутреннего уха;
- был перенесен инсульт;
- в случаях травмирования (МРТ при сотрясении мозга позволяет исключить или подтвердить диагноз доктора);
- имеются заболевания гипофиза;
- когда человек страдает хроническим заболеванием, связанным с нервной системой (одним из таких состояний является рассеянный склероз);
- частые головные боли, для выявления причин такого состояния обращаются за помощью к МРТ головного мозга;
- болезнь Альцгеймера.
Если пациент наблюдается у врача по поводу определенного заболевания, то такое обследование необходимо для обнаружения патологических изменений в тканях головного мозга.
МРТ при шизофрении является также очень эффективным. В результате множественных исследований выявлено, что благодаря такому обследованию удается отличить данное заболевание от патологий с похожей симптоматикой. Таким образом, можно установить точный диагноз, а также выявить изменения, которые предшествуют шизофрении.
Противопоказания к проведению МРТ
Прежде чем назначить такую диагностическую процедуру, проводится обследование пациента на наличие противопоказаний.
Основными преградами к проведению такого исследования являются: острая сердечная недостаточность, инсулиновый насос, протез сердечных клапанов, наличие в ушах неферромагнитных имплантантов, кровоостанавливающих клипс в сосудах мозга, кардиостимулятора. Если такие противопоказания игнорировать, то в итоге может быть летальный исход.
- Воздействие магнитных волн на кардиостимулятор может грозить нарушением его работы, а в итоге и остановкой перекачки крови, что приведет к смерти.
- Если перед проведением МРТ головного мозга противопоказания были выявлены, то от процедуры следует отказаться категорически, даже без исключений.
- Причинами не проводить МРТ считают и относительные противопоказания. Они не имеют силы абсолютного запрета, но все-таки нежелательны для проведения данного исследования. К ним можно отнести беременность, особенно это опасно для 1 и 2 триместра, хроническую сердечную недостаточность, клаустрофобию или приступы агрессии у пациента, судороги, панику, а также наличие на теле человека татуировок, в красках для которых были использованы частицы железа. В крайних случаях МРТ при таких противопоказания допускается, если польза от такого обследования будет значительно превышать ее возможный вред.
- Проведение обследования может повлечь за собой воздействие на инсулиновый насос, нервные стимуляторы. Результатом этого станет нарушение нормальной жизнедеятельности пациента, а впоследствии и выход из строя прибора.
- Очень важны противопоказания к проведению МРТ, связанные с боязнью замкнутого пространства. Так как пациент помещается в специальное оборудование на период от 10 минут, то у него может возникнуть чувство паники, страха. Совокупность таких ощущений поспособствует сердечной недостаточности, и в итоге может произойти сердечный приступ.
- МРТ при беременности, в целях безопасности, также делать не рекомендуется. На ранних сроках такое обследование может вызвать выкидыш или привести к его угрозе. Бывают и исключения, если есть в этом острая необходимость. По возможности стараются отложить эту процедуру на несколько недель, пока плод не окрепнет.
Когда проводится такого рода обследование при наличии татуировок, могут быть негативные последствия. Это имеет место, если рисунок нанесен красками, содержащими металлические соединения.
Частота и безопасность проведения МРТ
С целью диагностирования дефектов, отклонений, а также нарушений в мозговой области на помощь приходит МРТ. Оно является абсолютно безопасным для пациента и предоставляет достаточно важную информацию о состоянии головного мозга.
Так как для процедуры МРТ используются безвредные виды волн, то частота его проведения не играет большой роли. Такая процедура не несет угрозы даже для младенцев и может проводиться хоть каждую неделю.
Когда необходимо провести МРТ, можно воспользоваться дополнительными мерами безопасности. Одной из них выступает лекарственный сон. Он очень часто используется также при обследовании малышей, поскольку дети неспособны пролежать определенное время без движений.
Одним из самых эффективных методов диагностики сегодня выступает именно магнитно-резонансная томография, которая позволяет выявить заболевания на ранних сроках развития, последствия травмирования, особенности состояния при сотрясении головного мозга и т. д.
По завершении такого обследования пациент получает снимок. После расшифровки тот показывает реальную картину состояния проблемной области. При необходимости пациент получает направление к узкому специалисту.
Это может быть онколог при обнаружении опухолей, нейрохирург — при патологии сосудов мозга, невролог — в случае заболеваний и патологий внутричерепных нервов.
В результате этого удается своевременно назначить лечение и предотвратить дальнейшее развитие многих заболеваний.
Источник: https://mrtu.ru/golovnoj-mozg/mrt-golovnogo-mozga-protivopokazaniya.html
Мрт при шизофрении: что покажет, противопоказания к проведению — Негатив

Шизофрения — это психическое заболевание, связанные с распадом эмоциональных реакций и процессов мышления. К симптомам данного заболевания относят бред, галлюцинации, дезорганизованность мышления, как следствие социальная дисфункция.
Видно ли на МРТ шизофрению?
Причинами развития данной патологии по последним данным является два фактора один из которых предрасположенность:
- аномалии сосудистого русла головного мозга: передняя и задняя трифуркация внутренней сонной артерии, аномалия соединительной артерии головного мозга
- аномалии серого и белого вещества головного мозга. Чаще патология заключается в локальной атрофии (участка головного мозга).
- патология венозных синусов.
- патологическая активность в лобной и височной доли головного мозга.
Второй фактор важен безусловно, так сказать, пусковой фактор развития шизофрении, — это психическая травма без разницы в каком возрасте впервые произошла, но психической травме больше подвержен детский возраст.
МРТ, как метод, который чувствителен факторам развития шизофрении первой группы.
Аномалии сосудистого русла головного мозга отлично выявляет такая методика МРТ — ангиография. Аномалия сосудистого русла встречается у трети больных с шизофренией.
В следствие такой патологии, как трифуркация (утроение внутренней сонной артерии, а в норме удвоение) правой или левой внутренней сонной артерии, возникает ишемия определенного участка головного мозга, что является мощным предрасполагающим фактором.
Ниже приведены примеры нейровизуализации больных с шизофренией при помощи МРТ технологий.
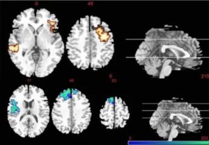
Пациент с шизофренией. Выполнена МРТ — ангиография у пациента выявлена трифуркация сосудов головного мозга. Одна из частых аномалий головного мозга, осложнением, которой является шизофрения.
На данном снимке фМРТ (функциональное МРТ) приведено сравнение активности мозга в норме и пациента с шизофренией, у которого также выявлена трифуркация артерии.
Мрт при шизофрении
Еще в 2001 группа исследователей из университета Калифорнии достоверно определили на основе доказательной медицины МРТ признаки у больных с шизофренией, используя только классические Т1 и Т2 последовательности.
К таким признакам относятся
- нарушения структуры белого вещества головного мозга. Патология чаще встречалась в височных долях у больных, у которых впервые выявлена шизофрения, и патологические очаги также выявлялись в лобных долях, но данная локализация чаще характерна для старых пациентов, которым выполняется повторное МРТ исследование.
- Объем желудочка головного мозга у пациентов с шизофренией больше.
Если второй признак шизофрении — это всего лишь достоверный признак, который просто врачу рентгенологу всегда нужно иметь в виду, то второй признак сподвиг ученых выдвинуть гипотезу о работе мозга при шизофрении.
После появления такого метода, как фМРТ (функциональная МРТ) данная гипотеза подтвердилась.
Действительно специалисты в диагностике при исследовании больного с ранней шизофренией (рисунок ниже) выявляет повышение сигнала в лобной доле, а с поздней в височной доле (рисунок ниже).
Пациент с поздней шизофренией волнообразное течение. Выполнена фМРТ по данным которой повышенная активность в височной доле.
Больной с ранней шизофренией
МРТ — повышение активности лобной и затылочной доли.
Мрт мозга при шизофрении
Многие психиатры не до конца понимают принцип метода МРТ, его возможности в особенности фМРТ и такой метод, как DTI, поэтому часто пренебрегают им. Последние два метода МРТ позволяют выявить изменения, которые происходят в клетках головного мозга на клеточном уровне.
Классические протоколы МРТ хороши для визуализации таких патологических изменений при шизофрении: как изменение вещества головного мозга, определение размеров желудочка, для исключения таких заболеваний, которые могут симулировать шизофрению.
У человека, к примеру, резко изменилось сознание и психика, психиатры клинически ставят шизофрению, а у пациента оказалась болезнь Альцгеймера, которая при МРТ исследование не составляло труда выявить. Еще один случай, исключивший диагноз, у человека были слуховые галлюцинации подозрение на шизофрению.
После выполненной МРТ выявлено шваннома звукопроводящего нерва, что является опухолью. Поэтому с точки зрения доказательной медицины дополнительная диагностика является необходимым аспектом правильного диагноза.
Мрт показывает шизофрению
То, что МРТ эффективно в диагностике шизофрении учеными доказано давно. Исследователи Эрлангенского университета Фридриха Александра (Германия) в 2008 доказали, что МРТ способен дифференцировать (различать) заболевания схожие по симптоматике с шизофренией. Исходя из этого исследования описаны также достоверные признаки шизофрении на МРТ:
- Сосудистые изменения — врожденная аномальность артерий, венозных синусов, анеризмы сосудов головного мозга. Вследствие перераспределения кровотока в головном мозге лучше кровоснабжаются другие, поэтому данный признак на МРТ является и одним из пусковых факторов в развитие шизофрении.
- Признаки гидроцефалии — расширение боковых желудочков, увеличение в размерах третьего желудочка, расширение субарахноидального пространства. Расширение рогов боковых желудочков
- Поражение белого вещества мозга. Чаще это атрофия белого вещества головного мозга.
- Хроническая ишемия мозга, которая часто возникает, как следствие сосудистых изменений в головном мозге.
- Аномалия мозга (аномалия развития). Аномалия локализована в стволе мозга, мозжечка, гипофиза, что приводит к функциональным нарушением данных частей мозга. Киста кармана Ратке, киста Верге.
Данная информация помогает врачу рентгенологу в работе, поэтому можно точно сказать на один из этих признаков радиолог обратит внимание и сделает правильные выводы о диагнозе.
Показывает ли МРТ шизофрению
При шизофрении возникает перераспределение кровотока в головном мозге, что не всегда заметно при сканировании в классических последовательностях МРТ.
Если использовать фМРТ (функциональное МРТ) диагностика патологических очагов в головном мозге становятся легче. Шизофрения не всегда сразу дает на МРТ изображение такие признаки, как атрофия, сосудистые аномалии и так далее.
фМРТ позволяет заподозрить шизофрению у нормального человека без патологической симптоматики в виде галлюцинаций и расстройства сознания. При шизофрении определенные участки мозга больше подвержены возбуждению.
Это доказано так, как аномальные участки мозга больше выделяют дофамина. Часть ученых предполагают, что это врожденная патология, которая со временем дает о себе знать после воздействия психической травмы.
Данный еще клинически здоровый молодой человек проходил обследование на МРТ
Обратился с головными болями. Многие отмечали, что он с изюменкой, но ничего плохого сказать о нем не могли. При классическом МРТ у данного пациента существенных изменений в головном мозге выявлено не было. При фМРТ патологическая активность в лобной доле -свидетельство ранней шизофрении.
Молодой человек не верил данному диагнозу спустя 8 лет обратился вновь, но уже с более грубой симптоматикой. На МРТ в классических протоколах были уже изменения в виде атрофии белого вещества головного мозга. Возможно данный пациент послужить плохим примером для пациентов, но ранняя лечение данному пациенту могло улучшить качество его жизни.
Шизофрения на мрт головного мозга
МРТ нужно выполнять пациентам не только с подозрением на шизофрению для ранней диагностики изменений, но и пациентам давно болеющих данным заболеванием для возможной коррекции лечения. Частый признак на МРТ у пациентов является атрофия вещества головного мозга.
Некоторые исследователи считают, что данный процесс не просто связан распространением патологии, но и с приемом лекарственных средств, поэтому лечащий психиатр также должен быть в этом заинтересован.
Атрофия мозга легко поддается визуализации так же, как и расширение желудочков мозга, поэтому для выполнения этого не требуются сложные протоколы МРТ, которые способны оценить взаимодействие нервных клеток (фМРТ или МРТ DTI).
Прогрессирующая атрофия головного мозга значительно ухудшает качество жизни пациента, поэтому МРТ контроль желателен каждые 6 месяцев.
У пациента психоз — шизофрения маниакальное течение. МРТ головного мозга. Выявлены арахноидальные кисты головного мозга.
Источник:
Мрт при шизофрении | центр мрт «ами»
Врачи-рентгенологи со стажем до 35 лет
Томограф Siemens 1,5 Тл экспертного класса
Расшифровка МРТ уже через 30 минут*
Работаем с 2008 года, более 55 000 исследований
МРТ – одно из первых исследований, которое лечащий врач назначает пациенту при подозрении на психическое расстройство. Долгое время специалисты ставили под сомнение значение МРТ в диагностике шизофрении.
Но исследования Эдинбургского университета показали, что метод магнитно-резонансной томографии нельзя недооценивать.
Дело в том, что он позволяет исключить органические причины психических заболеваний, поэтому после магнитно-резонансного обследования врач-психиатр может назначить пациенту дополнительное обследование и по его результатам диагностировать шизофрению или другое психическое расстройство.
«МРТ при психических расстройствах».
Причины шизофрении
Шизофрения может быть вызвана различными факторами. Например, в качестве причин ее развития рассматриваются:
- уменьшение объема головного мозга;
- патологии сосудистого русла головного мозга;
- изменения в сером и белом веществах ГМ;
- аномалии венозных синусов;
- поражения лобной и височной доли;
- наследственный фактор.
Кроме того, источником появления данного заболевания может служить ишемия. Как правило, она бывает вызвана аномалиями сосудов и трифуркацией правой или левой внутренней сонной артерии. Лечащий врач сможет определить данные патологии благодаря снимкам, полученным в результате магнитно-резонансного обследования.
Следует помнить, что в ряде случаев достоверно определить причину развития шизофрении невозможно, и не последнюю роль в этом играет наследственный фактор (предрасположенность к заболеванию), который может проявлять себя не в каждом поколении.
Показывает ли МРТ шизофрению?
МРТ показывает структурные изменения в головном мозге пациента, которые могут быть причиной психического расстройства, в данном случае шизофрении.
МРТ мозга, следовательно, является одним из наиболее информативных и точных методов диагностики возможных причин развития шизофрении. Но результатов обследования МРТ, как и любого другого метода диагностики, взятого в отдельности, не достаточно для постановки шизофрении.
Ее диагностика обязательно включает в себя сбор анамнеза, психологическое тестирование, ЭЭГ и ряд других различных исследований.
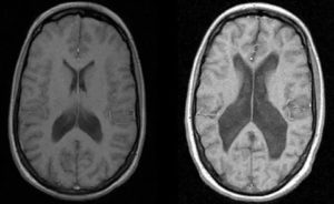
Шизофрения на МРТ
Слева — мозг здорового человека, справа — больного шизофренией (на снимке расширены боковые желудочки).
Фото в зеркальной комнате by 2photo.ru.
Одно МРТ-исследование — от визита до результата — занимает не более 1 часа
- Запишитесь на МРТбез очередей
- Приходите на прием в назначенное время
- Пройдите процедурубез стресса и боли
- Получите результаты МРТ в течение 30 минут
Источник: https://trepuzec.ru/fobii/mrt-pri-shizofrenii-chto-pokazhet-protivopokazaniya-k-provedeniyu.html
Томография МРТ при шизофрении. Показывает ли МРТ шизофрению?
Можно встретить множество научных статей относительно эффективности диагностирования шизофрении с помощью томографии. В некоторых уверяется, что МРТ практически бесполезно. Однако это не так.
Ученые Эдинбургского университета провели исследование, в результате которого было доказано опытным путем, что томография не только позволяет отличить шизофрению от патологий вызывающих схожую симптоматику, но и поставить точный диагноз, выявить патологические изменения, предшествующие заболеванию.
МРТ головного мозга при шизофрении показывает уменьшение объема мозга, аномалии сосудов и нарушения коркового слоя. Наиболее весом аргументом в точном определении диагноза являются существенные изменения, атрофия тканей. Этот симптом на снимке томографа заметен еще на стадии, когда заболевание не стало влиять на поведение пациента.
Признаки шизофрении на магнитно-резонансной томографии проявляются следующими симптомами:
- Дегенеративные изменения, атрофия тканей в областях мозга отвечающих за поведение и принятие решений.
- Уменьшение объема и веса мягких тканей, не связанное с приемом медикаментозных препаратов.
Томография головного мозга при шизофрении не является решающим анализом. Скорее МРТ позволяет определить наличие изменений и исключить смежные заболевания с общей клинической картиной.
Чтобы подтвердить диагноз понадобится: собрать анамнез, пройти психологические тесты, сдать лабораторные исследования.
Увидеть изменения на МРТ предшествующие шизофрении сможет только грамотный специалист, знакомый с последними достижениями в этой области. Поэтому проходить обследование следует только в крупных специализированных центрах.
Электроокулография
Достаточно информативен при шизофрении тест с антисаккадами, определяемый, исходя из появления горизонтальных саккад, при слежении за перемещением светового стимула от периферии к центру — в точку, симметричную мишени относительно центра зрительного поля.
Тест с антисаккадами можно регистрировать не только во время записи электроокулограммы (ЭОГ), но и с помощью инфракрасной окулометрии.
В норме глаза двигаются гладко и по синусоидальной орбите. При шизофрении, особенно у длительно страдающих этим психическим расстройством больных, и при некоторых хронически протекающих психозах — движения глаз прерываются частыми остановками, появляются «догоняющие саккады».
В процессе проведения исследования пациент должен следить глазами за световым раздражителем на маятнике, при этом маятник раскачивается сначала медленно, затем быстрее.
Переход от последовательных движений глаз к саккадическим — скачкообразным, опережающим у здоровых людей составляет от 0,5 до 0,7 Гц, у больных шизофренией более раннее, и более заметное появление саккад наблюдается даже во время ремиссии, что связывается с дефицитом внимания и нарушением процессов восприятия – невозможностью фиксировать слабо выраженные и кратковременные сигналы. Неспособность больных шизофренией плавно следить за движением маятника является следствием возникающих трудностей дифференцировки стимулов, в частности, значимых от латентных.
У больных шизофренией при выполнении этого теста регистрируется в 5-6 раз больше ошибок, чем у здоровых лиц.
| | Своевременная диагностика способствует эффективному лечению шизофрении |
Нарушение плавности, прерывистость следящих движений глаз — диагностически значимый признак шизофрении, отмечаемый почти в 80% случаев.
Согласно данным исследователей разных стран, в какой-то мере нарушение плавности движения глаз отличается у разных народов.
Вследствие вышесказанного в специальной литературе можно встретить большой разброс, касающийся диагностической значимости результатов этого теста (70-90%).
Данный тест также положителен у родственников больных шизофренией, что может свидетельствовать о его информативности в отношении генетических особенностей шизофрении (Киренская А.В., 2006).
Множественные остановки при движения глаз отмечаются у 45% родственников больных шизофренией первой степени родства, причем данный тест чаще положителен у монозиготных близнецов, чем у гетерозиготных, и в норме регистрируется лишь у 10% людей (Mather J., 1985).
Эксперименты на животных, у которых повреждались отдельные участки коры фронтальной доли мозга, показали, что дисфункция фронтального кортекса приводит к нарушению процессов специфического торможения, исходящего из фронтально локализованных полей зрения на субкортикальные центры, ответственные за движения глаз.
Эта гипотеза была подтверждена и несколько модифицирована с помощью метода функциональной магнитно-резонансной томографии.
Оказалось, что во время торможенния саккады, когда пациентов просили прекратить слежение за световым стимулом, находящимся на периферии, субкортикальный центр стриатума не усиливал свою активность, как это наблюдалось в норме.
Исходя из данных, полученных в результате такого эксперимента, можно полагать, что при шизофрении имеет место первичная дисфункция стриатума, которая локально нарушает фронто-стриарный поток информации. Иными словами, нарушается процесс переключения нейронных связей в области стриатума.
Отчасти такая гипотеза, подтверждается данными психофармакологических и нейрохимических исследований шизофрении, свидетельствующими, что блокада D2-рецепторов в области стриатума существенно улучшает состояние больных шизофренией. Кроме того, изучение показателей уровня метаболических процессов в области стриатума при шизофрении, говорит о снижении процента обмена веществ в этой зоне.
Скорее всего, при шизофрении мы имеем дело с поражением не только стриатума, но и других областей головного мозга. Патологический процесс можно представить как обширное сетевое расстройство, проявляющее себя в виде нарушений функций переключения между фронтальной областью мозга, стриатумом и таламусом.
Согласно этой гипотезе, «запрещающий сигнал» оказывается невозможным из-за повреждения нейрональных связей между фронтальной долей мозга и таламусом.
Нельзя не отметить, что подобные изменения в ряде случаев наблюдаются и при других психических расстройствах, что несомненно сказывается на границах шизофрении, даже на уровне ее патогенеза.
Гамма-ритм
В последнее время электрофизиологи полагают, что большинство психических процессов связано с наиболее высокочастотным ритмом ЭЭГ — гамма-ритмом (30 — 40 Гц и выше).
Считается, что высокочастотный гамма-ритм, выявляющийся с помощью нейрофизиологических исследований и возникающий синхронно в различных областях мозга при определенном уровне функционирования систем нейромедиаторных лежит в основе когнитивных процессов.
Гамма — ритм является отражением образования и развития взаимосвязанных нейронных ансамблей, играющих важную роль в когнитивных процессах.
При шизофрении локализация максимума гамма-активности заметно отличается от нормы. Уже при первых эпизодах психоза при выполнении когнитивного теста больные шизофренией демонстрируют избыток спектральной мощности гамма-ритма только в префронтальных областях, которая на более отдаленных этапах болезни сменяется его недостаточностью, редукцией мощности во всем правом полушарии.
Функциональные межполушарные взаимосвязи у больных шизофренией ослаблены как в фоновом состоянии, так и при выполнении когнитивных тестов.
Представляют интерес работы, посвященные межполушарной асимметрии и доминированию активности какой-либо из гемисфер мозга.
Магнитноэнцефалографические исследования, направленные на анализ активности левого и правого полушарий мозга с помощью акустически вызванных нейромагнитных полей, показали изменения диполей в области верхнего отдела височной извилины.
Более выраженные отклонения касались не локальных изменений, а ориентации диполей. У мужчин, страдающих шизофренией, отчетливые изменения в ориентации диполей отмечались в левом полушарии, у женщин — в правом.
Результаты подобных исследований свидетельствуют о половых различиях активности полушарий мозга у больных шизофренией (Sauer H. et al., 1998).
Источник: https://bolezn.info/psihologiya-i-psihiatriya/tomografiya-mrt-pri-shizofrenii-pokazyvaet-li-mrt-shizofreniyu.html
Проведение МРТ головного мозга при шизофрении – МЕДСИ

МРТ (магнитно-резонансная томография) – это исследование, которое проводится при помощи специального аппарата – томографа. Его действие основано на явлении резонанса.
При таком методе ткани мозга человека передают различные сигналы, которые фиксируются на томограмме. Благодаря этому удается получить наиболее точное изображение мозга с разных ракурсов, что позволяет поставить диагноз более точно.
Чтобы правильно расшифровать данные томограммы, врач должен обладать высокой квалификацией.
МРТ мозга назначается при подозрении на психические заболевания. Это необходимо, чтобы при постановке диагноза органические причины возникновения подобных отклонений были исключены. После проведения МРТ пациенту могут быть назначены дополнительные анализы и тесты. В совокупности это позволяет точно диагностировать шизофрению или другую болезнь.
Признаки шизофрении
Шизофрения – это психическое расстройство, сопровождающееся распадом эмоциональных реакций и процессов мышления человека. У больного появляются навязчивые идеи, резко меняется отношение к жизни и окружающим. Недомогание может как прогрессировать с каждым новым приступом, так и протекать непрерывно.
Это заболевание может практически не проявляться. Первоначально можно определить потенциальное развитие шизофрении при следующих симптомах:
- Мания (человек считает, что его подслушивают, за ним следят и т.д.)
- Галлюцинации (звуковые – «голоса в голове», тактильные и прочие)
- Резкое охлаждение интереса к любимому делу, хобби
- Внезапное изменение отношения к другим людям или явлениям
- Появившееся равнодушие к жизни, родственникам
- Нарастание замкнутости, недоверия и апатии
При появлении таких признаков (особенно в совокупности) стоит обратиться к квалифицированному врачу-психиатру.
Можно ли различить заболевание на томограмме
МРТ мозга при психических заболеваниях является одним из наиболее точных методов. Он позволяет врачу обнаружить и увидеть те изменения, которые могут быть причиной появления такого расстройства, в том числе шизофрении. Помимо него для уточнения используются и другие способы и анализы, в том числе различные тестирования.
Причины развития шизофрении
Ряд нарушений в голове пациента может указывать на наличие этого заболевания. Обследование на томографе позволяет определить такие причины ее появления, как:
- Изменения в веществах мозга (сером и белом)
- Уменьшение его объема
- Поражение височной и/или лобной долей
- Патологии сосудов
- Аномалии венозных синусов
- Ишемия
- Наследственность (в последнем случае определить причину заболевания особенно сложно)
Все эти изменения в мозге пациента врач видит на томограмме, потому что результат МРТ мозга шизофреника отличается от результатов анализа здорового человека.
Анализ позволяет не только определить наличие заболевания, но и помогает скорректировать курс лечения для больных, у которых такой диагноз уже установлен.
Мрт при шизофрении: за и против
До 2008 г. медики считали, что томограмма не может помочь при установке диагноза «шизофрения». В указанном году специалисты германского Эрлангенского университета Фридриха Александра доказали, что такой анализ помогает подтвердить или опровергнуть этот диагноз, в том числе на ранней стадии.
Плюсы МРТ при диагностике шизофрении:
- Томограмма показывает заболевание на ранней стадии, когда еще нет изменений в поведении больного. Это позволяет начать лечение раньше. В таком случае болезнь не отразится на жизни пациента.
- МРТ позволяет отличить шизофрению от других похожих по симптомам психических расстройств. Поэтому лечение будет корректным и действенным.
- Это один из наиболее точных методов определения шизофрении.
Минусы:
- Одного этого исследования при диагностировании этого заболевания недостаточно, так как фиксируемые этим анализом изменения в мозге подходят и для ряда других проблем (болезнь Альцгеймера, опухоль). Поэтому необходимо провести другие исследования и тесты.
- При проведении такого анализа пациент должен лежать неподвижно, что не всегда возможно для больного психическим расстройством или испытывающего сильную боль человека. Такая проблема решается введением наркоза.
- Некоторым категориям больных это исследование проводить нельзя.
Кому противопоказано МРТ мозга?
Анализ нельзя проводить, если у пациента есть:
- Металлические протезы
- Дефибриллятор
- Кардиостимулятор
- Зажимы при аневризме аорты
Больной должен предупредить врача обо всех имеющихся имплантатах.
Нестрогие противопоказания
- Зубные протезы, скобы и штифты
- Неметаллические имплантаты
- Искусственный сердечный клапан
- Стимуляторы для нервной системы
Другие особенности МРТ
Для проведения такого анализа пациенту с подозрением на шизофрению или другое психическое расстройство может потребоваться наркоз, потому что такие больные часто ведут себя беспокойно
- Для более точной диагностики используют контрастное вещество. В этом случае больного дополнительно проверяют на аллергические реакции
- При беременности МРТ применяют с осторожностью. Если пациентка беременна, ей необходимо сообщить об этом врачу
Пациенты, которые собираются пройти обследование МРТ мозга при шизофрении в МЕДСИ, получают:
- Быструю запись на консультацию по телефону 8 (495) 152-55-46
- Врачи-психиатры первой и высшей квалификационной категории, кандидаты медицинских наук
- Квалифицированные детские психиатры
- Томографы, которые подходят пациентам с клаустрофобией – открытые и закрытые, от надежных производителей (Siemens)
- Уважительное отношение
- Срочное обследование
Источник: https://medsi.ru/articles/mrt-mozga-pri-shizofrenii/
Что показывает МРТ головного мозга при шизофрении?
Однозначного мнения об эффективности диагностики с применением аппарата МРТ при шизофрении в медицинском сообществе нет. Однако недоверие к методике может объясняться только тем, что этиология самой патологии, возможные изменения тканей и состояние головного мозга (далее — ГМ) на разных стадиях развития заболевания изучены недостаточно.
Диагностика шизофрении
Крупные клиники, специализирующиеся на обследованиях мозга и определении патологических очагов в сосудах или строении и структуре ГМ, могут помочь психиатру в правильной постановке диагноза даже на ранней стадии развития болезни.
Но для того чтобы поставить диагноз, врачу-психиатру нужно время, и только потом можно подтвердить, что у пациента шизофрения, на МРТ головного мозга. На обследование человека может уйти от полугода до года. В это время врач выявляет симптомы болезни и их динамику, беседует с больным и его родственниками. В комплекс обследований практически всегда включают:
- тесты на наркотики, вирусы;
- нейротесты;
- психологические тесты;
- дуплексное сканирование сосудов мозга;
- электроэнцефалографию и другие способы.
По результатам всестороннего анализа у пациента могут быть обнаружены признаки заболевания. Для постановки диагноза достаточно одного явно выраженного или нескольких нечетких галлюцинаторно-параноидных симптомов. К таковым относят:
- жалобы пациента на то, что кто-то извне «вкладывает» ему в голову или «ворует» мысли или заставляет производить какие-либо действия;
- слуховые галлюцинации (человека обсуждают, или звук исходит от частей тела), при этом привычную речь окружающих человек воспринимает извращенно (со своим смыслом);
- бредовые идеи, возникающие регулярно, но непонятные окружающим из-за нерациональности;
- прерывистая речь и использование несуществующих слов;
- возбужденное состояние, переходящее внезапно в ступор.
Магнитно-резонансная томография в период обследования проводится несколько раз. Сначала такая инструментальная диагностика необходима для исключения других патологий или аномалий мозга и сосудов, в т.ч. опухолей, гематом, болезней Паркинсона и Альцгеймера. Затем МРТ-сканирование помогает отследить патологические очаги и функциональную активность разных отделов ГМ.
Порядок проведения МРТ-диагностики
Применение магнитно-резонансной томографии мозга стало обязательной частью обследования больных с психическими расстройствами.
Особенности МРТ-визуализации помогают в режиме текущего времени дифференцировать заболевания и анатомические нарушения, влияющие на состояние мозга и психики человека.
И при выявлении патологических очагов резонансную томографию у больного шизофренией проводят неоднократно, с перерывами в несколько месяцев.
Если больной подвержен агрессии или страдает клаустрофобией, то диагностику проводят с применением аппарата открытого типа. Для обследования в томографах закрытого типа такие склонности являются противопоказанием. Для получения точных результатов пациент на кушетке должен лежать неподвижно, поэтому на время процедуры применяют фиксирующие ремни.
Сканирование не проводят людям, имеющим протезы и кардиостимуляторы, металлические брекеты, имплантаты, татуировки с железосодержащими красками. Противопоказано проводить томографическое обследование людям, имеющим вес более 130 кг, а также в первые 3 месяца вынашивания плода и при декомпенсированной сердечной недостаточности.
Источник: https://eustress.ru/shizofreniya/mrt-pri-shizofrenii