Нервные причины неприятного вкуса во рту (горечи, привкуса железа или кислоты)
В клинике невротических состояний часто встречаются жалобы пациентов на неприятный вкус во рту, в том числе ощущение привкуса железа, горечь, кислоту. Причиной подобного дискомфорта является то скверное психическое состояние, в котором человек находится. Причем довольно часто даже не замечая этого.
Часть пациентов, имеющих телесные появления беспокойства, тревоги, нервного возбуждения, осознают, что они волнуются. И волнуются хронически. Другие же либо вообще не замечают своего нервного состояния.
Либо замечают, но называют его ВСД – вегетососудистой дистонией. Или уверяют, что тревожатся они о своем пошатнувшимся здоровье. Говорят, что, если бы не какое-либо телесное недомогание, например, противный привкус, они бы были спокойны и оптимистичны.
Обычно это не так.
Симптомы
Неприятный вкус во рту, возникающий на «нервной почве», может иметь разные проявления. Это может быть:
- просто противный вкус, иногда описываемый как ужасный;
- привкус железа или крови;
- горечь;
- вкус аммиака.
При этом ни горечь, ни любой другой противный привкус:
- никак не связаны с употребляемыми продуктами;
- присутствуют длительное время, иногда постоянно;
- не исчезают после чистки зубов.
Неприятные ощущения во рту могут дополнять собой другие телесные проявления тревоги, например, сердцебиение или тошноту, а могут приходить в одиночестве.
Иногда может быть заметна связь между возникновением неприятного вкуса, привкуса железа или горечи со стрессовыми ситуациями. А иногда все эти симптомы могут возникать как будто на пустом месте.
Их интенсивность может меняться от часа к часу, день от дня, месяц от месяца. А может быть постоянной. Иногда симптомы могут полностью уходить и не появляться годами. А затем вновь возвращаться, ухудшая качество жизни.
Причины
Причины психогенной горечи во рту, а также любого другого неприятного вкуса, в том числе и привкуса металла, железа, могут быть следующие.
- Сокращение выработки слюны. При волнении, тревоге, особенно хронических, которые часто даже не замечаются человеком, активизируется работа симпатической нервной системы. И это приводит к сокращению выработки слюны. Данная реакция — нормальный физиологический ответ организма на беспокойство, но он может вызывать некоторые приятные симптомы, в том числе и горечь, и противный вкус во рту.
- Изменение вкусовых ощущений. Установлено, что нервное возбуждении изменяет работу вкусовых рецепторов. Вкус не только ощущается более ярко, но и может быть извращен. Это приводит к тому, что человек начинает ощущать во рту те привкусы, которые в спокойном состоянии почувствовать просто не смог бы.
- Дыхание ртом. Волнение приводит к интенсификации дыхания. Человек начинает дышать ртом. В результате язык пересыхает и начинает ощущать непонятный вкус.
- Кровоточивость десен. Сокращение выработки слюны и пересыхание рта не лучшим образом сказываются на состоянии десен, которые часто начинают кровоточить, становясь причиной привкуса железа во рту. При этом трещины на дёснах могут быть настолько маленькими, что их не замечают стоматологи. Но замечает сам невротик, так как его усиленная работа вкусовых рецепторов даёт возможность почувствовать тот металлический вкус крови, который человек в спокойном состоянии не ощутил бы.
- Кислотный рефлекс. Невротические пациенты часто страдают от кислотного рефлюкса, который может проявлять себя неприятный вкусом, обычно кислым привкусом после еды.
- Дискинезия желчновыводящих путей. Еще одно функциональное нарушение работы пищеварительной системы, которое может стать причиной дискомфорта в ротовой полости, в основном ощущения горечи.
- Навязчивость. Это, по сути, основная причина возникновения данного недомогания на нервной почве, как и всех прочих телесных симптомов тревоги, ВСД. Чем больше мнительный человек думает о том, что у него во рту неприятный вкус, и что он может быть симптомом какого-то тяжелого недуга, тем острее он его ощущает. Наиболее сильно пугает привкус металла, который, по мнению невротического пациента, указывает на внутреннее кровотечение.
А если это не нервное?
Причин у неприятного вкуса во рту, привкуса кислоты или железа, может быть множество. Это могут быть проблемы с зубами, заболевания пищеварительной системы, воспалительные процессы в области горла, патологии почек и т.д. Поэтому, безусловно, необходимо пройти медицинское обследование.
https://www.youtube.com/watch?v=jle6zBLGe8s
что многие функциональные расстройства пищеварения, например, такие как эзофагальная рефлюксная болезнь, синдром раздраженного кишечника, дискинезия желчновыводящих путей, в своей основе все равно невротические.
А потому даже если подобные диагнозы поставлены, лечить надо «нервы», а не ЖКТ.
Как избавиться?
Первое и главное условие облегчения своего состоянияПосле прохождения обследования, которое не выявило никаких серьёзных заболеваний, для того чтобы избавиться от противного привкуса, о нем надо перестать думать.
В качестве мер быстрой помощи можно посоветовать попить водички или воспользоваться жевательной резинкой. Если имеет место кислотный рефлюкс жвачка не должна быть мятной, так как мята усиливает изжогу.
Конечно, такие меры нельзя назвать лечением.
Однако если причины неприятного привкуса во рту лежат в области психики человека, а не его тела, никакого соматического лечения быть не может в принципе. Необходимо проводить терапию самого невротического расстройства, а не его отдельного симптома.
Сколько бы вы ни боролись с горечью во рту или нервной диарей, пользы не будет до тех пор, пока вы не поменяете свой образ мыслей.
Источник: https://nevrozanet.ru/trevoga-i-fobii/simptomyi/fizicheskie/protivnyiy-vkus/
Химический привкус во рту: причины у женщин, у мужчин, лечение

Способность различать вкусы пищи позволяет человеку наслаждаться любимыми блюдами и формировать вкусовые впечатления. Работа рецепторов, отвечающих за «анатомию вкуса» на самом деле представляет механизм слаженного взаимодействия пищеварительной, нервной и обонятельной систем.
Во время жевания или глотания мы ощущаем запах пищи, а вкусовые клетки, расположенные на языке, посылают импульс нервной системе. В свою очередь, мозг распознает вкус пищи, выделяя и запоминая наиболее предпочтительные ощущения.
Химический привкус во рту — признак неполадок в этой цепочке.
Типы нарушений вкусовых ощущений
Часто человек сталкивается с гипогевзией или агевзией – нарушением работы вкусовых рецепторов.
Такое отклонение может иметь кратковременный характер – в случае незначительного травмирования ротовой полости (пища или жидкость оказалась слишком горячей или холодной).
Но иногда нарушение вкуса сигнализирует о наличии серьезного заболевания или сбоя в работе организма. Тогда гипогевзия приобретает долговременный, затяжной характер и требует пристального внимания и лечения.
Медики выделяют несколько типов нарушений вкусовых ощущений:
- невозможность распознавать основные вкусы – общая или базовая агевзия;
- проблемы восприятия некоторых вкусов – избирательная агевзия;
- отсутствие вкусовой реакции на определенные компоненты – специфическая агевзия;
- невозможность распознавать все вкусовые впечатления – общая гипогевзия;
- неправильное восприятие или путаница во вкусовых ощущениях, замена всех вкусов одним – дисгевзия.
В основном потеря вкусовых ощущений сопровождается потерей обоняния – «симптом заложенности носа». За исключением случаев, когда потеря вкуса и обоняния является сигналом о наличии более тяжелого заболевания, угрозы для жизни она не представляет. Но качество социумной жизни заметно ухудшается. Подобные нарушения приводят к снижению аппетита, апатии и последующей депрессии.
Вкус «химии» на языке
Всего существует пять основных вкусов, распознаваемых нашим организмом – сладкий, кислый, горький, соленый и острый. Если происходит сбой вкусовой структуры, во рту человека будет держаться вкус, несвойственный принимаемой пище. Нередко такое нарушение вкусовых ощущений сопровождается стойким химическим привкусом.
Формирования химического вкуса происходит в результате нарушения синтеза жировых и углеводных клеток. Растворенные в слюне токсичные вещества, возникающие при обменных процессах, проникают в дыхательные пути и создают неприятные ощущения химического привкуса.
https://www.youtube.com/watch?v=TczW3zwCEYQ
Самым типичным и распространенным для «химической» дисгевзии является запах ацетона. Иногда такое нарушение связано с погрешностями питания, но чаще всего оно сигнализирует о наличии хронического заболевания. Усиление нехарактерного привкуса говорит об обострении болезни.
Кроме запаха ацетона, могут присутствовать другие химические привкусы – бензина, каучука, спирта. Запах сероводорода или тухлого яйца говорит о наличии заболеваний ЖКТ (желудочно-кишечного тракта), связанных с появлением в организме хеликобактерий. Точный диагноз можно поставить, проведя зондирование или сдав имунноферментный анализ на Helicobacter pylori (хеликобактер пилори).
На заметку! Любой нехарактерный вкус или запах в ротовой полости служит поводом для обращения к врачу. Первичный осмотр проводит терапевт, после заключения и диагностики он направляет больного к узкому специалисту.
Причины возникновения симптома, не связанные с болезнями
Не всегда нарушение вкусовых рецепторов связано с наличием заболеваний. Во многих случаях химический привкус во рту исчезает после устранения причины его возникновения. Обстоятельства, при которых нарушения во вкусе не требуют длительного лечения:
- Частой причиной патологии вкусовой системы становится нехватка цинка. Его недостаток вызывает сбой и в работе органов обоняния, неприятные ароматы вызывают положительные эмоции. К дополнительной симптоматике относится увеличение выпадения волос и ломкость ногтевых пластин
- Еще одной причиной гипогевзии может стать дефицит В12. Этот витамин отвечает за нормальную работу органов дыхания и ЖКТ. К проявлениям нехватки В12 относится резкое снижение веса, отсутствие аппетита, начальная стадия анорексии, одышка.
- Бесконтрольный прием или побочное действие некоторых лекарств. Прием некоторых препаратов сопряжен с изменением в работе органов обоняния и вкуса. Большая группа антибиотиков (тетрациклин, пенициллин, эритромицин), гистаминные препараты (лоратадин, зиртек), препараты для улучшения сердечной деятельности и снижающие давление в процессе приема могут повлиять на вкусовые ощущения. Побочным действием многих препаратов является химический привкус во рту, поэтому необходимо ознакомиться с инструкцией и возможными последствиями применения.
- Ортопротезы из некачественного материала также могут служить причиной нарушения вкуса.
- В редких случаях пластические операции в области ушей, носа или губ из-за индивидуальных особенностей становятся поводом для вкусовых отклонений.
- Никотиновая кислота и смолы, содержащиеся в табаке, атрофируют вкусовые рецепторы.
- Диета, основанная на употреблении протеинов (безуглеводная) приводит к повышенной нагрузке на печень и почки, что приводит к появлению аммиачного или ацетонового привкуса во рту после еды. В процессе этой диеты рекомендуется употреблять большое количество воды.
- Неправильное питание или голодание является стрессовой ситуацией для организма. В случае появления специфического запаха химии или привкуса во рту необходимо прекратить «разгрузочные» дни и вернуться к сбалансированному режиму питания.
Обратите внимание! Если вкусовые нарушения относятся к малышу, не спешите ставить диагноз «гипогевзия». Возможно, ему просто не нравится вкус определенной пищи или у вас растет маленький гурман.
Заболевания, сопровождающиеся химическим привкусом во рту
Вопрос почему химический привкус во рту не исчезает на протяжении длительного времени особенно актуален, если патология сопровождается дополнительными симптомами. В этом случае необходимо обратиться к врачу для исключения серьезных заболеваний. Вкус химии может являться проявлением:
- Поражения печени. Аммиачный или ацетоновый вкус появляется при нарушениях в работе печени. Это обусловлено внешними факторами (алкоголь, неправильное питание, инфекции) или внутренними (онкологические или аутоиммунные процессы). Кроме появления нехарактерного вкуса, о болезни печени свидетельствуют расстройство пищеварительной системы, пожелтение кожных покровов и белков глаз, суставная боль и чувство тяжести в правом боку.
- Заболевания мочеполовой системы и почек. Появление вкуса ацетона до утреннего приема пищи сигнализирует о неправильном выведении из организма продуктов его жизнедеятельности. Это может служить симптомом таких серьезных болезней как почечная недостаточность, гломерулонефрит, уретриты, воспалительно-инфекционные заболевания. Сопровождает вкусовую патологию появление постоянной отечности, болевой синдром в области пояснично-крестцового отдела, скачки артериального давления.
- Болезней желудочно-кишечного тракта. Запах или привкус химии может быть признаком гастрита, язвенной болезни желудка, колита или дисбактериоза.
- Гормональных нарушений. Сбой в гормональной системе часто сопровождается химическим привкусом или нарушением работы вкусовых рецепторов. Появление этого признака может говорить о наличии проблем в деятельности щитовидной железы (токсический зоб).
- Лор-заболеваний или стоматологических проблем. Инфекционные заболевания органов ротоносоглотки и последующее их лечение часто сопровождается характерным химическим привкусом во рту. То же относится к патологиям зубов и десен (стоматит, пародонтоз).
- Сахарного диабета. Аммиачный или химический вкус во рту является признаком ухудшения состояния и возможностью начала гипогликемической комы. Сопутствующими симптомами станут излишняя потливость, постоянная жажда, частые позывы к мочеиспусканию и сильная утомляемость.
На заметку! При появлении этих симптомов необходимо незамедлительно обратиться за медицинской помощью. Возможно проведение интенсивного лечения в реанимационном отделении и повышенные дозы инсулина.
Особенности симптома
Особенностью химического привкуса во рту является ярко выраженный оттенок, сопровождающие симптомы в виде головокружений, тошноты, постоянной жажды.
При появлении некоторые из этих признаков в совокупности люди, страдающие тяжелыми хроническими заболеваниями должны незамедлительно обратиться к врачу.
Нарушение вкусовых рецепторов вместе с появлением аммиачного запаха при мочеиспускании может быть признаком алкогольного отравления.
Курильщики «со стажем» также довольно часто сталкиваются с появлением во рту химического привкуса. Особенно это касается любителей трубочного табака.
У женщин
Причины появления химического привкуса во рту у женщин и у мужчин практически одинаковы. Однако, в силу физиологических особенностей, у представительниц слабого пола появление этого симптома может означать:
- гормональный дисбаланс у женщин в преддверии менопаузы;
- скачки и сбои гормональной системы во время беременности;
- женские инфекционно-воспалительные заболевания мочеполовой и репродуктивной систем.
У мужчин
Нарушение работы вкусовых рецепторов у мужчин может быть связано с индивидуальными и физиологическими особенностями организма. Причины появления химического привкуса во рту у мужчин могут быть связаны с:
- злоупотреблением алкогольными напитками;
- никотиновой зависимостью;
- заболеваниями предстательной железы;
- сбоями в гормональной системе или работе гипофиза;
- отравлением химическими веществами или парами тяжелых металлов;
- расстройством нервной системы из-за стрессовой ситуации.
Методы устранения
Для лечения патологии вкусовой системы необходимо прежде всего правильно диагностировать причину ее возникновения. После выявления причины нарушения, врач назначает комплексное профильное лечение в случае наличия связанных заболеваний или изменение системы питания и образа жизни, если таковые отсутствуют.
К методам лечения или устранения дефектов вкусовых рецепторов относят медикаментозную терапию, коррекцию диеты и распорядка дня и лечение народными средствами.
Медикаментозная терапия
После скрининга и сдачи анализов назначается лечение в соответствии с поставленным диагнозом. Помимо профильного лечения, в составе комплексной терапии для устранения химического привкуса во рту может быть назначено применение следующих лекарственных средств:
- Препараты, использующиеся для подавления патогенной микрофлоры и увлажнения ротовой полости («Гипосаликс»).
- Инъекции витаминов (В12) и введение препаратов цинка.
- Физиотерапевтическое лечение на основе щелочных минеральных вод (Боржоми, Лужанская).
На заметку! Необходимо помнить, что все препараты применяются индивидуально и только по назначению врача после проведенной диагностики.
Коррекция диеты и образа жизни
Одна из самых распространенных причин появление химического привкуса во рту – неправильное питание. К диетам, провоцирующим нарушение работы вкусовых рецепторов, относятся белковая, французская, кремлевская, протасовская диеты. Все они основаны на безуглеводном питании, которое приводит к дисбалансу обмена веществ.
Правильно скорректировать режим питания поможет переход на рацион, состоящий из продуктов с повышенным содержанием клетчатки. Кроме этого, в период выхода из безуглеводной диеты рекомендовано обильное питье.
В самом начале лечения исключается жирная, острая, жареная пища. Под запретом мясные продукты, сдоба и выпечка, цельное молоко. Меню состоит из легких каш на воде, печеных фруктов, сухарей и травяных отваров. Спустя неделю можно добавить кисломолочные продукты, а затем постепенно переходить на привычную пищу.
Во время обострения болезни необходимо корректировать не только питание, но и образ жизни. В распорядок дня желательно ввести спортивные тренировки, начиная с минимальных нагрузок.
До полной ремиссии болезни подлежат исключению алкогольные напитки и табачные изделия.
В качестве тренировки работы рецепторного аппарата можно постепенно увеличивать и разнообразить количество потребляемых натуральных специй, пряностей и приправ.
Народные методы лечения
Для избавления от неприятного химического привкуса можно прибегнуть к народным средствам. Довольно эффективным считается орошение ротовой полости настойками трав:
- Спиртовая настойка зверобоя. В стакане воды разводится 25-30 капель настоя и 2 раза в день полощут рот.
- Настойка из листьев земляники. Сушеные листья (300грамм) заливают кипятком (2 стакана) и принимают внутрь равными долями в течение суток.
- Настой гамамелиса. Пять ложек сушеных цветов заливают двумя стаканами кипятка. После заваривания настой фильтруется и используется для ополаскивания ротовой полости.
Используются в лечении гомеопатические средства (Nux vomica, Sulphur), хорошо убирает неприятный запах клюквенный или брусничный морс. Для ликвидации химического привкуса можно прополоскать рот любым растительным маслом или пожевать зерна кофе.
На заметку! Потеря или патология вкусовых ощущений считается заболеванием, подлежащим диагностированию и последующему лечению, независимо от характера и типа нарушения.
Первичными необходимыми анализами считаются анализы на сахар и мочевину, общий анализ крови и мочи.
Часто при проведении общего скрининга уже на начальном этапе выявляются проблемы, позволяющие определить, к какому узкопрофильному врачу необходимо обратиться.
Если анализы не выявили отклонения, а нарушение вкусовых рецепторов продолжается, необходима углубленная диагностика. В нее входит биохимический анализ крови, УЗИ внутренних органов, компьютерная томография (КТ) носовых пазух и МРТ (магнитно-резонансная терапия) головного мозга.
Правильно поставленный диагноз и своевременно начатое лечение позволят вам не только избавиться от неприятных последствий потери вкуса, но и предупредить возникновение или развитие опасных заболеваний.
Источник: https://izzhoga.info/ximicheskij-privkus-vo-rtu/
7 заболеваний, на которые указывает привкус горечи во рту

Привкус горечи во рту, который возникает постоянно – это повод насторожиться и отправиться на обследование к врачу.
Неприятное явление не всегда свидетельствует о том, что в организме развилось серьезное заболевание, но процент случаев, когда причины его появления совершенно безобидны – очень маленький. Редакция портала UltraSmile.
ru советует вам прочитать статью, чтобы владеть полезной информацией на эту тему и вовремя исключить возможные патологии.
Причинами горечи во рту может быть множество
Заболевания желчного пузыря и печени
Если привкус горечи во рту стал вашим постоянным спутником, то первое, что нужно исключить – это застой желчи, который возникает из-за патологий желчного пузыря и печени. Желчь вырабатывается в печени, далее она поступает в желчный пузырь, где хранится до того момента, пока в желудок не поступит пища.
Эта полезная жидкость помогает желудку переваривать пищу. Как только вы совершаете трапезу, желчь поступает в двенадцатиперстную кишку – это естественное явление. При патологиях желчного пузыря и печени жидкость выходит не полностью или застаивается, ее образуется много, а во рту появляется привкус горечи.
При патологиях наши внутренние органы стараются избавиться от желчи и даже могут устроить ее «аварийный сброс», отчего часть жидкости попадает в пищевод и даже в полость рта.
При заболевании печени может стать причиной горечи
Что означает горечь во рту? Явление может свидетельствовать о развитии желчекаменной болезни, холецистита, гепатита, цирроза, раковых опухолей, дискинезии (нарушении моторики желчного пузыря).
Неприятные ощущения во рту проявляются чаще всего утром, как только вы проснулись, а также после занятий спортом. Могут сопровождаться покалыванием и дискомфортом в области правого подреберья, отрыжкой, сухостью слизистой, нарушением пищеварения.
Горький привкус может перемежаться с металлическим или «железным».
Стоматологические заболевания
Горький привкус во рту порой имеет вполне очевидные причины появления, как у женщин, так и у мужчин.
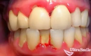
Его могут вызывать патогенные бактерии, которые размножаются из-за плохой гигиены, воспаления десен, развития гингивита и пародонтита, кариеса, пульпита, периодонтита.
Тогда почти во всех случаях его будет сопровождать и появление неприятного запаха изо рта, а также могут присутствовать признаки воспаления слизистой: кровоточивость и отечность десен.
Воспаление и кровотечение десен вызывает данную проблему
Гальванический синдром
Появилась горечь во рту и задаетесь вопросом, что это значит? Возможно, проблема кроется в том, что у вас во рту установлены зубные протезы, выполненные из разнородных металлов.
Читайте статью по теме: электрический ток во рту. Узнаете, что делать, чтобы быстро выздороветь!
Проблему нужно решать, потому что если все оставить как есть, то заболевание будет прогрессировать, может ухудшиться общее самочувствие, начаться нервные расстройства.
От разных металлов может возникнуть гальваноз
Заболевания ЖКТ
Что значит горечь во рту? Очень велика вероятность того, что виной всему послужили заболевания желудочно-кишечного тракта, которые сопровождаются таким явлением, как рефлюкс. Например, гастрит, панкреатит, язва, колит, энтерит.
Рефлюкс – выброс в пищевод и гортань кислоты из желудка. Чтобы избавиться от кислоты, наши слюнные железы начинают выделять щелочную слюну, которая погашает эту кислоту. Эта слюна имеет очень горький привкус, сопровождается изжогой.
При подобных патологиях язык приобретает нездоровый желтоватый оттенок.
При заболевании ЖКТ появляется желтый налет на языке и неприятный привкус
Кишечные паразиты
Привкус горечи во рту может указывать на крайне неприятные причины. Например, на то, что в организме появились паразиты (лямблии или гельминты, острицы и аскариды), которые ведут свою активную жизнедеятельность.
Паразиты буквально присасываются к внутренней оболочке тонкого кишечника, что вызывает его рефлекторное сокращение, а также повреждение тканей. Как следствие, происходит расстройство пищеварения, возникают патологии ЖКТ.
Паразиты также могут вызвать данный симптом
В наши дни подхватить этих паразитов не так-то просто, но вот маленькие дети, которые тянут в рот все, что можно и нельзя – до сих пор довольно часто становятся жертвами паразитов, а от них могут заразиться и взрослые. Часто глистные инвазии называют болезнью «грязных рук».
Нервно-психические расстройства
Если горько во рту, на языке и на губах, то вот что это может значить: у человека развилась тяжелая депрессия1, хронический стресс или шизофрения.
Удивительно, но даже обычный стресс или нервное перенапряжение могут способствовать появлению горечи, а виновата во всем наша физиология: в процессе нервного расстройства напрягаются все органы (это происходит из-за выброса в кровь адреналина и норадреналина), нарушается тонус желчного пузыря, происходит спазм мышц.
Стресс может способствовать появлению неприятного привкуса
Патологии щитовидной железы
Когда горечь во рту стала симптомом, который сопровождает вас постоянно, то что это значит? Причина может крыться опять же в забросе желчи в пищевод, но в этом случае подобное явление провоцируют не патологии печени и желчного пузыря, а нарушения в работе эндокринной системы и гормональный дисбаланс.
Например, это служит одним из симптомов таких заболеваний, как гипотиреоз и гипертиреоз, сахарный диабет. При сахарном диабете у человека, помимо горечи, может ощущаться сухость слизистой, а вот потоотделение, наоборот, повышается – это признаки повышения уровня сахара в крови.
Также при всех перечисленных патологиях может периодически появляться привкус йода.
Неправильная работа щитовидной железы может вызвать патологию
Причины горького привкуса, не связанные с серьезными заболеваниями
- употребление некачественной и несвежей пищи: привкус горечи во рту часто появляется по причине употребления просроченных или же специфических продуктов питания. Например, кедровые орехи богаты полезными жирами, но если они хранятся слишком долго, то жиры в них начинают окисляться и горчить,
- переедание на ночь: особенно, если пища была жирной и «тяжелой». Вызывают подобное явление и продукты, провоцирующие повышенное газообразование кишечника (капуста, бобы, сдоба),
- любовь к газированным напиткам: шампанское, минералка с газом,
- прием алкоголя,
- снижение активности вкусовых рецепторов: чаще всего с этой проблемой сталкиваются пожилые люди, у которых с возрастом меняется гормональный фон и некоторые рецепторы становятся нечувствительными. Возникает проблема и у людей, которые курят, т.к. при постоянном воздействии дыма на слизистую происходит дистрофия вкусовых сосочков,
- прием лекарств и отваров трав: такой эффект могут давать желчегонные, а также противогрибковые и антигистаминные средства,
- беременность: привкус горечи во рту и причины его появления у женщин часто связаны именно с вынашиванием ребенка. Симптом характерен для второй половины беременности, так как именно в этот период растущий и развивающийся ребенок начинает давить на внутренние органы и смещать их, отчего вероятность заброса желчи в пищевод увеличивается,
- гормональная перестройка организма: например, у женщин при наступлении менопаузы,
- недостаток или переизбыток витаминов в организме: например, недостаток цинка или переизбыток В12 способствуют тому, что появляется горьковатый привкус.
Беременность часто становится причиной тошноты и горечи во рту
«Характер» горечи расскажет о проблеме
Если во рту горечь, и думаете о том, что все это значит, то смотрите таблицу, представленную ниже.
| Горечь появляется утром | Необходимо проверить печень и желчный пузырь |
| Привкус сопровождает постоянно | Желчнокаменная болезнь, холецистит, онкология ЖКТ, нарушение гормонального баланса, проблемы с щитовидной железой, расстройства психики |
| Неприятный симптом появляется после того, как вы поели | Патологии ЖКТ и двенадцатиперстной кишки, употребление некачественной пищи |
| Привкус присутствует ситуативно, непродолжительное время | Прохождение медикаментозной терапии, прием антибиотиков, курение, аллергия, стресс |
| Горечь + неприятный запах изо рта | Стоматологические заболевания (гингивит, стоматит, пародонтит и пародонтоз), проблемы с ЖКТ. |
| Горький привкус в сочетании с изжогой | Гастроэзофагеальная рефлюксная болезнь |
Однако мы вам советуем все же не заниматься самодиагностикой, а отправиться на прием к врачу, который точно сможет подтвердить или опровергнуть диагноз на основании анализов крови, осмотра и УЗИ. Для начала лучше посетить гастроэнтеролога, также необходимо обратиться к стоматологу, который исключит заболевания полости рта.
(9 4,56 из 5) Загрузка… профилактика
Источник: https://ultrasmile.ru/7-opasnyh-patologij-na-kotorye-ukazyvaet-privkus-gorechi-vo-rtu/
Терапевт поделилась, о чем может рассказать привкус во рту

Здравствуйте, дорогие читатели! Если вы различаете разные привкусы, например, металла, соли, сладкий, йода, крови или ацетона, то по ним можете узнать о своем заболевании. ТО, о чем говорят привкусы во рту, это не только интересно, но и важно знать каждому.
Как поставить диагноз по привкусу на языке
О чем говорят привкусы во рту
Если у вас в полости рта ежедневно присутствует какое-то послевкусие, то вы можете сами определить, в какой области организма начинается сбой.
Даже самостоятельная диагностика может предупредить о нешуточном заболевании и направить вас к врачу
Горький привкус
Чаще всего человек испытывает горький привкус. А почему? Потому что у нас много любителей жирной, жареной и вредной пищи. Если изменить рацион, то горечь исчезнет. Но не только неправильная еда может стать ее причиной, а также прием антибиотиков, таблеток от аллергии. Того, кто злоупотребляет алкоголем, тоже мучает горечь на языке.
На этом успокаиваться не стоит. Болезни печенки, желчного пузыря, желчевыводящих путей, камни в желчном пузыре, затяжной холецистит также дают горькое ощущение в ротовой полости.
К нему может примешаться боль под правым ребром, нередко тошнота, даже рвота.
Сладкий привкус
Сладкий привкус также может о многом рассказать. Если сладость преследует каждый день, то это слишком серьезно, чтобы отмахнуться.
Причинами могут быть:
- Сахарный диабет. При этом заболевании происходит сбой в выработке инсулина и сахар начинает собираться в крови и лимфе, проникая в слюну, делает ее сладкой.
- Если к утреннему неприятному привкусу присоединяется изжога, то проверьте поджелудочную железу. Возможно у вас панкреатит!
- Стрессы, взвинченные нервы, вирусные инфекции также могут давать такие ощущения.
- Инфекции дыхательных путей, стоматологические заболевания, которые спровоцировала синегнойная палочка (она выделяет сладковатые вещества).
- Недавний отказ от курения.
Почему стало так много соли и кисло?
Кислота и изжога при беременности – частое явление. Но такое же явление наблюдают те, кто наедается на ночь.
Постоянная кислятина может стать причиной заболевания ЖКТ, гастрита или язвы, кариеса, гингивита, пародонтита.
А вот соленый привкус «расскажет» о дефиците жидкости в организме. Пейте 1,5-2 литра воды в день и соль исчезнет.
Более серьезные причины:
- Грибок или инфекция в носоглотке в виде синусита.
- Попадание в слюнные железы стрептококков, стафилококков, пневмококков дают ощущение соли. Пора идти к стоматологу!
«Металл» во рту
Металлический привкус может появиться по таким причинам:
- Если у вас металлические зубы, протезы или брекеты, то вы обязательно будете чувствовать их вкус, пока не привыкните.
- Стоматологические заболевания: стоматит, глоссит, гингивит с кровоточивостью десен.
- Избыток железа в организме. Если человек ест острые блюда, постоянно пьет минералку или не фильтрованную воду из-под крана.
- Привкус железа может свидетельствовать о беременности.
- «Железное» послевкусие можно ощутить, если готовить в алюминиевой или чугунной посуде.
- Применение многих лекарств тоже дает «металлическое» послевкусие.
- Если вы работаете на вредном производстве, где есть пары ртути или меди.
- Диабет, дефицит витамина В6, анемия, заболевания ЖКТ.
- Заболевание желчного пузыря, печени.
Если при железном ощущении чувствуется постоянная горечь, идет обильная слюна, появляются боли справа в верхней части живота, изменение стула, то такие симптомы не надо оставлять без внимания. Они могут сигнализировать о появлении кисты, новообразований, воспалений.
О чем расскажут другие ощущения
А вот привкус ацетона – сигнал развития сахарного диабета. Также есть подозрение на онкогенный процесс.
Причины возникновения привкуса йода:
- болезни щитовидной железы;
- сбой в работе ЖКТ;
- заболевания печени и почек;
- неправильная работа потовых желёзок;
- разрушение зубной эмали или установленных пломб;
- аллергия на йод.
Опасен для здоровья постоянный привкус крови. Это может сигнализировать об анемии, болезнях полости рта, печени, желчного пузыря, лор-органов, патологии эндокринной системы.
Если к дискомфорту во рту добавляется постоянная жажда, то это предвестники сахарного диабета.
Беременность также может давать кровяное послевкусие. У подростков в период гормональной перестройки тоже может появиться такое явление.
О чем предупреждает послевкусие крови при кашле
Если ощутили вкус крови при кашле, то стоит сразу обратиться к доктору. Это симптомы таких серьезных патологий, как пневмония, бронхит, туберкулез, рак легких.
В любом случае, если кашель стал сопровождаться послевкусием крови, да еще с кровянистой мокротой, нельзя откладывать визит к врачу.
Дорогие друзья, возьмите на заметку причины привкуса во рту. Возможно, пора записаться на прием к врачу.
Источник: https://zen.yandex.ru/media/id/5bba63758bc06200ace6e84c/terapevt-podelilas-o-chem-mojet-rasskazat-privkus-vo-rtu-5dcb0675ee79f72ab47f9ca7
Почему появляется металлический привкус во рту и что с этим делать

Странный вкус во рту, как будто вы подержали в зубах старую монету, не совсем здоровое явление . Нередко он возникает при серьёзных заболеваниях. Например, гепатитах, нарушениях работы почек, диабете, некоторых видах рака.
Но подобные болезни сложно пропустить. На стадии, когда может появиться привкус железа, они обязательно проявляют себя и другими признаками: постоянным плохим самочувствием, слабостью, отёками, необъяснимыми потерей или набором веса, регулярно возникающей болью. Если есть подобные симптомы, немедленно идите к терапевту.
Если же вы чувствуете себя неплохо, а металлический привкус всё равно есть, причины его, скорее всего, относительно безопасны. Но в них всё равно стоит разобраться.
Каковы причины металлического привкуса во рту и что с этим делать
Привкус металла, появляющийся будто бы сам по себе, — это один из видов расстройства вкусовой чувствительности (парагевзии) . Чтобы разобраться, откуда берётся это явление, надо понять, как формируется вкус.
За чувство вкуса отвечают вкусовые (расположены на языке) и обонятельные (в носовой полости) рецепторы. Когда в рот что-то попадает, они передают полученную информацию в мозг.
А тот, в свою очередь, определяет конкретный вкус: «это сладко», «это горько», «это похоже на шашлык», «это похоже на что-то металлическое».
На сложную систему сбора, передачи и обработки информации может повлиять множество факторов.
Вот наиболее распространённые причины , которые заставляют наш мозг думать, будто во рту побывал кусочек металла.
1. Плохая гигиена рта
Если вы нерегулярно и плохо чистите зубы, это может привести к заболеваниям дёсен, например пародонтиту или гингивиту. Такие заболевания нередко сопровождаются кровоточивостью, иногда почти незаметной. Но чувствительные рецепторы фиксируют даже минимальное количество крови. Она богата железом, поэтому мозгу мерещится привкус металла.
Что делать
Следите за здоровьем зубов и рта. Регулярно посещайте стоматолога.
2. Слишком энергичная чистка зубов
Возможно, вы работаете щёткой слишком активно или она излишне жёсткая. Это ещё одна причина, по которой дёсны могут кровоточить.