Что представляет киста яичника на УЗИ и с чем можно ее перепутать на исследовании

Как выглядит киста яичника на УЗИ – довольно актуальная тема, поскольку кистозные образования стали распространенной патологией у женщин и девочек подростков. Под кистой подразумевают доброкачественное новообразование, в котором содержится жидкость, чаще для ее лечения требуются хирургические методы.
Часто данное образование развивается бессимптомно, поэтому женщина не подозревает о его существовании и обнаруживает его только во время профилактического осмотра или лечения другого заболевания. Обычно для диагностики патологического образования назначают ультразвуковое исследование.
Показания к УЗИ
Ультразвуковое исследование является обычным методом диагностики во время профилактических посещений гинеколога. Показаниями к УЗИ являются:
- нарушение регулярности либо отсутствие менструаций;
- болевые ощущения разного характера в нижней части живота;
- дискомфорт во время полового контакта, особенно в области яичников;
- менструации, которые сопровождаются болями;
- нарушение интенсивности влагалищных выделений;
- бесплодие;
- воспаления придатков;
- планирование беременности, ЭКО;
- злоупотребление вредными привычками;
- избыточный вес;
- профилактическая диагностика половых органов.
На какой день цикла делать УЗИ
Не все женщины знают, на какой день менструаций можно делать УЗИ кисты яичника. Данную процедуру проводят только по окончанию месячных. Во время регул нет смысла проводить исследование, поскольку наличие крови искажает результаты, и врач может поставить не точный диагноз.
Если женщина не знает когда делать УЗИ, лучше обратиться в медицинское учреждение для консультации. Гинеколог объяснит, что диагностика назначается на начало цикла – в конце менструаций процедуру не проводят, поскольку эндометрий активно растет. Оптимальным считается 5-10 день цикла.
Подготовка к УЗИ
Перед проведением исследования, девушка должна три дня придерживаться специальной диеты, допускается употребление воды без газа. Для трансвагинального УЗИ требуется лишь пустой мочевой пузырь.
Трансабдоминальное УЗИ требует заполненный мочевой пузырь. Поэтому перед процедурой женщине нужно выпить как можно больше жидкости, желательно негазированной. Когда женщина почувствует первые позывы в туалет, нужно проводить ультразвуковое исследование. Соблюдение всех рекомендаций врача, гарантирует максимальную достоверность результатов диагностики.
Как проводится
Существует три метода проведения УЗИ:
- трансвагинальное – во влагалище вводят специальный датчик. Считается наиболее достоверным методом исследования, который позволяет визуально оценить любые отклонения;
- трансректальный – назначают девушкам, которые еще не начали вести половую жизнь. Датчик вводят в кишечник через анальное отверстие;
- трансабдоминальное – обычное исследование, датчик водят по поверхности живота. Диагностика позволяет обнаружить крупные новообразования.
Как выглядит киста на ультразвуковом исследовании
Во время исследования врач может увидеть кистозные новообразования разной этиологии, которые делятся на два вида:
- функциональная;
- патологическая.
Функциональные образования
| Фолликулярная киста | Одна из самых распространенных патологий. Во время овуляции фолликул отпускает созревшую яйцеклетку, в которой находится жидкость, в результате формируется опухоль. Отличается овальной либо округлой формой, имеет выразительный контур и тонкие стенки. Вырастает не более 10 см – требует срочное медицинское вмешательство. При небольших размерах (не боле 3 см) необходимо лишь наблюдение за новообразованием. |
| Киста желтого тела | Если в тканях яичников после месячных осталось желтое тело, в нем формируется опухоль. Данному новообразованию свойственно рассасываться самостоятельно, иногда требуется хирургическое вмешательство. Довольно часто ее принимают за внематочную беременность. Вырастает до 5 см, отличается толстыми стенками. |
| Геморрагическая киста | Представляет собой осложненное функциональное новообразование. Внутри заполнено кровью. По мере роста кровеносные сосуды растягиваются, лопаются. Распространенная патология среди женщин после 35 лет. |
Нефункциональные
| Эндометриоидная киста | Представляет собой полосное новообразование на яичнике, содержит внутри не вышедшую во время месячных кровь, оболочка состоит из тканей эндометрия. Для терапии прибегают исключительно к хирургическим методам, после которых женщине нужно пройти длительный курс гормонального лечения. Новообразование отличается плотными стенками 2-8 мм, в которых могут находиться небольшие полости округлой формы. |
| Дермоидная киста | Представляет собой овальное образование, сформированное из клеток зародыша. Во избежание малигнизации в злокачественную опухоль прибегают к хирургической терапии. Может вырастать до 20 см. |
| Цистаденома яичников | Разделяется на 2 вида – папиллярная и простая серозная цистаденома. В первом случае на стенках, с внутренней стороны присутствуют небольшие выпуклости. Это их единственное отличие. Однокамерное новообразование – требует хирургическое лечение. |
Может ли УЗИ ошибиться
Может ли ошибиться УЗИ с кистой яичника? Да, перепутать новообразование можно с беременностью. Часто в результатах исследований женщине ставят диагноз киста, однако при подготовке к лечению оказывается, что новообразования нет.
Кисту спутать можно, если девушка не придерживалась подготовительных мероприятий перед ультразвуковым исследованием, например, проходила диагностику во время месячных. Опухоль могут неправильно дифференцировать.
Кистозное образование обычно отличается доброкачественным характером. Лечение новообразования зависит от различных факторов. Наиболее эффективным способом является хирургическая терапия. УЗИ является одним из самых распространенных и достоверных способов обнаружения новообразований.
Источник: https://kistaoff.ru/yaichniki/na-uzi
Может ли ошибиться врач УЗИ? Причины ошибок УЗ-обследования

С появлением ультразвуковой диагностики диагностировать заболевания стало намного проще. Многие болезни, не дающие симптомов на начальных стадиях, отлично определяются с помощью ультразвука.
Но, к сожалению, и при ультразвуковой диагностике также случаются ошибки. Почему же такое происходит и как получить максимально точное описание УЗИ?
Причины, не зависящие от пациента. Выбирайте правильную клинику!
- Плохое качество аппаратуры. Не секрет, что в дешёвых клиниках используются далеко не новые УЗ-аппараты, снабжённые устаревшим программным обеспечением. Изображение, создаваемое такой техникой, далеко не идеально.
- Во время консультации врач может пропустить небольшие патологические очаги, опухоли камни, кисты. В результате больной уходит с УЗИ с уверенностью, что он здоров, а на самом деле в его организме развивается серьёзная болезнь. Поэтому, если врач после УЗИ в участковой поликлинике сказал, что все хорошо, лучше перепровериться у другого специалиста в более солидном медучреждении.
- Отсутствие нужных программ обучения. УЗИ-диагностика, как и другие медицинские отрасли не стоит на месте. Чтобы постоянно быть на плаву, врачам нужно постоянно повышать квалификацию и стажироваться, на что у многих учреждений просто нет денег.
- Отсутствие у персонала должного опыта. Больницы, стараясь снизить стоимость диагностики, принимают на работу вчерашних студентов, практически не имеющих опыта, которым можно платить меньше. Такой молодой специалист, возможно, знает, как выглядят органы в норме, но вряд ли имеет достаточный опыт, чтобы оценить, имеющиеся патологии. Для этого нужно проработать много лет. Кроме того, существуют редкие болезни, и частные случаи заболеваний, распознать которые может только опытный врач УЗист.
- Нарушение протокола УЗИ. Органы принято осматривать в определённой последовательности, что дает возможность выяснить первопричину патологии. Например, при обнаружении узкого места (стеноза) или непонятного расширения в органе врач должен смотреть все близлежащие области, чтобы понять, чем вызвано такое нарушение и к чему оно привело. Однако, некоторые специалисты, особенно молодые, просто констатируют факт патологии, не найдя ее причин. Польза от такой консультации УЗИ весьма сомнительна.
- Усталость врача – такая ситуация возникает сейчас в клиниках, существующих за счёт низких цен и большого количества посетителей. В результате врач в кабинете УЗИ, который вынужден много часов подряд осматривать больных, банально устаёт и может пропустить болезни.
- Неправильный выбор метода УЗИ. Некоторые органы можно осмотреть на УЗИ несколькими способами. Например, рассмотреть женские половые органы женщины можно через брюшную стенку, прямую кишку и половые пути. Однако, пациенток с большим избыточным весом осматривать через переднюю брюшную стенку нецелесообразно, поскольку толстый слой подкожной жировой клетчатки исказит картину. Максимально правильную диагностику в этом случае можно сделать только при трансвагинальном обследовании. Поэтому неправильный подбор методики осмотра приведёт к искажению результатов.
Поэтому, чтобы получить правильное заключение врача УЗИ, нужно выбирать клинику, где установлена современная аппаратура и работают квалифицированные врачи. В этом случае вероятность ошибок гораздо ниже. Нужно обязательно ориентироваться на цену. Дешёвая услуга не может быть качественной.
Если в расшифровке УЗИ, что-то показалось странным и подозрительным, лучше не рисковать и пройти диагностику у другого специалиста.
Ошибки со стороны пациента
- Неправильная подготовка. К сожалению, не все больные придерживаются врачебных рекомендаций по подготовке к процедуре. Недобросовестное соблюдение диеты и употребление продуктов выделяющих газы, искажает картину происходящего в органах брюшной полости. Перед некоторыми видами УЗИ нельзя курить, поэтому даже одна выкуренная сигарета способна повлиять на результат. Если подготовка к УЗИ вызвала вопросы, их нужно задать врачу, направляющему на УЗИ обследование.
- Предоставление неверной информации. Придя на УЗИ матки и яичников, женщина должна знать дату последней менструации, поскольку картина состояния органов репродуктивной сферы напрямую зависит от дня цикла. Если пациентка даст неправильную информацию, врачу будет гораздо сложнее сориентироваться в ситуации.
- Прием препаратов, о которых не было сообщено врачу. Лекарственные средства влияют на работу органов, поэтому принимать их перед УЗИ-диагностикой нельзя. О приеме любых лекарственных средств нужно обязательно сообщить врачу, проводящему диагностику.
Поэтому чтобы врач на УЗИ поставил правильный диагноз, нужно при подготовке к обследованию строго выполнять врачебные рекомендации. Чем лучше подготовлен пациент, тем точнее будет результат УЗИ.
Соблюдая эти несложные правила получить максимально точные данные о состоянии своего здоровья, по достоинству оценив преимущества УЗ-диагностики.
ссылкой:
Источник: https://unclinic.ru/mozhet-li-oshibitsja-vrach-uzi/
Киста яичника на УЗИ

Яичники — это парные органы, имеющие огромное значение при зачатии. Именно в яичниках формируется яйцеклетка, которая впоследствии соединится со сперматозоидом, и возникнет беременность.
Здоровые яичники нужны не только для зачатия, с их помощью создается общий гормональный фон женщины. Любое нарушение в их работе влечет за собой серьезные осложнения, вплоть до бесплодия. Наиболее частым заболеванием яичников является образование кист.
Это доброкачественные опухоли, которые могут образоваться у любой женщины.
Как образуется киста
В определенный момент менструального цикла из разорвавшегося фолликула выходит зрелая яйцеклетка, которая готова к оплодотворению.
Если в яичниках произошел сбой, а этому могут способствовать разные причины, овуляция не происходит, и зачатие не наступает. Нелопнувший фолликул начинает расти, внутри он заполнен жидкостью. Так образуется атерома.
Она может появиться одна, а может образоваться поликистоз – множество мелких кисточек. При ультразвуковом исследовании это скопление выглядит как виноградная гроздь.
Кисты яичника со временем увеличиваются в размерах. Внутри они заполнены менструальной кровью, и на УЗИ малого таза выглядят светлым пятном. Ее можно спутать с желтым телом, которое со временем самостоятельно рассасывается.
Поэтому при подозрениях на наличие кисты яичника, УЗИ делается повторно через три месяца. Если подозрительная опухоль не рассосалась, а только увеличилась в размерах – это киста. Если атерому вовремя не удались, она может лопнуть, и вся скопившаяся кровь попадет в брюшную полость.
Такое развитие ситуации грозит возникновением перитонита.
Растущее образование перекрывает к яичнику доступ крови и ткани начинают отмирать. Если болезнь запущена, орган, скорее всего, придется удалять.
Если кистозные образования поразили только один яичник, у женщины есть шанс забеременеть, если же кисты образовались в двух яичниках и причинили большой вред тканям, потребуется оперативное вмешательство. При удалении двух яичников наступает бесплодие.
Возникновение кистозных образований
В группе риска появления данного заболевания, прежде всего, находятся нерожавшие женщины в репродуктивном возрасте, девушки с только начинающимся менструальным циклом и дамы, у которых уже наступила менопауза.
Основными причинами появления кисты являются:
- Травмы внутренних органов;
- Повышенная масса тела;
- Сбой в работе щитовидной железы;
- Некроз тканей;
- Появление злокачественных или доброкачественных опухолей;
- Плохое питание;
- Смена климата;
- Сахарный диабет;
- Воспалительные процессы мочеполовой системы;
- Сбой гормонального фона женщины;
- Длительный прием гормональных препаратов.
Чаще всего атеромы образуются при воспалении внутренних половых органов. После проведенного лечения, ткани на яичниках становятся менее эластичными и кисты начинают быстрее образовываться.
Симптомы
Организм женщин сигнализирует о первых признаках появления любого гинекологического заболевания сбоем в менструальном цикле. Слишком частые или наоборот редкие месячные серьезный повод для беспокойства. Поэтому врачи рекомендуют вести специальный календарик, и отмечать в нем день наступления месячных.
Первыми симптомами возникновения атеромы яичника являются:
- Ухудшение общего состояния женщины. Появляется раздражительность, усталость, головная боль. Это начинает меняться гормональный фон;
- Нарушение менструального цикла. Месячные сопровождаются сильными кровотечениями и резкими боями;
- Может увеличиться масса тела без видимых причин;
- Отсутствие овуляции и возникшие из-за этого проблемы с беременностью;
- Выделения в середине цикла с прожилками крови.
При появлении первых симптомов, женщине срочно потребуется сделать полное обследование органов малого таза.
Диагностика по УЗИ
Чем раньше женщина придет на прием к гинекологу, тем лучше. Затягивание обследования может только способствовать дальнейшему развитию заболевания.
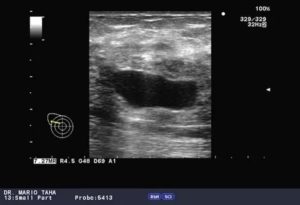
Основным методом диагностики является определение кисты яичника на УЗИ. Стенки яичников при исследовании выглядят утолщенными, серого цвета. Размер органов становится больше.
Многие пациентки задают вопрос – на какой день цикла делать УЗИ? Врачи определяют оптимальное время для исследования с третьего по пятый день после окончания месячных. Если делать УЗИ позднее, яичники немного видоизменяются.
Дополнительными средствами определения кисты являются:
- Лапароскопия. Этот способ одновременно диагностирует заболевание и сразу же удаляет ненужные образования. В брюшной полости делаются небольшие надрезы и в них вставляются тонкие трубки. Восстановление организма после лапароскопии занимает не более двух недель.
- Анализы крови на уровень содержания мужских гормонов, жиров и инсулина.
Лечение
Запущенная болезнь может спровоцировать возникновение ряда других заболеваний:
- Появление злокачественных опухолей на яичниках и соседних органах малого таза;
- Эндометриоза;
- Заболевание сосудистой системы.
Лечение кисты чаще всего бывает комплексным: это гормональная терапия и оперативное вмешательство. Надеяться, что атерома рассосется сама собой не стоит, она может лопнуть или привести к некрозу. Обычно после удаления образования, рекомендуется гормональное лечение с целью восстановления менструального цикла и приведение в порядок уровня гормонов.
Разновидности кист
В зависимости от причин возникновения и сопровождающихся симптомов, кисты бывают:
- Эндометрическая киста. Все что находится внутри матки, называется эндометрий. Если по каким-либо причинам, зачатия не произошло, эндометрий начинает отторгаться маткой. Так возникают месячные. При определенных случаях, эндометрий может находиться за пределами матки, это заболевание носит название эндометриоз. Новообразования могут прикрепиться к стенке яичника. После каждого месячного цикла, атерома растет. Женщина начинает испытывать боли при месячных, ухудшение самочувствия. После точной диагностики эндометрическая киста удаляется.
- Параовариальная киста. Обычно такая атерома формируется из остатков яйцеклетки или эмбриологических тканей. Особого вреда она женщине не наносит, обнаруживается при плановом осмотре гинекологом. Параовариальная киста может причинять неудобства при половом акте и лечится гормональными препаратами. Хирургическое вмешательство проводится редко.
- Фолликулярная киста. Это доброкачественная опухоль, возникающая при отсутствии овуляции. Она формируется из фолликула и заполнена внутри жидкостью. Если образование не достигает 5 сантиметров, оно может рассосаться через несколько менструальных циклов. При больших физических нагрузках, данный вид кисты может лопнуть.
- Серозная киста. Причиной появления данного вида кисты может быть беспорядочная половая жизнь, частые аборты с осложнениями, венерические заболевания. Серозная киста больших размеров требует только оперативного вмешательства.
При обнаружении любого вида кисты на яичнике, требуется обязательное лечение. В большинстве своем кисты не рассасываются, а при затягивании лечения могут достигнуть угрожающих размеров.
Последствия могут быть самые плачевные – от длительного гормонального лечения до удаления яичников и как следствие появление бесплодия.
Своевременная диагностика и правильно подобранное лечение помогут женщине справиться с заболеванием.
Источник: http://GormonOff.com/zabolevanija/reproductive/kista-yaichnika-na-uzi
Киста в матке на УЗИ

Различные новообразования во внутренних органах, в том числе в матке у женщин чаще обнаруживают случайно, во время прохождения плановой диагностики. Это относится и к кистам, которые нуждаются в постоянном контроле.
Чем опасны кисты в матке?
Кистозное новообразование относится к доброкачественным наростам. Это — полость округлой или овальной формы, имеющая белый или бело-желтый оттенок. Содержимое кисты — жидкий экссудат.
Проходить профилактическое обследование нужно не реже 2 раз в год. Это позволит выявить образование на начальной стадии развития и вовремя начать терапию. В большинстве случаев сразу после обнаружения кисты назначают дату для ее удаления.
Что будет, если не лечить болезнь?
Киста (неботова, ретенционная или другого типа) на УЗИ-снимке выглядит как утолщение (уплотнение) эпителиальной ткани. Начав лечение сразу после постановки диагноза, можно улучшить прогноз и снизить риск опасных последствий.
Редко доброкачественное новообразование в матке осложняется другими состояниями. Если пренебрегать лечением, киста может достигнуть большого размера. При этом повышается давление на окружающие органы и нарушается их работа.
При множественном поражении половых органов, в том числе яичников, говорят о поликистозе, который требует срочного врачебного вмешательства.
Некоторые наросты склонны к кровоизлиянию, скручиванию, за счет чего у женщины возникает выраженная болевая симптоматика и нарушается общее состояние.
При отсутствии лечения, разрыве кисты и распространении инфицированного экссудата за пределы новообразования может развиться перитонит или сепсис.
Наибольшую опасность представляет риск злокачественного перерождения кисты. Под действием провоцирующего фактора, например, при сопутствующем развитии воспалительного процесса в матке или систематическом поднятии тяжестей, клетки новообразования начинают бесконтрольно делиться, формируя онкологический нарост.
Определить природу кисты можно методом биопсии и гистологического анализа биологического материала, взятого из полости образования.
Как проводится и что показывает исследование?
Для выявления кист в матке проводится ультразвуковое исследование. По результатам диагностики можно не только обозначить факт присутствия новообразований, но и определить размер таковых и количество.
При множественном поражении половых органов, в том числе яичников, говорят о поликистозе, который требует срочного врачебного вмешательства.
Существует несколько разновидностей ультразвуковой диагностики, метод которой определяют с учетом локализации нароста.
Если киста располагается на шейке матки, исследование проводят трансвагинальным датчиком, а, если внутри матки или в яичнике, — трансабдоминальным способом.
Если перед трансвагинальным обследованием не требуется специальная подготовка, то при трансабдоминальной диагностике женщине нужно соблюдать некоторые рекомендации:
- за несколько дней оканчивают употребление пищи, которая усиливает газообразование в кишечнике (бобовых, капусты и др.);
- за день начинают принимать активированный уголь;
- в день проведения диагностики перед УЗИ запрещено завтракать;
- непосредственно перед исследованием выпивают литр воды (с наполненным мочевым пузырем результаты исследования наиболее информативны).
Если одновременно развиваются воспалительные процессы в матке, диагностируют увеличение органа и повышение эхогенности.
Как лечить заболевание?
Лечение кисты на шейке матки может быть консервативным или хирургическим. В первом случае проводится контроль состояния в комплексе с приемом лекарственных препаратов, проведением физиотерапевтических процедур, изменением образа жизни.
Большинство врачей сразу после постановки диагноза назначают удаление кисты (на шейке матки или в полости органа), на что есть свои причины:
- Присутствует риск увеличения кисты в размере. В ретенционных кистах секрет постепенно увеличивается в объеме, рядом формируются множественные наросты, которые со временем сливаются в крупные образования.
- Присоединяются клинические проявления, нарушающие общее состояние. Среди симптомов запущенного течения болезни — боль в нижней части живота в состоянии покоя и во время полового акта, усиление дискомфорта в период менструации, бесплодие.
- Повышен риск инфицирования кисты, если в полости матки протекает воспалительный процесс. Новообразование начинает нагнаиваться, формируется абсцесс.
Иногда кисты в матке самопроизвольно разрываются. При наличии инфекционных патогенов в жидкостном экссудате они распространяются на здоровые участки органа, обуславливая рецидив заболевания.
После заживления места на шейке, где разорвалась киста, образуется рубец. Это — осложняющий фактор для нормального раскрытия шейки матки в процессе родовой деятельности.
Электрокоагуляция новообразования
Такой метод удаления кистозных наростов используют чаще остальных способов лечения. Также электрокоагуляцию назначают при других новообразованиях в матке, например, для иссечения полипов. Продолжительность реабилитационного периода — не более 1 месяца.
Дополнительная информация! Метод считается безопасным и эффективным даже в лечении больших кист.
Метод электрокоагуляции не используют при следующих противопоказаниях:
- при нарушении свертываемости крови;
- при системном заболевании крови (лейкозе и др.);
- при эндокринной патологии (сахарном диабете в стадии декомпенсации или др.);
- при болезни сердца и сосудов (артериальной гипертонии, недостаточности сердца или др.);
- при подозрении на онкологическую природу нароста;
- при сопутствующем остром инфекционном процессе в организме;
- при встроенном кардиостимуляторе.
На необходимую область направляют электрический ток с определенной частотой, который вызывает прижигание новообразования, отторжение поврежденных эпителиальных клеток и образование на их месте здоровых. Во время манипуляции женщина не ощущает дискомфорт, так как перед прижиганием проводят местную анестезию.
Лазерная вапоризация
Удалять кисты можно методом лазерной вапоризации. На патологическую область воздействуют лазерным лучом с определенной мощностью, который не только уничтожает измененные ткани, но и запечатывает сосуды, препятствуя кровоизлиянию, появлению гематомы и отека.
Продолжительность вапоризации — не более 20 минут. После окончания лечебного мероприятия женщина может отправляться домой. В период реабилитации запрещены повышенные физические нагрузки, половая жизнь, посещение парилки и прогревание нижней части живота.
Противопоказания к лазерной вапоризации кисты в матке:
- подозрение на онкологическую природу новообразования;
- развитие острого инфекционного процесса в организме;
- нарушение свертываемости крови;
- заболевание сердечно-сосудистой системы;
- киста, расположенная в верхней части шейки матки.
Не делают лазерную вапоризацию в период беременности. Проводится вмешательство на 8-9 день менструального цикла.
Лечение холодом
Криодеструкция или лечение холодом предполагает воздействие на патологический очаг жидким азотом, имеющим низкую температуру. Это — один из наиболее щадящих методов устранения кистозных новообразований шейки матки.
Преимущества крио-лечения перед другими способами физического воздействия:
- отсутствует риск выраженного нарушения целостности тканей;
- нет необходимости в предварительной анестезии;
- не формируются послеоперационные рубцы;
- не возникает кровоизлияние из тканей после воздействия азотом;
- минимальный риск рецидива патологии;
- не нужно накладывать швы, как после иссечения скальпелем.
После криодеструкции можно легко забеременеть. Процедуру можно проводить и нерожавшим девушкам и женщинам, так как она не влияет на состояние слизистых органа и процесс оплодотворения.
Противопоказания к лечению холодом:
- острый инфекционный процесс в организме;
- воспаление в полости матки или на эндоцервиксе;
- развитие инфекции, передающейся половым путем;
- рубцовые изменения на шейке, дисплазия 3 степени;
- наличие злокачественных клеток в матке или на шейке;
- опухолевидный процесс и миома.
Не назначают криодеструкцию при соматическом заболевании в стадии декомпенсации.
Радиоволновая терапия
Лечить кисты в матке можно методом радиоволновой терапии, который заключается в воздействии на нарост радиоволнами. Под влиянием таковых нагреваются клеточные и внеклеточные жидкости, они испаряются, вызывая деструкцию тканей.
Отсутствует риск кровотечения во время манипуляции, не формируется раневая поверхность после воздействия.
На месте патологических тканей образовывается струп, который самостоятельно отпадает спустя 5-7 дней после обработки радиоволнами.
Продолжительность лечебного мероприятия — 5-7 минут. Соблюдать специальные подготовительные меры перед процедурой не нужно. После удаления кисты женщина может сразу направляться домой. Восстановительный период длится 4-8 недель.
Противопоказания к использованию метода:
- острый инфекционный процесс в организме;
- обострение хронического системного заболевания;
- наличие встроенного кардиостимулятора.
Назначают радиоволновое лечение на 4-7 день менструального цикла, что позволяет снизить риск кровотечения в послеоперационный период.
Радикальный метод
В определенных случаях назначают радикальную хирургическую операцию с использованием скальпеля:
- если киста имеет большой размер (более 3 см);
- если новообразование стремительно растет;
- если диагностирован поликистоз;
- если киста нагнаивается или присутствует абсцесс.
Перед хирургическим лечением нужно сдать анализы:
- общий анализ крови;
- биохимический анализ крови;
- коагулограмму;
- анализ на ВИЧ, сифилис, гепатит;
- анализ мочи.
Если пациент проходит терапию препаратами, влияющими на свертываемость крови, нужно оповестить об этом врача. За 8-12 часов оканчивают прием пищи и питье.
Во время вынашивания плода хирургическое лечение проводится, если киста имеет большой размер, а при небольших наростах операцию откладывают на послеродовой период.
Назначают хирургическое вмешательство на 4-7 день менструального цикла, когда минимален риск послеоперационного кровотечения. Противопоказания к операции:
- менструация;
- острый воспалительный процесс в организме;
- нарушение свертываемости крови;
- онкологический процесс в половых органах и предраковое состояние.
Ход вмешательства:
- прокол оболочки кисты;
- удаление внутреннего содержимого;
- иссечение остатков скальпелем.
Если новообразование нагнаивается, перед операцией полость дренируют. При труднодоступных кистах проводится видеокольпоскопия.
Консервативное лечение
Использование консервативных методов оправдано только в послеоперационный период. Назначают следующие препараты:
- антибактериальные;
- антисептические;
- противовоспалительные;
- витаминные.
В комплексе проводят физиотерапевтические процедуры. Один из наиболее эффективных методов — электрофорез с лекарственными компонентами, который имеет следующие преимущества:
- усиление терапевтического действия медикаментов;
- отсутствие риска негативного влияния на желудочно-кишечный тракт;
- возможность комбинации лекарственных средств.
Еще один эффективный метод физиотерапии — магнитотерапия. Под действием магнитных полей улучшается кровоток и обменные процессы в прооперированных тканях, уходит отечность, снижаются болевые ощущения.
Другие методы, используемые после удаления кисты в матке:
- лазеротерапия;
- иглорефлексотерапия;
- фонофорез;
- радоновые ванны;
- СМТ-терапия.
Народные средства для устранения причины кистозных образований и лечения таковых не эффективны.
Кисты в матке хоть и не относятся к опасному состоянию, все же не нужно пренебрегать лечением. Под действием провоцирующего фактора они могут преобразовываться в онкологические наросты, которые требуют иной, более серьезной терапии.
Поделитесь статьей с друзьями
статьи
Источник: https://missis.info/zdorove/gematologiya/425-kista-v-matke-na-uzi.html
Как делают УЗИ на определение кисты яичника и как разные виды выглядят на мониторе

› Мочеполовая система
17.01.2019
Киста яичника — причина нарушения женского здоровья, бесплодия. Обнаружить кисту яичника можно на УЗИ, выделяют несколько разновидностей. Лечение проводят консервативными и хирургическими методами.
Показания к обследованию
Женщину отправляет на УЗИ гинеколог, если она жалуется на боли в низу живота, нарушение менструального цикла, бесплодие.
При кисте яичника делают несколько видов УЗИ:
- трансабдоминальное — классический метод, но выявляет только крупные новообразования;
- трансвагинальное — наиболее точный способ, позволяющий увидеть малейшие изменения, подходит только для женщин, живущих половой жизнью;
- трансректальное — датчик вводится через прямую кишку, метод используется у девственниц.
Помимо прямой диагностической цели, ультразвук используют для контроля некоторых инвазивных манипуляций. Например, пункцию кисты яичника делают под обязательным УЗИ-контролем, чтобы не повредить иглой здоровую ткань.
Смотрите видео о кистах яичников и способах их диагностики, в том числе УЗИ:
Правила подготовки
На какой день цикла делать УЗИ, имеет важное значение при кисте яичника. Новообразования гормонозависимы, изменяют размеры с учетом фазы менструального цикла. Первоначальное обследование проводится на 5-7 день, то есть сразу после окончания менструации. Для оценки динамики состояния исследование повторяют на 10,15,22 дни.
Специальной подготовки к УЗИ не требуется. Врач рекомендует за три дня до манипуляции не есть пищу, способствующую газообразованию:
- капусту;
- черный хлеб;
- горох;
- молочные продукты.
На исследование приходят натощак.
Как делают УЗ-исследование
Женщина приходит подготовленной, желательно взять с собой одноразовую простынку и полотенце. При трансабдоминальной процедуре врач смазывает живот гелем, обследует датчиком место проекции яичников.
При трансвагинальной и трансректальной методиках используется специальный датчик, который вводят во влагалище и прямую кишку соответственно. Если назначен такой вид обследования, с собой нужно взять насадку или обычный презерватив.
Вся процедура УЗИ яичников занимает 15-20 минут, затем врач делает описание. Заключение выдается на руки пациентке вместе с изображением.
Нормальный результат
Здоровые яичники на снимке имеют определенные критерии:
- однородность структуры;
- плотность, одинаковую с маткой;
- в корковом слое расположены округлые фолликулы;
- отчетливо виден один доминантный фолликул.
Нормальный размер железы 2х3 см, контуры ее четкие и ровные.
Возможные ошибки
На УЗИ хорошо видно кисты яичников, но иногда они маскируются под другие заболевания:
- желтого тела — под внематочную беременность;
- геморрагическая — под злокачественную опухоль.
Ошибка при постановке диагноза может быть связана с недостаточной квалификацией доктора, нарушениями работы оборудования, неправильно выбранным временем проведения обследования. Процент ошибочного результата низкий.
Стоимость процедуры
Сделать процедуру можно в государственной поликлинике или частном центре. Поликлиники предоставляют услугу бесплатно при наличии показаний. Частные центры делают УЗИ по желанию клиента, стоимость зависит от вида проводимого обследования, варьируется от 800 до 1500 рублей.
УЗИ дает возможность обнаружить даже небольшие изменения женских половых органов. Это положительно сказывается на эффективности лечения и улучшает прогноз.
Источник: https://uziman.ru/mochepolovaya/kista-yaichnika-na-uzi
Выявление кистозных образований с помощью УЗИ

Чаще всего киста яичника на УЗИ просматривается через переднюю брюшную стенку. С помощью этого безопасного метода диагностики удается оценить её размер, тип и точное местоположение.
Противопоказаний для выполнения ультразвукового исследования не существует. Оно проводится у женщин любого возраста и при наличии любых болезней.
Когда нужно делать УЗИ
При плохом самочувствии, нужно пройти комплексное медицинское обследование. Если дискомфортные ощущения локализуются в зоне живота, рекомендуется посетить гинеколога. На УЗИ-диагностику кисты яичников пациентку отправляют, если она жалуется на:
- длительную задержку менструации;
- увеличение объема месячных выделений;
- болезненную десквамацию (шелушение и отделение маточного эндометрия);
- ациклический кровяной секрет;
- регулярно возникающую, сильную боль в нижнем отделе живота.
Такая симптоматика указывает на наличие на теле придатка кистозного образования. Его рост провоцирует репродуктивную дисфункцию.
Основное показание к проведению ультразвукового исследования – выявление в проекции яичника новообразования округлой формы при пальпации. В данном случае, такая диагностика должна проводиться регулярно (1-2 раза в месяц), с целью анализа его роста.
Если киста была удалена хирургическим способом, УЗИ делают каждые 2-3 месяца на протяжении года.
Какое УЗИ делают при кисте яичника и особенности его проведения
При наличии в женской брюшной зоне доброкачественных и злокачественных новообразований, возникает необходимость их визуального анализа. УЗИ малого таза при кисте яичников бывает трансректальным, трансабдоминальным и трансвагинальным:
| Трансректальное | Отличается высокой информативностью. Предполагает введение датчика в прямую кишку. Такое исследование проводится преимущественно у девственниц |
| Трансабдоминальное | Выполняется через переднюю стенку брюшины. При небольшой кисте, метод малоэффективен |
| Трансвагинальное | Органы малого таза просматриваются через влагалище. Такой метод исследования отличается максимальной информативностью. С его помощью удается просмотреть даже небольшие патологические отростки на придатках |
Стандартная продолжительность каждой из этих манипуляций – 5-10 минут. За это время, врач определит или опровергнет наличие на теле яичника кисты.
Информация, собранная в ходе исследования, распечатывается на специальном бланке. Интерпретирует её гинеколог.
Данные, собранные в ходе проведения УЗИ, не являются точным диагнозом. Его ставит гинеколог, основываясь на результатах всех анализов.
Подготовка к процедуре
Для начала, женщина должна определить дату начала менструации. Говоря о том, на какой день цикла на УЗИ диагностировать кисту яичника, специалисты отмечают, что лучшее для этого время – это 1-2 сутки после завершения десквамации. То есть, приблизительно, 6-8 день цикла.
Отправляться на данную процедуру нужно, имея направление от гинеколога. Иногда в нем прописывается предварительный диагноз. Это делается с целью быстрого ориентирования специалиста в области ультразвукового исследования, ведь, зная о подозрениях лечащего врача пациентки, он сможет быстрее определить у нее патологию.
Пациентка должна взять с собой:
- Одноразовую чистую пеленку.
- Бахилы.
- Бумажное полотенце для удаления геля с тела.
Также при себе необходимо иметь любой документ, удостоверяющий личность.
Подготовительные мероприятия зависят от типа УЗИ. Например, если женщине будут делать трансабдоминальное исследование, она должна предварительно наполнить свой мочевой пузырь. Такая необходимость объясняется вытеснением кишечника из зоны визуального анализа. Если этого не сделать, он перекроет пораженный кистой яичник и нужного изображения получить не удастся.
Поэтому, перед проведением трансабдоминального УЗИ, пациентка должна выпить не менее 1,5 литров минеральной воды, желательно, без газа. Сделать это нужно за 1 час до процедуры.
Если женщине назначили трансректальное исследование яичников, рекомендуется предварительно сделать клизму, чтобы очистить кишечник от каловых масс.
На трансвагинальное исследование можно идти без предварительной подготовки. Однако, гигиенические мероприятия не станут лишними.
Проведение гинекологической диагностики кисты
Проводится эта процедура в специальном, оборудованном диагностической техникой, кабинете. Способ проведения зависит от типа исследования:
- Трансректальное. Датчик смазывается гелем и вводится через анальное отверстие пациентки. При этом, она лежит с согнутыми в коленях ногами, на боку. Когда устройство продвигается по пряной кишке, может ощущаться дискомфорт. Если он очень сильный, нужно предупредить врача.
- Трансабдоминальное. Пациентка ложится на спину, обнажая нижнюю зону живота. На эту часть тела наливается небольшое количество геля. Также им смазывается датчик. Если на УЗИ видно кисту левого яичника, то движения датчика врач будет осуществлять с этой стороны. Соответственно при правостороннем расположении опухоли — все манипуляции проводятся справа. При сильном давлении на живот, пациентка почувствует позыв к опорожнению мочевого пузыря, однако его придется игнорировать до окончания процедуры.
- Трансвагинальное. Женщина раздевается до пояса и, сгибая колени, ложится на спину. На микродатчик надевается презерватив, смоченный в геле. Затем устройство вводится во влагалище пациентки. Такая процедура совершенно безболезненная, однако, дискомфортная.
Все три вида диагностики также применяются для проведения узи после удаления кисты яичника.
После завершения УЗИ, женщина может воспользоваться бумажным полотенцем, чтобы удалить гель с кожи. Когда врач, или его ассистент, распечатает снимок и данные исследования, они будут вручены пациентке. После этого, она может отправиться к лечащему гинекологу для дальнейшей диагностики.
Нормальные показатели органов брюшной полости на УЗИ
Параметры органов малого таза, свидетельствующие о их нормальной работоспособности, определяются возрастом женщины.
При климаксе:
- во второй фазе цикла желтое тело не выявляется;
- фолликулы определить не удается, так как количество их выработки значительно снижается. Доминирующий фолликул отсутствует;
- размер придатков уменьшается.
При репродуктивном функционировании:
- в паренхиме придатков удается просмотреть множественные фолликулы разного размера (от 0,2 до 0,5 см);
- после овуляции, в тканевой поверхности яичника четко просматривается желтое тело. Его размер – от 0,5 до 2 см;
- доминантный фолликул просматривается в правом яичнике. Он больше остальных на 0,5-1 см;
- в полости малого таза имеется небольшое количество жидкости.
Как выглядит киста яичника на УЗИ
В гинекологии под кистой понимают полую опухоль (чаще доброкачественную), которая заполнена жидкостью.
Основной признак кисты яичника на УЗИ – формирование на его теле полого отростка. Он отличается от нормального фолликула тем, что, на протяжении цикла, никак не меняется. К тому же, такое новообразование имеет больший размер.
На снимке УЗИ, киста яичника выглядит черным пятном, размером от 3 до 20 см.
Ультразвуковая диагностика кист
Большинство отростков на теле придатка имеют доброкачественное происхождение. Прежде, чем приступить к лечению, нужно определить тип кисты.
Дермоидная
Она представляют собой одну из распространенных разновидностей патологических отростков на теле половых желез. Может иметь не только доброкачественный, но и злокачественный характер. Второе название такого образования – тератома. Возникает, преимущественно, у юных женщин детородного возраста от 18 до 30 лет.
На УЗИ, МРТ и КТ она выглядят двусторонней либо однокамерной. В 60 % случаев, тератомы содержат в своей структуре кальций. Внутри они заполнены жировой жидкостью, которая продуцируется сальной железой.
Визуально определить наличие на яичниках тератому можно по эхогенным полосам.
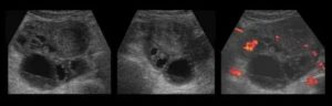
Геморрагическая
Такое образование представляет собой кровяной сгусток. Его структура – однокамерная, гипоэхогенная. Включения могут быть разными, например, с нитями фибрина.
Толщина стенки такого новообразования – вариабельная. Часто она имеет кровеносные сосуды, расположенные циркулярно.
Чаще всего, их наличие провоцирует сильнейший болевой синдром. Но бывали случаи, когда патологический отросток на теле яичника геморрагического типа обнаруживали случайно, при этом, его наличие не сопровождалось дискомфортом.
Фолликулярная
Выглядит на УЗИ однокамерным гипоэхогенным образованием округлой формы. Его стенки – очень тонкие, а контур – ровный и четкий.
Источник: https://TvoiYaichniki.ru/diagnostika/kista-na-uzi