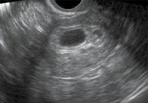
Остатки плодного яйца

Неполный аборт чаще диагностируется после приема препаратов для искусственного прерывания беременности (мифепристона, мифегина и пр.). Патологическое состояние развивается вследствие неполного отторжения плодного яйца. Данное осложнение встречается у женщин, решившихся на процедуру на поздних сроках беременности (7-8 неделя).
О наличии остатков зародышевой ткани могут свидетельствовать болезненные ощущения в нижней части живота. Они носят схваткообразный, острый характер, возникают внезапно, прием обезболивающих препаратов дает лишь временный эффект. Резкие боли могут сменяться тупыми, тянущими, иррадиировать в поясницу, крестец, промежность.
Они усиливаются при половом акте, гинекологическом обследовании. К характерным признакам неполного аборта относятся кровотечения из цервикального канала. Выделения могут быть как мажущими, едва заметными, так и обильными, длительными. Продолжительные кровотечения иногда приводят к головокружениям, учащению пульса, повышенной потливости.
Игнорирование данного симптома может обернуться серьезными последствиями.
Остатки зародышевой, плацентарной ткани нередко провоцируют нарушение микробной флоры и размножение патогенных бактерий. В случае развития воспаления болевой синдром становится более выраженным. К нему присоединяются симптомы острого воспалительного процесса:
- серозные выделения из половых путей,
- дискомфорт в области промежности,
- жжение, зуд гениталий.
У пациентки нередко повышается температура, возникает быстрая утомляемость, слабость в суставах, нервозность, раздражительность.
При обращении к гинекологу помимо признаков неполного аборта врач должен основываться на инструментальных и лабораторных методах диагностики.
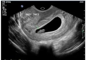
Для уточнения патологии проводится ультразвуковое исследование, на снимке визуализируются отдельные компоненты зародыша или кровяные сгустки. На развитие воспалительного процесса указывает повышенное содержание лейкоцитов при сдачи анализа мазка или крови.
При подтверждении диагноза необходимо удалить остатки плода и разработать антибактериальную терапию. Для решения первой задачи выполняется оперативное выскабливание полости матки под общей анестезией.
остатки после аборта
Воспалительный процесс устраняется посредством антибиотиков. Помимо этого возможно проведение гормональной терапии, некоторым пациенткам требуется остановка кровотечения после аборта медикаментозными препаратами.
Женщины, обнаружившие признаки неполного аборта, должны немедленно обращаться к специалисту для выявления патологии.
Несвоевременное лечение может в дальнейшем отразиться на репродуктивной функции, вызвать бесплодие, послужить причиной нарушений менструального цикла, серьезных гормональных сбоев и развития гинекологических заболеваний (эндометриоз, эндометрит, миома матки и т.д.).
Удаление остатков плодного яйца
Бывает так, что во время аборта или в результате выкидыша плодное яйцо не полностью выходит из полости матки. Это становится причиной развития острого воспалительного процесса – у женщины повышается температура, появляются схваткообразные боли внизу живота, гнойно-кровянистые выделения или даже открывается кровотечение.
Если своевременно не устранить причину воспаления – остаток плодного яйца в матке, это приведет к еще более серьезным нарушениям, которые могут поставить под угрозу жизнь женщины. Поэтому при появлении любых признаков острого воспаления после срыва беременности необходимо в кратчайший срок пройти обследование полости матки.
При обращении пациентки с кровотечением и резкими болями внизу живота доктор первым делом снимает острое воспаление – назначает курс антибиотических препаратов.
После того, как состояние женщины несколько улучшится, гинеколог уже может провести гистероскопическое исследование полости матки и удалить оставшуюся в ней часть плодного яйца.
Перед процедурой гистероскопии женщина укладывается на гинекологическое кресло и накрывается стерильными простынями. Пока анестезиолог вводит наркоз, гинеколог обнажает шейку матки с помощью гинекологического зеркала и проводит обработку промежности, влагалища и шейки матки дезинфицирующим раствором.
Как только анестезия начинает действовать, доктор может приступать к подготовке к осмотру матки – низводит переднюю губу шейки матки и, используя специальный зонд, измеряют длину матки. Далее, с помощью специальных щипцов он расширяет цервикальный канал и вводит в полость матки систему подачи стерильной жидкости.
Промыв матку, гинеколог вводит через цервикальный канал гистероскоп – оптический прибор с лампочкой и камерой – и осматривает стенки матки и область устьев труб. Обнаруживая остаток плодного яйца, доктор выскабливает его, используя специальный инструмент наподобие маленькой ложечки, и выводит наружу через влагалище.
Если плодное яйцо находилось в матке сравнительно долгое время, то оно может врастать в ее эпителий и не отделяться при выскабливании. В таких случаях доктор его удаляет при помощи щипцов.
После удаления яйца врач еще раз осматривает полость матки и, если в ней больше нет никаких очагов воспаления, заканчивает процедуру – выводит гистероскоп, снимает фиксатор шейки матки и вагинальный расширитель.
Пациентка переводится в палату и некоторое время остается под наблюдением врачей.В течение первых дней после удаления плодного яйца у женщины еще могут быть кровянистые выделения и боли.
Но через несколько дней ткани матки восстановятся, и ее состояние придет в норму – боли и выделения прекратятся, температура тела нормализуется.
Удаление очага инфекции остановит развитие патологии эндометрия и предотвратит риск развития более серьезных осложнений.
В клинике “Медистар” ведет прием доктор-гинеколог высшей категории.
Придя к нему на прием, Вы можете пройти точную диагностику Вашей половой системы, и при выявлении какого-либо заболевания эффективное лечение.
При обнаружении остатка плодного яйца доктор быстро и аккуратно его удалит, не причинив вреда матке, и сделает все необходимое, чтобы предотвратить любые возможные после этой процедуры осложнения.
Круглова Дарья Юрьевна
Врач акушер-гинеколог, гинеколог –эндокринолог высшей категории, имеет стаж работы более 27 лет.
Имеет большой опыт в лечении патологии шейки матки. Владеет современными методами оказания экстренной хирургической помощи, в том числе эндоскопическими методами. Имеет большой опыт в проведении гинекологических пластических операций.
Постоянно занимается повышением профессиональной компетентности, ежегодно принимает участие в Международных конгрессах и форумах по патологии шейки матки в г. Москва, врачебных конференциях, изучением специальной медицинской литературы.
Является членом Международной общественной организации «Ассоциация по патологии шейки матки и кольпоскопии», а так же членом Ассоциации акушеров – гинекологов Красноярского края.
•Акушерство и гинекология•Инструментальные методы прерывания беременности (искусственного аборта)
Инструментальные методы прерывания беременности (искусственного аборта)
Инструментальное удаление плода применяют в 97% случаев. При сроках беременности менее 12 нед используют почти исключительно выскабливание.
Метод вакуум-аспирации при сроках 4-6 нед требует меньшего расширения цервикального канала или вовсе не требует его.
В качестве кюретки используют небольшую гибкую канюлю (4, 5 или 6 мм в диаметре), хотя можно применять и жесткую пластиковую кюретку (6 мм) или металлическую кюретку, предназначенную для аспирационной биопсии эндометрия.
Канюлю подсоединяют к вакуум-генератору (обычно им служит механический или ручной вакуумный насос, иногда — вакуумный аспиратор), а затем вводят в матку через цервикальный канал и осторожно, но тщательно удаляют содержимое полости матки. В первые недели неудачи в прерывании беременности этим методом бывают чаще, чем в более поздние сроки.
После 7-й недели для аборта обычно требуется расширение шеечного канала (используют аспирационную кюретку большего диаметра, поскольку плод увеличивается).
Мягкое расширение достигается с помощью конусных расширителей возрастающего размера, пока отверстие не станет достаточным для введения канюли желаемого диаметра. Размер одноразовых канюль обычно соответствует сроку беременности.
Так, на 8-й неделе применяют канюлю диаметром 8 мм, а на 12-й — канюлю с максимальным диаметром 10 мм. Чтобы уменьшить опасность повреждения шейки при ее механическом расширении, часто применяют высушенные морские водоросли (ламинарию) или другие расширяющие агенты, набухающие за счет осмоса.
Их вводят через внутреннее отверстие цервикального канала и оставляют там на 4-5 ч, обычно на ночь. Набухание растительного материала и/или обусловленная этим стимуляция освобождения простагландинов приводит к расширению цервикального канала.
При сроке беременности более 12 нед чаще всего применяют расширение (шейки матки) и удаление (плода); эта процедура постепенно вытесняет медикаментозное прерывание беременности, так как дает меньше серьезных осложнений. До 1979 г.
женщинам со сроком беременности 13-15 нед приходилось ждать до 16 нед, когда наиболее эффективна искусственная стимуляция матки.
В настоящее время расширение и удаление особенно часто применяют в сроки 13-15 нед; одновременно этот метод заменил введение гипертонических растворов в амниотическую полость между 16-й и 20-й неделями.
При этой процедуре (после 12 нед беременности) шейку обычно расширяют повторным введением ламинарии или других осмотических расширяющих средств, щипцами рассекают и удаляют плод и с помощью аспирационной канюли диаметром 14-16 мм отсасывают амниотическую жидкость, плаценту и остатки плода.
Неполный аборт: признаки неполного прерывания беременности, лечение, осложнения

Случается, что женщина решает прервать беременность по определенным причинам. Чаще всего прибегают к медикаментозному способу, который проводится самостоятельно на раннем сроке беременности. Этот метод, как и остальные, считается опасным, поскольку возможен неполный аборт.
Что такое неполный аборт
При искусственном прерывании беременности, независимо от вида вмешательства, может возникнуть осложнение. Плодное яйцо частично или полностью остается внутри детородного органа.
Оставшиеся в матке ткани эмбриона из-за разложения провоцируют развитие инфекционных патологий или мясистого заноса (уплотненные сгустки крови). Образование красно-желтого цвета появляется в плодном яйце на месте омертвевшего эмбриона. Оно может быть размещено и в полости матки, и в трубе при внематочной беременности.
Патология возникает после 12 недель беременности, а при фармацевтическом аборте, спустя несколько недель после принятия таблетки.
Влияние на организм
Если плодное яйцо выведено из матки не полностью, а за помощью пациентка обратилась с опозданием, то возможно развитие обильного кровотечения. В некоторых случаях это состояние способно привести к развитию анемии или сепсиса (заражение крови).
При присоединении инфекции потребуется длительное лечение. Не исключено нарушение детородной функции при самопроизвольном аборте.
Причины
Обычно полному отхождению остатков плодного яйца препятствует недостаточное раскрытие шейки матки, наличие связи частей плода либо его оболочек с маточной стенкой.
Непосредственными причинами считаются:
- Ошибка врача. Некачественно проведенный аборт, или медпрепараты для медикаментозного прерывания назначены неправильно.
- Сбой гормонального фона. Медикаментозное прерывание, проведенное после 12 недель беременности.
- Наследственность. Организм беременной не способен полностью справиться с нагрузкой, возложенной на него.
- Воспалительные процессы. При присутствии любой инфекции организм может неправильно отреагировать на медикаментозное прерывание.
- Пищевое отравление. Часть лекарственного средства для прерывания нежелательной беременности будет выведено, если принимались препараты, нейтрализующие токсины.
- Аномалии строения матки. Это препятствие для свободного изгнания плода из органа.
Вероятность выкидыша повышена у женщин с хроническим эндометритом, ранее перенесенными абортами и диагностическим выскабливанием, которое проводится для выявления патологий матки.
Факторы риска
Незавершенный аборт — явление нераспространенное, но одной женщине из ста может не повезти.
https://www.youtube.com/watch?v=cmi5KjkDjHg
Риск существует по ряду причин:
- ошибка гинеколога, имеющего низкую квалификацию;
- гормональный фон, не провоцирующий сокращение матки и выталкивание остатков;
- отсутствие двойного УЗИ (ультразвукового исследования) обычным и вагинальным способом.
Это серьезное осложнение о себе заявляет сразу. При первых признаках нужно обратиться к гинекологу.
Последствия вмешательства:
- повышенная возможность травмирования и инфицирования половых органов;
- большая кровопотеря;
- гнойный сепсис и заражение крови;
- потенциальные проблемы с перенесением анестезии;
- повышенная вероятность несчастного случая из-за возможности обморока и общей слабости.
Повторное выскабливание — также дополнительная нагрузка не только на репродуктивные органы женщины, но и организм в целом.
Симптомы
Признаки неудачного прерывания появляются сразу или через несколько суток. Боли схваткообразного характера и дискомфорт внизу живота женщины считают нормальным состоянием, начинают принимать обезболивающие препараты. Это неправильно.
Необходимо обратить внимание и на другие признаки неполного медикаментозного прерывания беременности:
- обильное кровотечение;
- повышенную температуру тела;
- усиливающуюся болезненность при половом контакте;
- общую слабость, озноб;
- боль отдает в крестец и промежность.
На фоне продолжительного кровотечения, появляется головокружение, учащается пульс, повышается потливость. Фрагменты плаценты или ткани эмбриона при разложении приводят к размножению патогенных бактерий и нарушению микрофлоры.
С течением времени будут заметны более выраженные признаки:
- слабость в суставах;
- раздражительность, нервозность;
- серозные выделения;
- зуд, жжение гениталий;
- резкий и гнилостный запах из влагалища;
- болезненность в области промежности.
Гинеколог выявляет мягкую консистенцию органа при осмотре. Подтверждают развившийся негативный процесс клинические и биохимические анализы мочи и крови, трансвагинальное УЗИ (ультразвуковое исследование).
Диагностика
Только при проведении комплексной диагностики можно определить наличие остатков эмбриона.
Программа диагностики включает:
- измерение давления;
- общий анализ крови и на содержание глюкозы;
- пробы на биосовместимость крови супругов;
- ультразвуковое исследование (УЗИ);
- анализы на ЗППП и гормоны, вырабатываемые щитовидной железой;
- анализы генетические (по назначению врача).
Проводится визуальный осмотр шейки матки и пальпация. Внутренний зев ее будет расширен, плодный остаток в наличии. УЗИ определит его объем и локализацию, а также общее состояние репродуктивных органов. Биохимический анализ крови расскажет о функционировании органов и систем пациентки.
Лечение
При появлении первых признаков незавершенного выкидыша должна быть оказана неотложная помощь.
При интенсивном кровотечении устанавливают венозный катетер большого диаметра для введения раствора медикаментов. Обычно используется Окситоцин. Назначается обезболивающий препарат — Ибупрофен. Повышенная температура тела снижается жаропонижающими медикаментами.
Кроме того, обязательно нужно удалить остатки плода.
Обязательное
Терапия неполного медаборта начинается непосредственного после постановки диагноза.
Выполняется несколькими способами:
- Медикаментозная терапия. Назначаются лекарственные средства, провоцирующие отторжение остатков тканей. Проводится такое лечение, если проблема выявлена на 5-6 день.
- Вакуумная аспирация. Показана, когда после выкидыша прошло более 2-х недель. Остатки плодного яйца отсасываются безболезненно специальным аппаратом. Процедура проводится под анестезией, занимает мало времени.
- Хирургическое выскабливание. Выполняется под местным или общим наркозом течение получаса. Проводятся исследования гормонального фон, назначается антибактериальная терапия.
Дополнительное
В послеоперационном периоде по показаниям используют нестероидные противовоспалительные средства. Если неполный выкидыш или индуцированный (до 20 недель) аборт диагностированы у женщины с отрицательным резус-фактором крови, назначают иммуноглобулин. Это предотвратит возможный самопроизвольный выкидыш при планировании беременности в дальнейшем.
В течение 15 дней после чистки женщина должна отказаться от половых контактов, введения во влагалище тампонов, свечей, а также спринцеваний. Контрольный осмотр будет выполнен через 2 недели.
Психологическая помощь
Женщинам с субдепрессивными и невротическими расстройствами, связанными с неожиданной потерей желанного ребенка, назначают легкие седативные средства, слабые антидепрессанты.
Пациентка должна посещать сеансы психотерапии. Они могут включать беседы, упражнения, обсуждения проблемы. Немедикаментозная коррекция эмоциональных нарушений может быть кратковременной или занимать длительный период.
Возможные осложнения
В большинстве случаев организм самостоятельно стремится освободиться от оставшихся плодных частей. Но нельзя исключать полностью последствия выкидыша, случившегося на поздних сроках.
Среди осложнений встречаются:
- Септический аборт. Инфекционное поражение матки приводит также к сильнейшему воспалению в области малого таза.
- Повторный выкидыш. Возможен при неграмотно организованной терапии во время первой неудавшейся беременности.
Следующая беременность должна наблюдаться более тщательно. При необходимости женщина госпитализируется на сохранение, чтобы исключить повторение трагедии.
Прогноз на выздоровление
Прогноз при раннем выкидыше в большинстве случаев благоприятный. Риск повторного самопроизвольного прерывания беременности возрастает незначительно.
Если не удалось выявить причину раннего выкидыша, повторная беременность проходит благополучно в 65% случаев.
Специфической профилактики не существует. Если есть огромное желание иметь ребенка, то рекомендуется посетить специализированные центры и получить консультация врача-генетика.
Советы врачей
После неудачного вынашивания плода нельзя отчаиваться. Нужно соблюдать четко все рекомендации лечащего врача, причем еще до зачатия. Надо избегать чрезмерных нагрузок на живот, исключить прием алкоголя даже в малых дозах, регулярно посещать врача и своевременно принимать назначенные медикаменты. При правильном подходе радость материнства будет обеспечена.
Если после выкидыша беременность не наступает или прерывания постоянно повторяются, то необходимо обследоваться с целью выявления причины. Иногда провоцирует выкидыш передозировка некоторых витаминов, особенно А и D. Врач должен быть осведомлен о приеме препаратов, содержащих их.
Иногда бывает достаточно сделать прививку от инфекционных болезней (краснуха, ветрянка).
Беременность после неполного аборта
Если аборт завершился без негативных последствий для организма женщины, то планировать следующую беременность можно только после обследования, согласовав сроки с гинекологом. Для полного восстановления организму требуется не менее 6 месяцев.
При пренебрежении рекомендациями врача можно спровоцировать осложнения:
- угрозу прерывания беременности;
- неправильное прикрепление плодного яйца;
- внутриутробную задержку развития плода.
Роды будут сопровождаться бессилием, слабостью, кровотечением. В послеродовой период часто возникают инфекционно-септические осложнения.
В видео рассказывается о признаках и лечении неполного выкидыша.
Источник: https://beremenno.ru/preryvanie-beremennosti/medikamentoznoe/nepolnyy-abort.html
Почему начинается отслоение плодного яйца и что делать?

Беременность на ранних сроках больше всего подвержена риску. Большинство выкидышей происходит именно на первых неделях беременности. Поэтому новоиспеченным будущим мамам следует себя беречь уже с первых дней.
Причиной самопроизвольного аборта на раннем сроке беременности может стать отслойка плодного яйца. Вернее, она является его первой стадией.
Плодное яйцо начинает отторгаться от хориона, здесь образуется ранка вследствие повреждения сосудов, за плодной оболочкой скапливается кровь, образуя гематому, из-за чего это явление в акушерстве называется еще ретрохориальной гематомой.
Это кровяное образование может увеличиваться и еще больше способствовать отслойке плодного яйца. В конечном счете, происходит его полное отторжение и гибель.
Если не предпринять никаких мер, то почти что наверняка, что беременность прервется. Однако своевременное лечение в большинстве случаев может остановить процесс.
Причины отслойки плодного яйца на ранних сроках беременности
Почему плод начинается отторгаться в каждом конкретном случае, выяснить практически невозможно. Но причин, способствующих такому начинающемуся выкидышу, может быть большое множество:
- гормональные нарушения (в частности, недостаток прогестерона в организме женщины);
- стрессы, эмоциональные потрясения;
- чрезмерные физические нагрузки;
- патология строения и развития матки;
- гинекологические заболевания;
- опухоли различного происхождения;
- перенесенные инфекционные и вирусные заболевания;
- пороки развития плода;
- резус-конфликтная беременность;
- употребление алкоголя;
- проведение искусственных абортов в прошлом;
- прочие неблагоприятные факторы (бытовые, экологические, производственные).
Предугадать отслойку, к сожалению, не представляется возможным, но произойти подобное может с любой из беременных. Поэтому каждая из них должна быть крайне внимательной к себе и сразу же реагировать при появлении любых подозрительных признаков.
На вероятное отторжение плода в первую очередь укажут тянущие боли внизу живота, которые могут отдавать в поясницу как при месячных, сопровождающиеся кровянистыми выделениями.
Следует незамедлительно ехать в больницу, если вы обнаружили следы крови на белье (при отслойке они имеют кофейный или сукровичный цвет).
Коричневые выделения говорят о том, что гематома начинает уже рассасываться, но не исключен повторный надрыв, поэтому, если вы не желаете испытывать судьбу, то лучше обратиться за врачебной помощью. Обычно отслойку диагностирую на УЗИ.
К слову, бытует мнение, что на начальном этапе беременности происходит естественный отбор. И если плод является полноценным и самодостаточным, то он выживет без посторонней помощи. В процессе его борьбы за жизнь отслойка может повторяться по нескольку раз, но в конечном итоге плодное яйцо надежно закрепляется и начинает благополучно расти и развиваться.
В общем, не все женщины предпочитают ложиться на сохранение при отслойке плодного яйца на ранних сроках. Однако врачи настаивают: риски прерывания беременности из-за начавшегося отторжения плода без лечения невероятно высоки.
Лечение отслойки плодного яйца
Если подозрения отслойки плодного яйца будут подтверждены, женщину, безусловно, кладут в больницу. Отслойка лечится стационарно и под наблюдением врачей, хотя вы вправе отказаться от госпитализации.
Самое важное при начавшейся отслойке – это полный покой беременной женщины. Нельзя не только выполнять мало-мальски тяжелую работу, но даже ходить. Брюшная стенка должна находиться в абсолютно расслабленном состоянии, а это возможно только в положении лежа.
При выполнении любых действий она хоть в самой малой степени, но все же напрягается, а при ходьбе еще создается вибрация и в любом случае усиливается внутрибрюшное давление, что также приводит матку в тонус и может лишь ускорить отслоение.
Вдобавок ко всему врач может порекомендовать вам подкладывать под ягодицы подушку или валик, чтобы обеспечить отток крови с области таза.
Слишком активная перистальтика кишечника сейчас также представляет определенную опасность, из-за чего женщине назначается щадящая диета с исключением из рациона продуктов, которые крепят, слабят и вызывают газообразование, а также кофе и чая.
О половых контактах и говорить не приходится: любой секс при угрозе прерывания беременности категорически запрещен!
Не меньшее значение имеет и эмоциональный покой будущей мамы. Необходимо исключить любой стресс и переживания из жизни женщины.
К сожалению, без медикаментов тоже не обходится, но они помогают сохранить беременность, говорят врачи.
Это могут быть кровоостанавливающие препараты (Этамзилат), спазмолитики (Но-шпа, Папаверин, Магне В6), успокаивающие (преимущественно Экстракт валерианы), витамины (главным образом, фолиевая кислота и витамин Е), гормональные препараты (Дюфастон, Утрожестан) и прочие. Все назначения должен делать лечащий врач.
Длительность лечения в каждом индивидуальном случае будет отличаться, но она составит не менее двух недель. Во многом она зависит от степени соблюдения женщиной всех врачебных предписаний. Так что если хотите быстрейшего улучшения, то выполняйте их в строгости.
В дальнейшем беременная, у которой на ранних сроках была отслойка плодного яйца, должна находиться под строгим врачебным контролем до самого конца вынашивания. Не пренебрегайте плановыми осмотрами и обследованиями. Гинекологи говорят, что повышенные риски рецидивов сохраняются, пока плацента не завершит своего формирования.
Специально для beremennost.net — Елена Кичак
Источник: https://beremennost.net/otsloika-plodnogo-yaitsa
Остатки плодного яйца после медикаментозного прерывания беременности: симптомы неполного аборта

- Последствия медикаментозного аборта
- Опасность вакуум-аспирации
- Хирургический аборт и его осложнения
- Самопроизвольный аборт
Аборт не является полностью безопасной процедурой, даже его новейшие методики могут иметь опасные последствия. Чем позже срок его проведения, тем более опасные осложнения могут быть. Чтобы их избежать, нужно разумно подходить к вопросам контрацепции. Но если возникла необходимость прервать беременность, то следует позаботиться об этом на ранних сроках, когда осложнения минимальны.
Первые симптомы осложнений после прерывания беременности
статьи
Симптомы осложнений проявляются не сразу, а через несколько лет, поэтому пациентки не связывают их с давно сделанным абортом.
Хотя, при детальном рассмотрении ситуации, оказывается, что признаки нарушений все-таки были — каждая вторая женщина фиксировала нарушение менструального цикла или испытывала симптомы воспаления, но не считала нужным показываться гинекологу, списывая это на нормальную реакцию организма на прерывание беременности..
Ещё один симптом нарушений — гнетущее чувство вины. Конечно, сделав аборт, любая женщина будет переживать.
И это естественно — можно было предохраняться и не допустить такой ситуации, но такое состояние не должно выходить за рамки раскаяния и выводов на будущее.
Если же стресс и тяжелые мысли не отпускают — значит психологическое состояние усугубляет гормональный сбой, связанный с перегрузкой гипоталамо-гипофизарной системы.
В этом случае гормоны уже выделяются не циклически, как необходимо в норме, а непрерывно. Так в нормальном состоянии гормоны ФСГ и ЛГ должны производиться и быть активными в определённые часы. При нарушении ритм сбивается. Повышенная концентрация гормонов в крови вызывает активизацию яичников и нарушение выработки эстрогена.
Женщина, которая перенесла аборт, не важно на каком сроке, должна привести в норму не только своё тело, но также восстановить соматическую сферу.
Показания
Медицинский аборт всегда производится по показаниям. В большинстве стран для этой манипуляции в первые три месяца беременности достаточно только желания женщины.
Для совершения искусственного прерывания беременности в поздние сроки (от 13 до 22 недель) необходимо наличие строго регламентированных показаний: медицинских или социальных. Их перечень утверждается министерством здравоохранения. Примерами таких показаний могут быть:
- Грубые пороки развития плода.
- Внутриутробная гибель плода.
- Серьезная угроза здоровью или жизни матери (активная стадия туберкулеза, декомпенсированные пороки сердца, терминальная стадия цирроза, ВИЧ (СПИД) и другие заболевания и патологические состояния).
- Тяжелые психические заболевания, наркомания.
- Онкологическая патология (рак) любой локализации.
Также медицинский аборт может производиться и по социальным показаниям. Например, когда беременность является следствием изнасилования.
В некоторых странах (Чили, Никарагуа, Сальвадор и др.) аборт классифицируется как преступление, равное убийству. То есть, на территории этих стран никаких показаний к аборту не существует. В других государствах медицинский аборт может быть произведен лишь в исключительных случаях, например, с целью спасения жизни беременной.
Когда нужно обратиться к гинекологу — эндокринологу
Восстановительный период после аборта — обязательная процедура даже если аборт прошел удачно. Пациентка должна наблюдаться у гинеколога на протяжении всего периода, пока не восстановится менструальный цикл (15-40 дней).
Опасность последствий аборта в том, что они не всегда проявляются сразу после процедуры. Бывает и так, что гормональный сбой происходит спустя какое-то время на фоне обострения заболеваний, которые пациентку давно не беспокоили.
Наблюдение у врача после аборта — необходимое условие восстановления, иначе возможны следующие проблемы со здоровьем:
- сбой менструального цикла, нарушение овуляции;
- сильные маточные кровотечения;
- анемия на фоне большой потери крови;
- набор веса;
- проблемы с кожей;
- депрессивное состояние, перепады настроения;
- утомляемость, апатия.
Если не обращать внимание на признаки гормонального сбоя, то легкие симптомы переходят в тяжёлые гормонозависимые заболевания: фибромиома матки, поликистоз яичников, сальпингит, оофорит, эндометрит.
На их фоне часто ставится диагноз — бесплодие. Такой исход не редкость и характерен именно для тех пациенток, кто пренебрегал рекомендациями гинеколога и легкомысленно отнёсся к восстановительному периоду.
Противопоказания
Для проведения процедуры искусственного прерывания беременности имеются и противопоказания. Общими из них для всех видов аборта являются:
- Острая инфекционная патология.
- Воспалительные процессы гениталий.
- Срок беременности 22 недели и более.
Также существуют свои противопоказания и для конкретного метода медицинского аборта.
Отдельного обсуждения требует беременность у женщин с отрицательным резус-фактором крови. Следует знать, что аборт в таком случае может значительно повышать риск резус-конфликта в будущем. Поэтому таким женщинам следует очень взвешенно подходить к решению прервать беременность, особенно если она первая.
Маточные кровотечения после аборта: нормальные и патологические
Матка после аборта в норме начинает сразу сокращаться и принимать первоначальную форму. Однако на месте прикрепления плодного яйца образуется ранка, которая требует некоторого времени для восстановления эндометрия и заживления. Поэтому кровотечения после аборта — нормальное явление, но их интенсивность не должна превышать обычные месячные.
В норме кровянистые выделения разной интенсивности и насыщенности наблюдаются в течение месяца после аборта. Тревогу должны вызывать как неестественно сильные выделения, так и их отсутствие.
Источник: https://gp195.ru/zhenshchinam/oslozhneniya-posle-aborta.html
Что такое неполный аборт?
Абортом называется спонтанное или искусственное прерывание беременности на сроке менее 22 недель. При неполном аборте плодное яйцо погибает, отслаивается от стенки матки, но полностью или частично остается в ее полости. Выделяют три вида неполного аборта:
- Неполное медикаментозное прерывание беременности. Осложнение, возникающее на фоне приема гормональных таблеток с целью провоцирования выкидыша. Такая патология встречается в 2-5% случаев.
- Неполный аборт при вакуум-аспирации. Процедура выполняется до 6 недели беременности с использованием вакуумного аппарата, «высасывающего» эмбрион с околоплодными оболочками из матки. Частички зародыша остаются в органе крайне редко, врачи считают данный метод абортирования наиболее безопасным.
- Неполный аборт при выскабливании. Если беременность нужно прервать на сроке больше 6 недель, требуется хирургическое вмешательство. Процедура выполняется под наркозом, врач удаляет верхний слой эндометрия вместе с плодными оболочками. Осложнения после данного метода встречаются крайне часто.
Остатки плодного яйца могут сохраниться в матке и при самопроизвольном прерывании беременности, которое случается по разным причинам и заканчивается выходом эмбриона или родами нежизнеспособного плода.
При отслойке плаценты начинается сильное кровотечение, с помощью которого организм пытается избавиться от погибшего плода.
Матка в некоторых случаях самоочищается, но чаще всего женщине требуется выскабливание.
По каким причинам он происходит?
Обычно полному отторжению остатков эмбриона и плодных оболочек мешают особенности строения матки, неполное раскрытие ее шейки или наличие связи плода со стенками органа. Основными причинами неполного аборта являются:
- ошибка врача при выполнении процедуры;
- отсутствие контроля УЗИ до или после хирургического вмешательства;
- гормональные нарушения, ухудшающие сокращение матки и изгнание эмбриона;
- наследственный фактор;
- воспаление;
- аборты или диагностическое выскабливание в анамнезе;
- гипоплазия матки;
- хронический эндометрит;
- выполнение процедуры на поздних сроках;
- злоупотребление пациенткой спиртными напитками и прием наркотиков.
В группу риска по возможности возникновения такого осложнения, как неполный аборт, входят женщины с поликистозом яичников, сахарным диабетом, болезнями надпочечников и ожирением. Если в матке сохранились частицы эмбриона, может произойти заражение, что потребует дополнительной хирургической чистки органа. Осложнения при отсутствии лечения могут привести к бесплодию, сепсису и даже смерти.
Симптомы неполного аборта
После самопроизвольного или искусственного аборта у женщины сразу исчезают все признаки беременности. Если была проведена хирургическая операция и эмбриональные ткани удалили не полностью, симптомы незавершенного аборта проявятся уже через несколько часов. При медикаментозном неполном аборте женщина почувствует недомогание спустя 1-2 недели. Признаки патологии:
- спазмы или тянущие боли внизу живота, иррадиирующие в поясницу;
- боль при прощупывании живота;
- кровотечение из влагалища; в крови возможно присутствие фрагментов плода;
- интоксикация;
- повышение температуры.
Части зародыша и плодных оболочек постепенно разлагаются, приводя к нарушению микрофлоры внутренних половых органов. При отсутствии лечения присоединяется инфекция, о которой свидетельствует появление ярко выраженных симптомов:
- боль в промежности;
- зуд гениталий;
- серозные выделения с гнилостным запахом;
- увеличение температуры до 38°С и выше;
- слабость в суставах;
- головокружения и обмороки.
При появлении первых симптомов, вызывающих опасение, женщина должна обратиться в больницу. Основными методами диагностики состояния являются гинекологический осмотр и УЗИ.
Методы лечения
Если после медикаментозного, вакуумного или другого вида аборта в матке были обнаружены эмбриональные ткани, потребуется хирургическая чистка ее полости.
Во время проведения процедуры пациентке внутривенно вводят антибиотики и растворы для устранения интоксикации.
Использовать медикаменты для искусственного провоцирования схваток малоэффективно – частицы плода могут выйти не полностью, к тому же это вызывает сильные боли.
Остатки сохранившегося плодного яйца удаляют при помощи выскабливания, как при классическом аборте. Для остановки кровотечения пациентке делают инфузии Окситоцина в комбинации с раствором Рингера или натрия хлорида. При значительной потере крови назначаются гемостатики. Для дальнейшего лечения используются:
- жаропонижающие медикаменты (Ибупрофен);
- обезболивающие средства (Но-шпа);
- антибиотики (Цефтриаксон, который колют внутримышечно 7 – 10 дней);
- противогрибковые лекарства;
- препараты железа;
- анти-Rh0(D)-иммуноглобулин (при отрицательном резус-факторе у женщины);
- пробиотики.
При нормальном состоянии пациентки гинеколог проводит контрольный осмотр через 2 недели. На это время женщина должна отказаться от интимных контактов, использования тампонов и свечей. Для нормализации гормонального фона и работы репродуктивной системы специалист назначит оральные контрацептивы, которые нужно пить в течение 4-6 месяцев.
Источник: https://www.OldLekar.ru/beremennost/prerivanie/simptomy-posle-aborta.html
Как убирают замершую беременность, какие процедуры проводятся?

Не всегда беременность заканчивается рождением здорового малыша. В некоторых случаях женщина переживает сложнейшую психологическую и физическую травму: происходит замирание беременности. Несостоявшийся выкидыш или замирание развития плода внутриутробно — опасно ли это для женщины, может ли плод выйти самостоятельно, и какие процедуры проводятся после установления диагноза?
Неразвивающаяся беременность – это остановка развития зиготы или эмбриона внутри тела матки. В зависимости от классификации несостоявшегося выкидыша отличается и комплекс необходимых процедур в дальнейшем.
Так, по результатам исследования УЗД, на основании сданного анализа АПФ белков врачи разделяют два типа замершей беременности:
- анэмбриония (1-го и 2-го типа);
- гибель эмбриона.
Как показывает практика, в 85% случаев замирание развития плода происходит до 10 недели вынашивания. Вплоть до 6 недели оплодотворённая клетка (зигота) находится в плодном яйце, которое уже прикрепилось к стенке плаценты в матке. Если происходит замирание на ранних сроках, то речь идет, скорее всего, об анэмбрионии первого или второго типа.
При первом типе зародыш не визуализируется, плодное яйцо не более 2,5 см, а размер тела матки соответствует 6 неделе беременности. При этом типе останавливается развитие и плода, и плодного яйца.
При втором типе анэмбрионии плодное яйцо развивается, в то время как ребенок уже нет. Остатки эмбриона не визуализируются, а размер плодного яйца соответствует 12 неделе беременности (примерно 4,5 см).
Замершая беременность может самостоятельно выйти в случае анэмбрионии на ранних сроках беременности (до 6 недель), и тогда назначается только дополнительная медикаментозная гормональная симуляция для сокращения матки. В случае же гибели эмбриона всегда назначается чистка.
Прерывание беременности при патологии
Замирание плода считается полиэтиологическим осложнением каждой десятой беременности в случае, если женщина находится в группе риска (возраст 35+, инфекционные или наследственные заболевания, аномалии развития матки).
В случае выявленного отклонения развития плодного яйца или эмбриона эхографическим методом врач назначает сдачу крови на анализ уровня ХГЧ и концентрации белка АПФ, а также повторное исследование, которое проводится через несколько дней.
Если все проведённые исследования показали наличие проблем (замирание, несоответствие срокам плодного яйца, отсутствие визуализации эмбриона), то принимается решение о прерывании беременности. Как убирают погибший плод расскажет врач.
В зависимости от срока вынашивания методы воздействия будут отличаться. Так, на ранних сроках целесообразно назначить медикаментозное воздействие, а при полном или неполном выкидыше на сроке позднее 7 недель важно пройти процедуру гинекологического выскабливания, чистку.
С помощью медикаментов
После остановки развития беременности на ранних сроках рекомендовано использовать щадящий вариант эвакуации плодного яйца из тела матки с помощью медикаментозного воздействия. Принцип воздействия медикаментов схож со стимуляцией родовой деятельности, при которой происходят схваткообразные сокращения матки, все, что находится внутри, выталкивается наружу.
Как показывает практика, при отсутствии профессионального лечения после замершей беременности появляется риск формирования воспалительного процесса, эндометрита, как результат – бесплодие и невынашивание беременности в будущем.
Хирургическое выскабливание
Хирургическое выскабливание назначается женщинам, у которых диагностирована замершая беременность после 9 недели вынашивания. Существует старая практика, при которой не рекомендовано было проведение выскабливания на сроках до 12 недели. Однако на фоне остатков тканей в полости матки есть риск развития воспалительного процесса.
Удаление замершего плода
При замершей несостоявшейся беременности сроком до 16 недель проводится эвакуация плода одновременно с инструментальным опорожнением. Врач приглашает анестезиолога, который вводит пациентке обезболивающие препараты общего воздействия.
После действия медикаментов-анестетиков гинеколог открывает шейку матки женщины (расширение цервикального канала) и проводит вакуум-аспирацию или полноценный аборт.
Выскабливание
Выскабливание – это полноценный процесс абортирования (извлечения) плода и места плодного яйца из тела матки. Применяется данная методика в тех случаях, когда срок беременности более 10 недель, а плод уже в достаточной степени сформировался. Процедура также проводиться под воздействием анестетиков внутривенно или при помощи маски.
Чистка
Чистка – это процедура извлечения остатков плода или плодного рассосавшегося яйца. Назначается в том случае, когда плод частично абортировался, а в теле матки остались частицы, которые еще нужно извлечь.
После проведения оперативного извлечения плода из тела матки, женщине прикладывают лед к низу живота, чтобы усилить сокращения. Поэтому женщина чувствует некоторое время неприятную ноющую боль, которая устраняется с помощью спазмолитиков внутривенно или перорально.
Неразвивающаяся беременность, остановка в развитии плода или самопроизвольное абортирование – это не только стресс для женщины, но и риск для её организма. Помимо колоссальной гормональной перестройки организму стоит преодолеть сопутствующие проблемы:
- процесс восстановления;
- сокращение матки;
- эмоциональное осознание.
После неразвивающейся беременности рекомендовано провести комплекс мероприятий, направленных на установление причин произошедшего, в частности гистологию плода. Лечение лекарственными препаратами заключается в применении комплекса медикаментов противовоспалительной группы воздействия, антибактериального и, при необходимости, седативного влияния.
Процедуры, через которые проходит женщина при диагностированной неразвивающейся беременности, – мероприятие морально тяжелое. Однако это необходимо пережить, ведь без очистки и лечения невозможно будет гарантировать возможность наступления беременности в будущем.
Источник: https://formama.online/zamershaya-beremennost/kak-ubirayut-zamershuyu-beremennost/