Замершая беременность. Возможна ли ошибка УЗИ?

Замирание плода (его гибель) возможно до 20 недели беременности. В чем заключается суть замершей беременности? Ответ прост: «По различным причинам происходит внутриутробная гибель эмбриона.» Обычно замершая беременность становится предпосылкой для выкидыша. Погибший плод отторгается организмом (но это не во всех случаях).
При постановке данного диагноза специалисты должны провести неоднократные диагностики. Изначально при проявлении симптомов данной патологии, врачи направляют беременную на дополнительное ультразвуковое исследование.
Каждая женщина в положении надеется на то, что диагноз замершая беременность ошибка УЗИ и не более. Естественно будущих матерей волнует вопрос о точности УЗИ и возможности допущения ошибки при ультразвуковом исследовании. Может ли УЗИ ошибиться при определении замирания эмбриона?
Причины замирания плода
Причиной замершей беременности может быть:
- Хромосомная ошибка;
- Антифосфолипидный синдром, заключающийся в комплексе нарушений, при котором в организме образуются антитела с собственными фосфолипидами.
- Анэмбриония;
- Резус-конфликт;
- Гормональные расстройства;
- Инфекционные заболевания;
- Вредные привычки, среди которых не только курение ил алкоголь, но и кофе;
- Лишний/недостающий вес;
- Прием гормональных препаратов;
- Патологии матки;
- Беременность при помощи ЭКО.
Самой распространенной причиной замирания плода на ранних сроках беременности согласно статистике считается генетический сбой, влияющий на развитие эмбриона. Учитывая тот факт, что самые важные процессы, связанные с формированием основных систем, а также внутренних органов происходят на первых этапах беременности, именно хромосомные ошибки в это время становятся летальными для ребенка.
К сожалению генные патологии могут возникать у эмбриона даже в том случае, когда родители абсолютно здоровы. Чаще всего по данной причине замирание плода происходит в течение периода с 2 по 8 неделю. Реже встречается замершая беременность уже после 13-й недели.
Какие признаки замершей беременности?
Женщины, которые входят в группу риска с вероятностью замирания плода обеспокоены тем, как же определить гибель эмбриона. Ведь очень часто данная патология совершенно бессимптомна. Женщина может не ощущать боли или каких-либо изменений в самочувствии. Выкидыш может случиться по истечению нескольких дней-недель после гибели эмбриона.
Подозрение на остановку в развитии беременности может возникнуть в следующих случаях:
- Начало кровяных выделений;
- Болезненные ощущения в области низа живота, спины;
- Резкое прекращение присутствующих симптомов токсикоза (не во всех случаях);
- Повышение температуры выше 37,50С (только при развитии воспалительного процесса);
- Исчезновение болезненности груди.
Однако не стоит паниковать сразу же при обнаружении одного или нескольких из вышеперечисленных симптомов. Они могут возникать и при нормальном течении беременности. Главное дать знать наблюдающему вас акушеру-гинекологу о появлении жалоб.
Первый триместр
В разных семестрах замирание плода имеет отличительные симптомы. В первом триместре может внезапно прекратиться токсикоз (примерно за сутки).
Проявляется размягчение молочных желез. Этот симптом женщине заметен, потому что с момента зачатия малыша отмечается увеличение, болезненность молочных желез. В то же время данный симптом остается сомнительным, как и любой другой (кроме УЗИ, крови на ХГЧ).
Снижение базальной температуры в результате уменьшения количества прогестерона. Ошибка результатов бывает в случае болезни, приема гормональных препаратов.
Отсутствие эмбриона при проведении ультразвукового исследования. Но УЗИ тоже может ошибиться. Рекомендовано проходить его после 5-6 недель, ведь на этом сроке сердцебиение плода отчетливо видно. Специалисты советуют подождать с чисткой матки и провести диагностику через 1-2 недели.
Второй триместр
Главным признаком неразвивающейся беременности становится прекращение шевелений малыша. Конечно же не стоит волноваться если ребенок не шевелится день или сутки. Если же они не наблюдались в течение более длительного времени, идите к врачу. Так вы избавитесь от лишних волнений. Разрешение ваших тревог заключается в проверке сердцебиения малыша при помощи акушерского стетоскопа.
Выделение значительного количества молозива, а через некоторое время и молока. Эти симптомы проявляются на сроке свыше 25 недель. Но если кроме данного симптома других нет не стоит беспокоиться. При наличии шевелений плода – это просто подготовка организма к грудному вскармливанию.
Остановка в росте матки.
УЗИ-диагностика при подозрении на замершую беременность
Диагноз замершая беременность никогда не ставится специалистом только по наличию у беременной вышеперечисленных симптомов. Женщине обязательно назначают дополнительное обследование. Так как самым эффективным способом диагностики остановки развития эмбриона считается ультразвуковая диагностика, именно ее и рекомендуют пройти беременной.
УЗИ позволит не только определить/опровергнуть замершую беременность, но и в случае гибели плода, установить срок его замирания. Диагностику врачи назначают только после 6-7 недели беременности. При обследовании на более ранних этапах развития эмбриона, сведения полученные посредством УЗИ могут быть недостоверными.
Обнаружение замершей беременности на очень ранних сроках правдивое в следующих случаях:
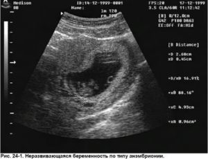
- Эмбрион не был обнаружен, хотя размеры плодного яйца более 20 мм. В этом случае ставится диагноз анэмбриония. При нормальном течении беременности уже на 7-й неделе размеры эмбриона достигают 20 мм;
- Отсутствие сердечной деятельности эмбриона, размер которого достигает 16 мм (при трансвагинальном обследовании) или же 25 мм (при трансабдоминальном исследовании).
Бывают случаи, когда врач сомневается в точности полученных результатов. Тогда специалист назначает повторное обследование уже по истечению недели-второй.
На качество результатов влияет как квалификация специалиста, проводящего осмотр, так и качество техники.
На старых УЗИ-аппаратах может быть поставлен неправильный диагноз по той причине, что он может не уловить биение сердца эмбриона.
Ошибки УЗИ
Очень часто женщина даже не подозревает о замирании эмбриона. Придя на очередное плановое ультразвуковое исследование беременную могут шокировать подобным диагнозом. Бывают случаи, когда диагноз был поставлен ошибочно. Конечно же для врачей – это очередной диагноз, но вот для женщины ждущей ребенка – это просто катастрофа.
Если врач после фиксирования жалоб беременной, характерных для замершей беременности ставит поспешный диагноз, не спешите на чистку. Опытный специалист обязательно назначит ультразвуковое исследование для подтверждения гибели плода. На ранних сроках все намного сложнее, но благодаря современной технике и квалификации гинекологов подтверждение/опровержение замирания реально.
Если самочувствие позволяет подождать – не торопитесь делать чистку матки. Бывали случаи, когда врачи ошибались, а женщины рожали здоровых детей, без каких-либо патологий. Точнее всего о вероятной гибели плода можно узнать на УЗИ, проводимом на 6-7 неделях развития эмбриона. В это время его размеры достаточно велики и сердцебиение отчетливо прослушивается.
Проходить ультразвуковое исследование необходимо на новой аппаратуре, так как старые УЗИ-аппараты могут не заметить работы сердца эмбриона. Такая погрешность может стоить жизни вашему малышу.
Источник: https://uzigid.ru/beremennost/zamershaya-oshibka-uzi.html
Замершая беременность: ошибка УЗИ или показания к прерыванию

Замершая беременность не развивается и характеризуется гибелью плода в утробе матери. Такая неприятность может произойти на любом триместре. Однако чаще всего это случается на первых неделях, когда внутренние органы только начинают закладываться. Спровоцировать гибель может любой отрицательный фактор.
Первые 9 недель считаются критическими. УЗИ при замершей беременности необходимо для того, чтобы удостовериться в гибели плода. Такое нарушение пагубно для матери как в физическом, так и психоэмоциональном плане. В особенности тяжело перенести гибель плода той матери, которая уже почувствовала шевеления ребенка.
Замершая беременность диагностируется достаточно часто
Первопричины внутриутробной гибели
Врачами выделяется целый ряд причин, которые с высокой вероятностью способны спровоцировать гибель ребенка до рождения. Иногда на начальных сроках женщины не знают о своем положении и поэтому допускают ряд ошибок.
Основные первопричины гибели ребенка описаны в таблице, представленной ниже.
| Генетические нарушения | Это самая распространенная первопричина нарушения. Хромосомные отклонения являются несовместимыми с жизнью. Обычно это следствие передачи плохих генов от матери или отца. |
| Отклонения в гормональном фоне | Второй по распространенности провоцирующий фактор. Обычно является следствием недостатка прогестерона. Именно этот гормон способствует благотворному вынашиванию малыша. Гибель плода возможна при переизбытке мужского гормона. Именно поэтому важно планировать беременность и предварительно сдать все требуемые анализы. Это нужно для дальнейшего сохранения ребенка. |
| Заболевания | Наибольшую опасность для процесса вынашивания ребенка представляют такие болезни, как краснуха и цитомегаловирус. Развитие отклонений категорически нельзя допустить на начальных сроках беременности. В ином случае высок риск ее прерывания. |
| Простуда | Часто женщины недооценивают негативное влияние обычной простуды. Даже такое незначительное нарушение способно спровоцировать прерывание беременности. В тело в таком случае попадает переизбыток токсических веществ, которые ухудшают обменные процессы в организме. |
| ЭКО | При наступлении беременности после ЭКО риск прерывания беременности повышается на 30–60%. Женщина нуждается в постоянном контроле со стороны докторов. |
| Образ жизни | Спровоцировать нарушение могут любые вредные привычки матери. Важно планировать беременность и как можно раньше избавиться от никотиновой, табачной или наркотической зависимости. Нужно больше уделять внимания своему здоровью и как можно чаще гулять на свежем воздухе. |
| Травмы | Стать причиной смерти ребенка могут любые травмы как психологического, так и физического характера. Женщина должна обеспечить себя полным покоем и стабильностью. |
| Несовместимость партнеров | Иногда встречается половая несовместимость партнеров. В таком случае плод погибает еще до 12 недель беременности. |
При беременности нужно полностью исключить возможные причины смерти. Лучше всего, чтобы малыш был запланированным.
Когда нужна диагностика
В норме УЗИ проходит планово трижды за беременность. Однако диагностика может быть проведена срочно при наличии симптомов гибели ребенка. Такие признаки не имеют выраженного характера. Иногда женщина может несколько недель даже не догадываться о том, что что-то пошло не так.
УЗИ на ранних сроках проводится, чтобы исключить замершую беременность
К наиболее распространенным симптомам отклонения врачи относят:
- сильное болезненное ощущение внизу живота;
- выделения из влагалища, содержащие примесь крови;
- снижение или полное исчезновение ощущений, которые присущи женщинам в период вынашивания ребенка, например тошнота при резких запахах, сонливость, токсикоз;
- снижение набухания груди.
Стоит отметить, что некоторые женщины не испытывают своеобразных ощущений при беременности. У них не меняются пищевые привычки, отсутствует реакция на резкие запахи и т. д.
При наличии патологических признаков посетить УЗИ следует незамедлительно. В ином случае состояние может обернуться негативными последствиями для самой матери.
На поздних сроках ребенок перестает шевелиться. Стоит отметить, что такой признак является достоверным только до 30-й недели. После этого срока ребенку становится теснее и двигательная активность заметно снижается. У некоторых женщин об отклонении свидетельствует стремительное повышение температуры тела и лихорадочное состояние.
Если ребенок не шевелится, надо обратиться к врачу
Признаки на УЗИ
Ультразвуковая диагностика – основной метод обследования. В первом случае о гибели ребенка свидетельствуют следующие характерные признаки:
- рост плодного яйца замедлен, а его диаметр не превышает 24 мм;
- отсутствуют какие-либо признаки зародыша;
- отсутствуют симптомы прогрессирования беременности.
Есть и второй тип замершей беременности. Такой вид более затруднителен в диагностике. Плодное яйцо растет нормально, но при этом в нем отсутствует эмбрион или есть только его остатки. Ворсинчатый хорион не визуализируется.
При длительном нахождении эмбриона в матке основных симптомов недостаточно. Нужно обращать внимание на сопутствующие признаки, к которым относят:
- сильный дефицит околоплодных вод;
- деформации плодного яйца – перетяжки и нечеткие контуры;
- несоответствие размеров плодного яйца требуемым нормам.
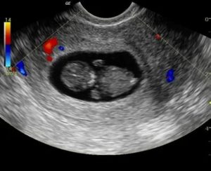
Один из основных признаков – отсутствие сердцебиения на УЗИ
Все перечисленные симптомы указывают на замерший процесс вынашивания ребенка. Врачи также разработали комплекс признаков, по которым можно самостоятельно понять, что беременность остановилась. К ним относят:
- отсутствие зародыша с сердцебиением спустя 12 суток после того, как ультразвуковая диагностика показала плодное яйцо с желточным мешком;
- отсутствие эмбриона при диаметре от 25 мм;
- отсутствие сердцебиения при КТР от 7 мм.
Однако расшифровкой результатов должен заниматься квалифицированный врач.
Ошибка УЗИ
При сомнениях в правильности результатов ультразвуковой диагностики обследование проводят повторно спустя неделю. Диагноз подтверждается, если по истечении указанного периода времени рост эмбриона не отмечается.
Вероятность ошибочного диагноза меньше на поздних сроках беременности. Симптомы замирания плода в таком случае более очевидны. Врачами выделяется ряд причин, по которым женщине могут по ошибке диагностировать гибель малыша.
Даже опытный врач не застрахован от возможных ошибок при расшифровке УЗИ
Наиболее часто встречающийся провоцирующий фактор – человеческий. Даже самый лучший, востребованный и высококвалифицированный доктор может ошибиться. Вероятнее всего это в первом триместре.
Замершая беременность на УЗИ может быть ошибочно диагностирована при расхождении сроков гестации.
Это вероятно при гормональных отклонениях, сбоях менструального цикла, кистах и хронических воспалительных процессах. По циклу срок оказывается больше, чем по ультразвуковой диагностике.
Еще одна частая первопричина – гипоксия. При недостатке кислорода высок риск неправильной расшифровки ультразвукового обследования. Активность плода снижена, и тонус мышц ослаблен. Сердцебиение сильно замедлено.
Вероятны и технические сбои. Любой аппарат, в том числе и ультразвуковое устройство, способен показать неверный результат. Картинка на мониторе может быть искажена из-за неправильного функционирования датчика или плохой четкости.
Из этого ролика вы узнаете все основные признаки замершей беременности:
Повторное посещение УЗИ
УЗИ проводится повторно после установки диагноза «замершая беременность». Это нужно, чтобы убедиться в отсутствии ошибки. Однако это не нужно, если гибель плода очевидна. Врачи рекомендуют проходить повторное обследование в другой и желательно частной клинике.
При подтверждении неприятного диагноза требуется лечение. До 7-й недели женщине назначают медикаментозное прерывание беременности. Возможен и иной способ – выжидание. В таком случае нужно будет подождать, когда произойдет самопроизвольный выкидыш. Однако такой метод крайне опасен.
На сроке больше 8 недель назначается аборт по медицинским показаниям. Процедура проводится под наркозом и заключается в выскабливании.
УЗИ после замершей беременности проводится спустя примерно 2 недели. Это необходимо для того, чтобы убедиться в том, что плодное яйцо полностью удалено, а матка находится в нормальном состоянии.
Следующую беременность нужно планировать не ранее чем через полгода. Предварительно потребуется сдать ряд анализов, в том числе пройти ультразвуковую диагностику. Соблюдение всех рекомендаций и плановое прохождение УЗИ – залог успешной беременности. Главное – не отчаиваться.
Помогла статья? Оцените её Загрузка…
Источник: https://infouzi.ru/ultrazvukovoe-issledovanie/beremennost/zamershaja.html
Замершая беременность на ранних сроках: ошибка УЗИ?

Замершая беременность (неразвивающаяся, ЗБ) – это гибель плода в утробе матери. Эта беда может случиться на любом этапе гестации, хотя наиболее часто встречается на ранних сроках. Критичными являются первые 8 недель вынашивания, потому что в этот период идет процесс закладки основных органов и систем, и любой негативный фактор может стать фатальным для будущего малыша.
Причины внутриутробной гибели плода
Существует целый ряд причин, по которым мог произойти сбой, приведший к замершей беременности.
В начале периода гестации будущая мама даже не всегда знает, что носит дитя и порой, сознательно или нет, подвергается воздействию вредных факторов.
Поэтому природой задумано так, что эмбрион либо переносит их воздействие и в дальнейшем развивается нормально, либо погибает. Основными причинами замершей беременности являются:
- генетические аномалии плода;
- инфекционные заболевания матери в период вынашивания;
- иммунологические патологии матери;
- эндокринные проблемы материнского организма;
- дурные привычки;
- экологическая опасность зоны проживания и работы;
- травмы физические и психические.
Первый триместр беременности — время, когда плод еще недостаточно хорошо закреплен в матке, поэтому есть угроза замирания беременности. Причиной этого печального события может стать ГРИПП и ОРВИ будущей мамы
Наиболее частой причиной гибели зародыша является его нежизнеспособность, вызванная генетическими аномалиями. Второй по значимости фактор это ТОРЧ-инфекции, а также ЗППП (хламидиоз, микоплазмоз, гонококковая инфекция), ОРВИ, ГРИПП и т.п. Эти заболевания приводят к нарушению механизма деления клеток и гибели эмбриона.
Иммунологическая несовместимость половых партнеров может явиться причиной гибели их плода (до 12 недель, как правило). Заболевания иммунной системы беременной женщины могут привести к прекращению развития зародыша.
Недостаток или избыток гормонов (прогестерона, тестостерона, пролактина) могут привести к нарушению развития плода и его гибели. Дисбаланс гормонов щитовидной железы также является фактором риска.
Химические отравления, табакокурение, прием алкоголя, радиоактивное излучение, непрекращающиеся стрессогенные ситуации оказывают существенное влияние на развитие плода, вызывают аномалии развития и гибель.
Симптомы прекращения развития плода
Симптомы замершей беременности не имеют ярко выраженного характера. В течение нескольких недель женщина может даже не подозревать о прекращении развития плода. Поэтому стоит быть внимательной к таким проявлениям, как:
- боль внизу живота (признак гипертонуса миометрия);
- выделения, содержащие кровь из влагалища (даже в небольших количествах);
- снижение субъективных ощущений, присущих беременным женщинам (гиперчувствительности к запахам, изменения пищевых привычек, сонливости, токсикоза);
- уменьшение набухания грудных желез.
Во-первых, не всякая беременная испытывает весь комплекс субъективных ощущений в ярко выраженной форме. Во-вторых, их интенсивность снижается с прогрессированием гестационных процессов.
Поэтому, если женщина не отреагировала на изменения самочувствия и не прошла процедуру УЗИ на ранних сроках, гибель плода может быть диагностирована после начала его отторжения (через несколько недель) и появления мажущихся выделений из влагалища.
Если женщина не проходит УЗИ на раннем сроке, она может некоторое время даже не догадываться о замирании жизни плода. Женщина должна очень чутко прислушиваться к реакциям собственного организма: боли, выделениям, повышению температуры или ознобу
Способы диагностики неразвивающейся беременности
Первые два метода являются основными. Последние два – вспомогательными. Как правило, ультразвуковое обследование назначается после осмотра акушером-гинекологом. При подозрении на гибель плода, женщина в экстренном порядке направляется на УЗИ. Если это происходит на ранних сроках, лучше подтвердить результаты УЗИ другими, в том числе лабораторными, методами.
УЗИ-признаки замершей беременности и возможность диагностической ошибки
Возможны ли ошибки при диагностировании ЗБ? Да, возможны, т.к. до 5 недель увидеть биение сердца эмбриона очень сложно. Но начиная с 7 недель диагностические ошибки практически исключены, т.к. УЗИ четко показывает сердцебиение плода.
Основными признаками прекращения развития зародыша при проведении процедуры ультразвуковой диагностики являются:
- на ранних сроках — повреждение зародышевого яйца, его месторасположение (в нижней части матки), неровность контуров;
- в позднем периоде — несоответствие данных по периоду гестации, полученных при УЗ-диагностике и вычисленных по последним месячным, а также отсутствие биения сердца плода.
Это обязательные, но недостаточные обоснования для постановки диагноза «замершая беременность», так как развитие эмбриона не всегда соответствует периоду гестации, вычисленному по последней менструации.
Причинами этого могут быть нарушения цикла, кисты яичников, гормональные патологии, предельная психоэмоциональная нагрузка и т.д. Разница может составлять около 4 недель. В таком случае через 1-2 недели следует повторить процедуру УЗИ.
Если изменения размера плодного яйца не произошло, и разглядеть эмбрион нет возможности, следовательно, он мертв.
Гинекологический осмотр позволяет выявить подозрение на замирание беременности, однако ставить точный диагноз до ультразвуковой диагностики нельзя. Только УЗИ визуализирует эмбрион и предоставит его характеристики для определения точной картины
Проявления гибели плода при осмотре гинекологом
При осмотре женщины, вынашивающей малыша, врач оценивает размеры шейки матки, цервикального канала, матки, оценивает их состояние и соответствие предполагаемому периоду вынашивания. Если обнаруживает какие-либо не соответствия, назначает УЗИ для подтверждения/опровержения диагноза замершая беременность.
УЗИ — необходимый элемент диагностики, так как у некоторых женщин меньший объем матки является аспектом физиологической нормы, или имеются нарушения, вызвавшие расхождения в периоде вынашивания по зародышу и расчётном периоде по месячным.
Дополнительные исследования (ХГЧ, базальная температура)
На ранних сроках анализ крови на ХГЧ — это информативно значимая процедура.
Учитывая, что до 5 недель с помощью УЗИ еще невозможно определить сердцебиение плода, а до 7 недель есть существенный риск диагностической ошибки, анализ крови на ХГЧ в динамике способен разрешить сомнения по поводу сохранения жизненных функций эмбриона. Так как при нормальном развитии малыша уровень гормона в день увеличивается чуть ли не в 2 раза.
Измерение базальной температуры (БТ) — это всего лишь вспомогательный метод. Не является точным инструментом, так как результаты подвержены влиянию, как внутренних, так и внешних факторов.
БТ измеряется утром, сразу после сна, не вставая с постели, в одно и то же время несколько дней подряд. Термометр ставится ректально. Под влиянием гормона, сохраняющего гестацию (прогестерона), температура будет немного повышенной (37,2-37,5 С).
В случае замирания плода прогестерон не поддерживается на повышенном уровне, и базальная температура будет ниже на 0,3-0,5 С.
Неразвивающаяся беременность на поздних сроках гестации
Если зародыш пережил первые 7-8 недель, к сожалению, это не гарантия его жизнеспособности в дальнейшем. Плод может прекратить развитие в любом триместре. Симптомы во многом совпадают с проявлениями замершей беременности на ранних сроках (болезненные, тянущие ощущения внизу живота, кровянистые выделения).
К ним присоединяется отсутствие шевеления малыша. В таком случае нельзя ждать 1-2 дня, пока ситуация прояснится, нужно срочно посетить женскую консультацию. Акушер-гинеколог осмотрит женщину и прослушает движение и сердцебиение ребенка в ее утробе.
В случае возникновения подозрения на прекращение развития плода, женщина направляется на УЗИ.
К сожалению, замершая беременность может проявиться не только в первом триместре, но и позже. Как только женщина заметила нетипичные для себя ощущения или боли, ей нужно срочно посетить специалиста
Терапевтические и реабилитационные мероприятия при подтвержденном диагнозе
Прежде всего, женщину направляют в стационар. При гибели эмбриона вначале гестации возможно одномоментное извлечение плодного яйца (зародыша и его оболочек). Если с момента зачатия прошло мало времени, как правило, процедуру проводят методом вакуумной аспирации. Это наиболее щадящий для организма женщины метод.
В более позднем периоде этот метод не применим, в таком случае проводят выскабливание, с предварительной подготовкой шейки матки. Обе процедуры чаще всего проводят под общей анестезией. На ранних сроках также практикуется метод выжидания с применением медикаментозного аборта.
Это так же щадящий метод прерывания вынашивания.
После аборта по медицинским показанием и тело, и психика женщины нуждаются в реабилитационных мероприятиях.
Во-первых, это прием пероральных контрацептивов длительностью не меньше 3-х месяцев, в случае выявление патологии половых органов и инфекционного поражения, а также расстройств гормональной сферы их лечение и восстановление.
Во-вторых, это смена обстановки, избегание стрессогенной среды, в случае тяжелых переживаний – консультация психолога. При правильном подборе реабилитационных мероприятий последствия для детородных функций женского организма минимальны.
Что ждать при следующей беременности?
В большинстве случаев (до 90%) женщины, имевшие в акушерском анамнезе замершую беременность способны к повторному зачатию и нормальному вынашиваю малыша. Для этого нужно соблюдать несколько простых правил:
- планировать зачатие не ранее 6 месяцев;
- выявить и пролечить имеющиеся заболевания;
- подготовиться психологически к вынашиванию малыша.
При возникновении повторного случая замершей беременности нужно провести глубокое обследование для выявления причин этого явления, так как только серьезная патология приводит к повторяющимся проблемам с вынашиванием.
Источник: https://vedmed-expert.ru/prenatal/zamershaya-beremennost-oshibka-uzi.html
Может ли узи ошибиться при замершей беременности — My site Ошибка УЗИ при замершей беременности

Принято считать, что исследование УЗИ одно из самых точных и правильных. Особенно доверяют его результатам беременные на разных сроках беременности. На самом деле замершая беременность как ошибка узи не исключается. Врач может неправильно истолковать показания аппарата, возможны сбои в демонстрации показаний.
Последствия ошибки могут быть самыми страшными. Так, например, своевременно не обнаруженная замершая беременность грозит матери сильнейшей интоксикацией и даже бесплодием.
И наоборот, диагноз «замершая беременность» без повторного подтверждения через несколько недель может стать причиной гибели абсолютно здорового ребенка.
Поговорим о причинах замирания беременности, признаках, на которые нужно обратить внимание до получения результатов узи про замершую беременность.
Почему плод перестает развиваться?
Замирание беременности провоцируют ряд причин, о которых важно знать еще до зачатия. К ним относятся:
- патологии плода, несовместимые с жизнью;
- резус конфликт;
- многочисленные аборты в анамнезе (антитела, вырабатываемые организмом мешают развитию плода);
- болезни отдельных органов;
- травмы во время беременности;
- непосильные физические нагрузки;
- медикаменты, противопоказанные для беременных;
- химическая интоксикация.
Одна из самых распространенных причин замершей беременности на ранних сроках, диагностируемой на узи — бактериальная инфекция, приобретенная половым путем. Обычно проблема связана с развитием:
- хламидиоза;
- уреаплазмы;
- гарднереллы.
Возбудители уреаплазмы, гарднереллы, хламидиоза
Бактерии блокируют процессы развития ребенка, организм бросает все силы на борьбу с ними и не способен победить инфекции. Все это приводит к гибели эмбриона.
В группу риска попадают женщины, злоупотребляющие алкоголем. Спиртное негативно отражается на развитии малыша, тормозит естественные процессы формирования его мозга и нервной системы. Примечательно, что повлиять на ход вынашивания ребенка может даже мизерная на первый взгляд порция алкогольного напитка.
Снизить вероятность развития замершей беременности может каждая будущая мама, если захочет. Начинать нужно с полноценного диагностического обследования в период планирования ребенка с последующим лечением обнаруженных проблем. Кроме того, собираясь стать мамой, женщина должна отказаться от вредных привычек, пересмотреть график тренировок, если спорт занимает в ее жизни особое место.
Крайне необходимо чтобы в преддверии беременности и с ее наступлением женщина внесла в образ жизни новые полезные изменения, наладила режим питания, прогулок и отдыха, встала на учет к врачу для контроля состояния.
Узи для беременных: для чего делают
Ультразвуковое исследование — простой, доступный и относительно надежный способ узнать о состоянии мамы и ребенка в период беременности на разных сроках. Процедура не требует специальной подготовки, безболезненная и непродолжительная.
На приеме для диагностики замершей беременности на узи женщина занимает место на кушетке. На живот беременной врач наносит специальный гель для улучшения контагиозности датчика с кожей.
В процессе врач двигает датчик, отслеживая показания на экране.
Еще один вариант ультразвукового исследования — трансвагинальный. Суть метода та же, за исключением того, что прибор вводят во влагалище. Такое исследование чаще проводят на самых ранних сроках, когда через живот разглядеть изменения в организме практически невозможно.
Для безопасного контакта на датчик надевают презерватив, женщине предлагают занять удобное положение полулежа с согнутыми в коленях ногами. В процессе сканирования врач исследует состояние репродуктивной системы и плодного яйца. Для заключения специалист анализирует результат, сравнивая то, как он выглядит с предыдущими показателями, если таковые имеют место быть.
Трансвагинальный метод УЗ-исследования
Признаки гибели ребенка: как определить на разных сроках
На ранних сроках выявить симптомы замершей беременности сложнее чем на поздних. Сказывается неопытность первородящей мамы и отсутствие какой-либо активности ребенка. Тем не менее, есть признаки, которые должны насторожить и заставить обратиться к врачу без промедления:
- исчезают признаки токсикоза;
- общее недомогание и головокружение;
- повышение температуры;
- размягчение и уменьшение в размерах молочных желез.
Также о проблеме могут свидетельствовать выделения, тянущие боли в нижней части живота и ощущение непонятной тревоги и апатии. Важно обратиться к врачу при проявлениях замершей беременности как можно быстрее. Если погибший эмбрион останется в полости матки на срок от 2 до недель, осложнения будут неизбежны.
На поздних сроках будущая мама особенно ответственна, прислушивается к каждому толчку или шевелению внутри живота, отслеживая активность малыша. О том, что что-то пошло не так должна сказать в первую очередь тишина. Ребенок перестает шевелиться.
Опасным признаком считаются кровянистые выделения, боли внизу живота. Чтобы избежать осложнений, беременная должна посещать доктора не реже чем 2 раза в месяц, а при выявлении опасных симптомов нанести внеплановый визит. Во время осмотров врач прослушивает сердцебиение малыша и при подозрении на его гибель направляет на УЗИ.
Подтверждение диагноза предполагает собой выбор метода для чистки. В зависимости от срока беременности врач выбирает один из методов:
- медикаментозный (назначают на на раннем сроке);
- вакуумный аборт;
- выскабливание.
После лечения делают повторное УЗИ. Это необходимо для определения качества чистки и состояния органов организма после вмешательства. Планировать следующую беременность в таких случаях рекомендуется не ранее чем через 5-6 месяцев после чистки на ранних сроках и 1 года после выскабливания на поздних сроках после предварительной подготовки.
***
Что видно на УЗИ при замирании плода
Выделяют 2 типа замершей беременности. Каждая имеет свои отличительные особенности, отмечаемые при ультразвуковом исследовании.
Первый тип патологии характеризуется:
- диаметром яйца от 20 до 25 см с прослеживанием очевидного несоответствия размеров сроку беременности;
- отсутствием признаков зародыша внутри плодной оболочки;
- не прослушивается сердцебиение, хотя яйцо подросло;
- матка по размерам не соответствует сроку беременности;
- отсутствуют какие-либо признаки развития беременности.
При втором варианте замершей беременности диагностировать проблему сложнее, тем не менее на нее указывают:
- соответствующие сроку беременности размеры плодного яйца без зародыша внутри или с его отдельными фрагментами;
- размер плодного яйца на сроке в 10 недель достигает 50 мм;
- не наблюдается ворсинчатый хорион уже с 7-8 недели.
При длительном пребывании плодного яйца в полости матки УЗИ может не показать замирание плода. Для определения патологии понадобится дополнительно обратить внимание на такие признаки:
- очевидное маловодие;
- нарушенные пропорции и форму плодного яйца с не связанными эхоструктурами;
- матка по размерам не отвечает нормам в соответствии с развитием беременности.
Сонологи определили ряд дополнительных признаков, указывающих на гибель плода внутри матки. Их может обнаружить у себя женщина еще до назначения ультразвукового исследования, если внимательно прислушается к сигналам организма.
Признаки зб на разных сроках
Симптомы не развивающейся беременности зависят от срока. Понять, что случилось непоправимое женщина сможет самостоятельно до подтверждения диагноза на УЗИ. В таблице указаны признаки зб на каждом из этапов беременности.
| Срок | Признаки сбоев при замершей беременности |
| 2-5 недели | Задержка от 8 до 15 ней. Проявляется обычной менструацией. |
| 6-8 недели | Мажущие кровянистые выделения. Начиная с 7 недели — боли в нижней части живота с отдачей в поясницу и спину. Пропадают симптомы токсикоза и беременности в принципе. Грудь уменьшается и становится мягкой, нечувствительной. Базальная температура опускается до показателей для не беременных. |
| 10-13 недели | Вялость и слабость, резкое прекращение токсикоза, умягчение груди, отеки конечностей. Появляются боли в нижней части живота и пояснице. Возможно кровотечение (матка постарается избавиться от плода). |
| 13-16 недели | Не проходящая усталость. Боли в животе и спине, снижение аппетита, выделения, часто обильные, повышение температуры тела, боли при нажатии на живот и главное — отсутствие толчков. |
| 17-19 недели | Замирание беременности связывают с дефицитом прогестерона. На гибель указывают прекращение активности ребенка в течение двух и более суток, а также боли в животе и пояснице, кровянистые иликоричневые выделения. |
| От 30 недели | Гибель плода происходит в исключительных случаях, обычно в результате травмирования матери или болезни. Следствием замирания беременности становятся преждевременные роды. |
При первых подозрениях на остановку в развитии ребенка в утробе женщина должна как можно быстрее обратиться к врачу. После предварительного осмотра и исследования узи специалист поставит диагноз и при необходимости назначит лечение.
Может ли врач УЗИ допустить допустить ошибку?
Ошибка по результатам ультразвукового исследования возможна по двум причинам: вследствие неисправности аппарата и как результат неправильной расшифровки результатов специалистом. Нельзя исключать человеческий фактор даже, когда речь идет о таких важных заключениях.
Может ли узи ошибиться беременностью и выдать ложное заключение? Чем меньше срок вынашивания малыша, тем выше вероятность ошибки. Чтобы исключить ошибку женщине необходимо пройти повторное исследование у другого специалиста. Это значит, что первоначальное заключение нельзя воспринимать как приговор, впадая в панику от безысходности ситуации.
https://www.youtube.com/watch?v=d-kZ9c0w6go
В любом случае после неудачной беременности нельзя планировать следующую как минимум несколько месяцев. Шансы благополучно зачать, выносить и родить повысятся, если выяснить причину замирания беременности, пройти курс лечения и подготовки к зачатию, следуя рекомендациям врача.
Источник: https://yraberemenna.ru/beremennost/zamershaya/mozhet-li-uzi-oshibitsya-pri-zamershej-beremennosti.html
Замершая беременность – возможна ли ошибка УЗИ?

Увидев две полоски в первый раз на тесте, каждая женщина уже мысленно держит своего ребеночка на руках и мечтает каким, он вырастет. В процессе беременности ее ждет множество обследований, но порой диагностика может доставить отнюдь не радостные факты.
В ряде случаев, ставят диагноз замершая беременность, ошибка узи конечно возможна, ведь диагностируют женщину с помощью техники, а она, как и любой механизм, склонна давать сбой.
Процент ошибки достаточно низок, поэтому каждая будущая мама должна быть готова услышать негативный диагноз.
Симптомы замершей беременности
Беременность заключатся в полноценном росте и развитии ребенка в матке на протяжении 41 недели. Под замершей беременностью подразумевается прекращение развития плода в утробе на сроке до 28 недели. Замершая беременность на узи отображается на 13 неделях. В процессе периода замирания могут проявляться характерные симптомы:
- мажущиеся выделения;
- приступообразные боли в животе;
- прекращение токсикоза;
- уменьшение болезненности молочной железы;
- отсутствие шевеления ребенка.
Требуется отметить, что в ожидании чуда, большинство женщин не обращают внимание на эти симптомы, поэтому следующее ультразвуковое исследование может повергнуть их в шок.
Признаки замершей беременности на ранних сроках — это второстепенный симптом, гораздо больше внимание обращается на диагностические методики обследования:
Тест положительный, а УЗИ беременности не показывает: что делать?11497
- УЗИ;
- анализ на ХГЧ;
- обследование гинеколога.
Каждый из этих методов диагностики может определить прекращение развития плода – уровень ХГЧ будет значительно ниже, УЗИ покажет отсутствие развития ребенка и сердцебиения, а гинеколог может диагностировать, что матка по размеру меньше, чем должна быть на данном сроке беременности.
Причины замершей беременности
Привести к такому плачевному развитию событий могут определенные причины, среди которых можно отметить:
- резус конфликт;
- патологии не совместимы с жизнью, что развивались у плода;
- вследствие частых абортов, что проводились до этого в организме женщины, врабатываться определенные антитела, что попросту не дают последующим плодам в утробе шанса на выживание;
- заболевания почек и сердечно-сосудистой системы;
- травмы;
- инфекционные заболевания;
- большие физические нагрузки;
- употребление гормональных и токсических препаратов во время вынашивания ребенка;
- отравление химическими веществами
Очень часто замирание беременности происходит из-за активно развивающейся бактериальной инфекции, что передается половым путем, к примеру, уреаплазм, хламидий и гандерел. Бактерии не дают эмбриону полноценно развиваться, а ослабленный организм матери не может противостоять полноценно очагу инфекции, поэтому страдает эмбрион.
Алкоголь тормозит развитие малыша, а непосредственно негативно сказывается на развитии его мозга и нервной системы. Даже на первый взгляд незначительная порция алкоголя может стать летальной для вашего ребенка внутри утробы.
Требуется отметить, что предупредить замершую беременность можно, для этого женщина должна пройти полное диагностическое обследования на этапе планирования ребенка и устранить все имеющиеся бактериальные и вирусные инфекции.
Обязательно прекратить употребление медикаментозных препаратов, а также отказаться от вредных привычек и ограничить физические нагрузки. Заботясь о своем состоянии и регулярно посещая врача, вы всегда будете в курсе малейших изменений в своем организме.
Ультразвуковая диагностика — это доступная и простая процедура, которая предоставляет точную информацию врачу о состоянии внутренних органов человека и как в данном случае, о состоянии эмбриона в утробе матери. Проводится она достаточно быстро и безболезненно.
Женщина должна лечь на кушетку, ее живот смазывают специальным гелем, что улучшать контагиозность датчика с кожей пациентки. Далее с движениями датчика, врач будет получать изображение внутренних органов пациентки. Есть также другой способ, который называют трансвагинальный.
Женщина должна лечь на кушетку с подогнутыми ногами, а врач вставляет специальный датчик ей во влагалище. Этот способ, как правило, используют на ранних этапах беременности, когда усложняется просмотр через живот.
Может ли УЗИ ошибаться?
«Замершая беременность ошибка УЗИ» — именно это в отчаянии желают услышать женщины от врача. Но случается это достаточно редко и приходиться мириться с ситуацией. Может ли ошибиться УЗИ, точно сказать достаточно сложно, ведь каждый случай по-своему уникален.
С уверенностью можно отметить только то, что ультразвуковая диагностика самая достоверная методика исследований и на основе ее результатов уже много десятилетий проводят успешно хирургические манипуляции.
Именно поэтому говорить о том, что она может ошибаться проблематично.
Определить замершую беременность на первом триместре сложно, ведь начинается она так же, как и нормальная в отличие от внематочного развития.
Определение замершего плода — это очень важная процедура и дело здесь уже не в погибшем эмбрионе.
Восстановить беременность не получиться, а дело в самом эмбрионе, что находится в утробе матери Продукты разложения его, могу нанести серьезный вред организму женщины вплоть до летального исхода и не способности в будущее иметь детей.
Именно по этой причине, врачи так серьезно относятся к своевременному определению замершего плода, от этого вполне вероятны ошибки, ведь человеческий фактор присутствует везде.
Сердцебиение у малыша уже слышно на 5 неделе беременности, если даже используется устаревшее оборудование, биение сердечной мышцы будет определяться.
Конечно, есть ряд факторов, которые могут исказить диагностику, к примеру, не опорожненный мочевой пузырь, что увеличивается в размерах и мешает исследованию определять контуры плода. Врач может попросить пациентку посетить туалет или воспользоваться трансвагинальным датчиком.
Двигаться плод начинает на 7-8 неделе, и это тоже врач видит на мониторе. В это время, врач может уже определить жизнеспособность ребенка, а также его размеры.
Ошибка УЗИ может случаться в случае устаревшего оборудование и некомпетентности врача. Из-за недостатка финансирования в большинстве клиник пользуются старым оборудованием, которое на 12 неделе не может прослушать биение сердца, а плохое изображение, что получается в процессе обследования только косвенно определят размеры плода.
Если подобное имеет место, то вполне вероятно, что врач назначит повторное прохождение УЗИ спустя 14 дней. Если и при последующей исследовании сердцебиение не прослушивается, то врач может определить замершую беременность, ведь с каждым днем организм ребенка укрепляться и основной признак жизнеспособности становится все отчетливее.
Существует также состояние под названием анэмбриония, которое характеризуется полным отсутствием плода. На ультразвуковом исследовании будет установлено, что плодный пузырек пустой, это встречается на 4-5 неделе.
После того, как женщина определит беременность по уровню ХГЧ тестом, плод развивается до определенного момента, а потом погибает и организм самостоятельно справляется с его выведением, в отличие от поздних сроков, когда необходима хирургическая чистка.
Конечно, женщина также может обратиться за консультацией в другую клинику, чтобы опровергнуть полученные сведения или же к своему сожалению, их подтвердить.
Гораздо чаще встречается ситуация, при которой женщина чувствует негативные симптомы, а ультразвуковая диагностика указывает на угрозу выкидыша. В данном случае лекарственные препараты и постельный режим могут сохранить беременность.
Что делать при замершей беременности?
Услышав диагноз от врача, женщины до последнего не хотят верить в такую информацию, ведь они так ждали рождения сына или дочки, но все же это нужно принять, психологически мириться с утратой малыша, еще не подержав его на руках, очень сложно, но вся сложность в этом не заключается.
Женщине придется еще пройти курс специализированного лечения. Как правило, пациентку отправляют на дополнительные обследования к гинекологу, который решает целесообразность хирургической чистки.
Ее назначают, как можно быстрей, ведь есть вероятность развития воспаления в матке, кровотечений и других неприятных осложнений.
Выскабливание заключается в полном изъятии мертвого эмбриона из полости матки и его частиц. Процедура длится не больше часа и проходит под общим наркозом. Иногда, для полной очистки используется вакуумная аспирация.
Некоторые женщины путают чистку с абортом.
Винить себя в чем-то не стоит, хоть и методика этих двух процедур похожа, устраняют уже мертвое тело, чтобы сохранить ваше полноценное здоровье, а при аборте изначально проводят уничтожение жизнеспособности плода, а потом устраняют сам зародыш.
После изъятия плода врач отправляет его на гистологическое исследование, это помогает врачам понять из-за чего именно произошло замирание плода и дает возможность не допустить сложившийся ситуации в будущем.
Женщина восстанавливается на протяжении нескольких недель, хотя, если процедура прошла без осложнений, ее отправляют домой уже на следующий день.
Врач прописывает антибактериальные препараты для предупреждения воспалительных процессов в матке. По возвращении домой показан постельный режим, на протяжении нескольких дней.
Может присутствовать незначительное кровотечение и боли в животе, это считается нормой и купируется обезболивающими препаратами.
Две недели женщина должна воздерживаться от интимной близости, но, если вы хотите возобновить сексуальные отношения раньше, обязательно используйте барьерные контрацептивы.
Если на протяжении двух недель у вас держится высокая температура, кровяные выделения не прекращаются, а боль становится все интенсивней, немедленно обращайтесь к врачу, вполне вероятно, что в процессе чистки было что-то упущено, или развивается бактериальная инфекция внутри организма.
Жизнь после замершей беременности
После замершей беременности 90% женщин удается повторно забеременеть и родить здорового малыша, но очень важно планировать следующее зачатие не раньше, чем через 2,5-3 месяца после чистки или отхождения плодного яйца.
Многие пары, столкнувшиеся с подобной ситуацией, задаются вопросами нужно ли прохождения им дополнительного обследования или терапии, но это сугубо индивидуальная ситуация.
В большинстве случаев замирание беременности в первом триместре происходит из-за случайных ошибок развития эмбриона, вины матери или отца здесь нет, за исключением наркомании и алкоголизма.
Какие требуются анализы после замершей беременности?31910
Замершая беременность может быть даже у пар с отменным здоровьем, поэтому дополнительное лечение не назначается после первой замершей беременности. Дополнительная диагностика обязательна, если ситуация повторилась более двух раз. Паре нужно пройти обследования на урогенитальные инфекции, передающиеся половым путем и консультацию у генетика.
Как узнать замершую беременность, теперь вам известно кроме того, вы можете создать все условия для вынашивания, чтобы избежать этого негативного состояния и родить полноценного и здорового ребенка.
Беременность — это очень важный этап в жизни каждой женщины, и к нему нужно тщательно готовиться, своевременно устраняя заболевания мочеполовой системы, также правильно питаясь, обогащая свой рацион витаминами микроэлементами.
За месяц до зачатия женщине рекомендовано начать употребление фолиевой кислоты, которая способствует нормальному развитию нервной трубки плода и способствует надежному закреплению плодного яйца в утробе матери. Ослабленному организму очень сложно обеспечить соответствующие условия для нормального развития малыша, потому и встречаются такие ситуации, как выкидыш и замершая беременность.
Источник: https://1diagnos.ru/issledovaniya-pri-beremennosti/uzi/zamershaya-beremennost-oshibka-uzi.html